Suppr超能文献

腹水可诱导卵巢癌中α6β1整合素和尿激酶型纤溶酶原激活物受体表达及相关功能的调节。

Ascites induces modulation of alpha6beta1 integrin and urokinase plasminogen activator receptor expression and associated functions in ovarian carcinoma.

作者信息

Ahmed N, Riley C, Oliva K, Rice G, Quinn M

机构信息

Gynaecological Cancer Research Centre, Royal Women's Hospital, Melbourne, Australia.

出版信息

Br J Cancer. 2005 Apr 25;92(8):1475-85. doi: 10.1038/sj.bjc.6602495.

Abstract

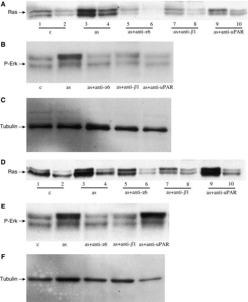
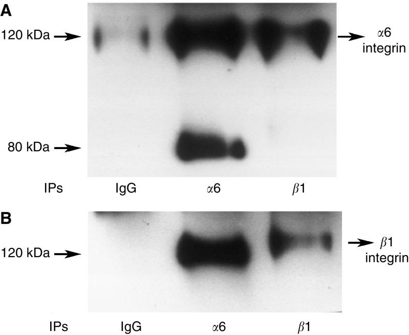
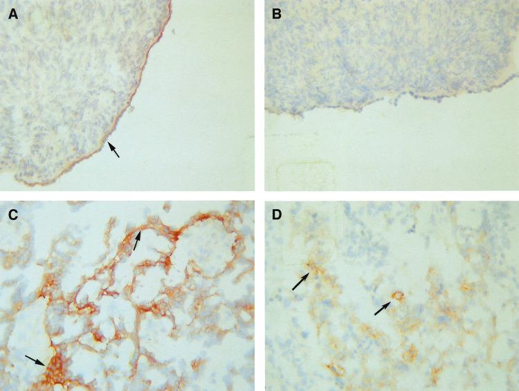
Interactions between cancer cells and the surrounding medium are not fully understood. In this study, we demonstrate that ascites induces selective changes in the expression of integrins and urokinase plasminogen activator/urokinase plasminogen activator receptor (uPA/uPAR) in ovarian cancer cells. We hypothesise that this change of integrin and uPA/uPAR expression triggers signalling pathways responsible for modulating phenotype-dependent functional changes in ovarian cancer cells. Human ovarian surface epithelial (HOSE) cell lines and epithelial ovarian cancer cell lines were treated with ascites for 48 h. Ascites induced upregulation of alpha6 integrin, without any change in the expression of alphav, beta1 and beta4 integrin subunits. Out of the four ovarian cancer cell lines studied, ascites induced enhancement in the expression of uPA/uPAR in the more invasive OVCA 433 and HEY cell lines without any change in the noninvasive OVHS1 and moderately invasive PEO.36 cell lines. On the other hand, no change in the expression of alpha6 integrin or uPAR, in response to ascites, was observed in HOSE cells. In response to ascites, enhancement in proliferation and in adhesion was observed in all four ovarian cancer cell lines studied. In contrast, no significant increase in proliferation or adhesion by ascites was observed in HOSE cells. Ascites-induced expression of uPA/uPAR correlated with the increased invasiveness of HEY and OVCA 433 cell lines but was not seen in OVHS1, PEO.36 and HOSE cell lines. Upregulation of alpha6 integrin and uPA/uPAR correlated with the activation of Ras and downstream Erk pathways. Ascites-induced activation of Ras and downstream Erk can be inhibited by using inhibitory antibodies against alpha6 and beta1 integrin and uPAR, consistent with the inhibition of proliferation, adhesion and invasive functions of ovarian cancer cell lines. Based on these findings, we conclude that ascites can induce selective upregulation of integrin and uPA/uPAR in ovarian cancer cells and these changes may modulate the functions of ovarian carcinomas.

摘要

癌细胞与周围介质之间的相互作用尚未完全明确。在本研究中,我们证明腹水可诱导卵巢癌细胞中整合素以及尿激酶型纤溶酶原激活剂/尿激酶型纤溶酶原激活剂受体(uPA/uPAR)表达的选择性变化。我们推测,整合素和uPA/uPAR表达的这种变化会触发负责调节卵巢癌细胞中依赖表型的功能变化的信号通路。用人腹水处理人卵巢表面上皮(HOSE)细胞系和上皮性卵巢癌细胞系48小时。腹水诱导α6整合素上调,而αv、β1和β4整合素亚基的表达无任何变化。在所研究的四种卵巢癌细胞系中,腹水诱导侵袭性更强的OVCA 433和HEY细胞系中uPA/uPAR表达增强,而无创性的OVHS1和中度侵袭性的PEO.36细胞系中则无变化。另一方面,在HOSE细胞中未观察到腹水引起的α6整合素或uPAR表达的变化。在所研究的所有四种卵巢癌细胞系中,腹水均可诱导增殖和黏附增强。相比之下,在HOSE细胞中未观察到腹水引起的增殖或黏附显著增加。腹水诱导的uPA/uPAR表达与HEY和OVCA 433细胞系侵袭性增加相关,但在OVHS1、PEO.36和HOSE细胞系中未观察到。α6整合素和uPA/uPAR的上调与Ras和下游Erk信号通路的激活相关。使用针对α6和β1整合素以及uPAR的抑制性抗体可抑制腹水诱导的Ras和下游Erk的激活,这与卵巢癌细胞系的增殖、黏附和侵袭功能受到抑制一致。基于这些发现,我们得出结论,腹水可诱导卵巢癌细胞中整合素和uPA/uPAR的选择性上调,这些变化可能调节卵巢癌的功能。

https://cdn.ncbi.nlm.nih.gov/pmc/blobs/cfc9/2362012/f639b32ba585/92-6602495f1.jpg

文献AI研究员

20分钟写一篇综述,助力文献阅读效率提升50倍。

立即体验

用中文搜PubMed

大模型驱动的PubMed中文搜索引擎

马上搜索

文档翻译

学术文献翻译模型,支持多种主流文档格式。

立即体验