Suppr超能文献

恶性疟原虫红细胞膜蛋白1在实验性感染人类中的表达。

Expression of Plasmodium falciparum erythrocyte membrane protein 1 in experimentally infected humans.

作者信息

Lavstsen Thomas, Magistrado Pamela, Hermsen Cornelus C, Salanti Ali, Jensen Anja T R, Sauerwein Robert, Hviid Lars, Theander Thor G, Staalsoe Trine

机构信息

Centre for Medical Parasitology at Institute for Medical Microbiology and Immunology, University of Copenhagen, Panum Institute 24-2, Blegdamsvej 3, 2200 Copenhagen N, Denmark.

出版信息

Malar J. 2005 Apr 27;4:21. doi: 10.1186/1475-2875-4-21.

Abstract

BACKGROUND

Parasites causing severe malaria in non-immune patients express a restricted subset of variant surface antigens (VSA), which are better recognized by immune sera than VSA expressed during non-severe disease in semi-immune individuals. The most prominent VSA are the var gene-encoded Plasmodium falciparum erythrocyte membrane protein 1 (PfEMP1) family, which is expressed on the surface of infected erythrocytes where it mediates binding to endothelial receptors. Thus, severe malaria may be caused by parasites expressing PfEMP1 variants that afford parasites optimal sequestration in immunologically naive individuals and high effective multiplication rates.

METHODS

var gene transcription was analysed using real time PCR and PfEMP1 expression by western blots as well as immune plasma recognition of parasite cultures established from non-immune volunteers shortly after infection with NF54 sporozoites.

RESULTS

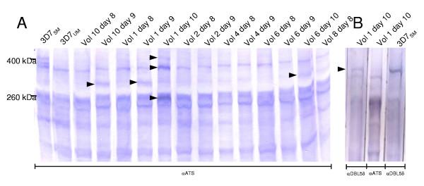
In cultures representing the first generation of parasites after hepatic release, all var genes were transcribed, but Group A var genes were transcribed at the lowest levels. In cultures established from second or third generation blood stage parasites of volunteers with high in vivo parasite multiplication rates, the var gene transcription pattern differed markedly from the transcription pattern of the cultures representing first generation parasites. This indicated that parasites expressing specific var genes, mainly belonging to group A and B, had expanded more effectively in vivo compared to parasites expressing other var genes. The differential expression of PfEMP1 was confirmed at the protein level by immunoblot analysis. In addition, serological typing showed that immune sera more often recognized second and third generation parasites than first generation parasites.

CONCLUSION

In conclusion, the results presented here support the hypothesis that parasites causing severe malaria express a subset of PfEMP1, which bestows high parasite growth rates in individuals with limited pre-existing immunity.

摘要

背景

在非免疫患者中引起严重疟疾的寄生虫表达的可变表面抗原(VSA)亚群有限,与半免疫个体非严重疾病期间表达的VSA相比,免疫血清对这些VSA的识别更好。最突出的VSA是var基因编码的恶性疟原虫红细胞膜蛋白1(PfEMP1)家族,其在受感染红细胞表面表达,介导与内皮受体的结合。因此,严重疟疾可能由表达PfEMP1变体的寄生虫引起,这些变体使寄生虫在免疫未成熟个体中实现最佳滞留并具有高繁殖率。

方法

使用实时PCR分析var基因转录,并通过蛋白质印迹分析PfEMP1表达,以及对感染NF54子孢子后不久的非免疫志愿者建立的寄生虫培养物进行免疫血浆识别。

结果

在代表肝释放后第一代寄生虫的培养物中,所有var基因均被转录,但A组var基因转录水平最低。在体内寄生虫繁殖率高的志愿者的第二代或第三代血液期寄生虫建立的培养物中,var基因转录模式与代表第一代寄生虫的培养物的转录模式明显不同。这表明,与表达其他var基因的寄生虫相比,表达特定var基因(主要属于A组和B组)的寄生虫在体内的扩增更有效。通过免疫印迹分析在蛋白质水平证实了PfEMP1的差异表达。此外,血清学分型显示,免疫血清识别第二代和第三代寄生虫的频率高于第一代寄生虫。

结论

总之,本文给出的结果支持以下假设:引起严重疟疾的寄生虫表达PfEMP1的一个亚群,该亚群赋予在预先存在免疫力有限的个体中高寄生虫生长率。

https://cdn.ncbi.nlm.nih.gov/pmc/blobs/905e/1112614/9189adb66367/1475-2875-4-21-1.jpg

文献AI研究员

20分钟写一篇综述,助力文献阅读效率提升50倍。

立即体验

用中文搜PubMed

大模型驱动的PubMed中文搜索引擎

马上搜索

文档翻译

学术文献翻译模型,支持多种主流文档格式。

立即体验