Suppr超能文献

基底膜聚糖(Perlecan)是CAPB基因座的一个候选基因,它通过音猬因子(Sonic Hedgehog)信号通路调节前列腺癌细胞的生长。

Perlecan, a candidate gene for the CAPB locus, regulates prostate cancer cell growth via the Sonic Hedgehog pathway.

作者信息

Datta Milton W, Hernandez Ana Maria, Schlicht Michael J, Kahler Andrea J, DeGueme Amy M, Dhir Rajiv, Shah Rajal B, Farach-Carson Cindy, Barrett Andrea, Datta Sumana

机构信息

Department of Pathology, Emory University, Atlanta, GA 30322, USA.

出版信息

Mol Cancer. 2006 Mar 1;5:9. doi: 10.1186/1476-4598-5-9.

Abstract

BACKGROUND

Genetic studies associated the CAPB locus with familial risk of brain and prostate cancers. We have identified HSPG2 (Perlecan) as a candidate gene for CAPB. Previously we have linked Perlecan to Hedgehog signaling in Drosophila. More recently, we have demonstrated the importance of Hedgehog signaling in humans for advanced prostate cancer.

RESULTS

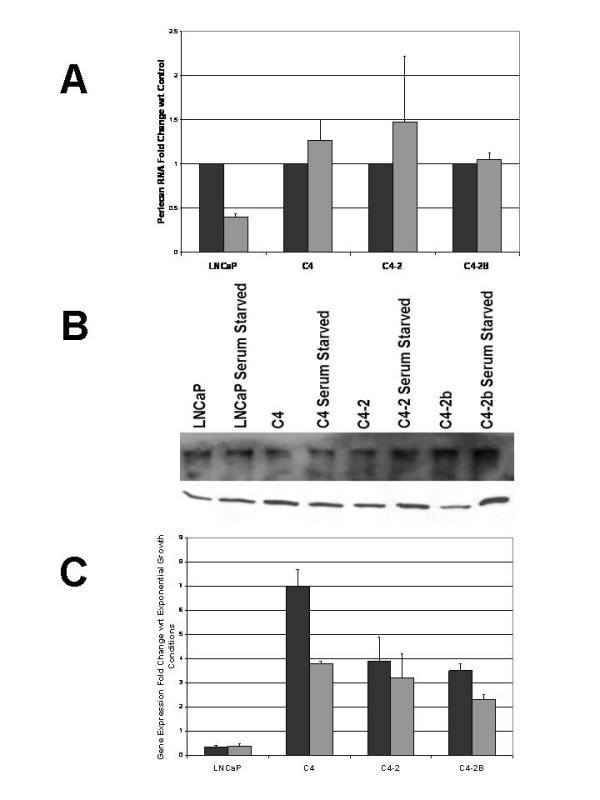
Here we demonstrate Perlecan expression in prostate cancer, and its function in prostate cancer cell growth through interaction and modulation of Sonic Hedgehog (SHH) signaling. Perlecan expression in prostate cancer tissues correlates with a high Gleason score and rapid cell proliferation. Perlecan is highly expressed in prostate cancer cell lines, including androgen insensitive cell lines and cell lines selected for metastatic properties. Inhibition of Perlecan expression in these cell lines decreases cell growth. Simultaneous blockade of Perlecan expression and androgen signaling in the androgen-sensitive cell line LNCaP was additive, indicating the independence of these two pathways. Perlecan expression correlates with SHH in tumor tissue microarrays and increased tumor cell proliferation based on Ki-67 immunohistochemistry. Inhibition of Perlecan expression by siRNA in prostate cancer cell lines decreases SHH signaling while expression of the downstream SHH effector GLI1 rescues the proliferation defect. Perlecan forms complexes with increasing amounts of SHH that correlate with increasing metastatic potential of the prostate cancer cell line. SHH signaling also increases in the more metastatic cell lines. Metastatic prostate cancer cell lines grown under serum-starved conditions (low androgen and growth factors) resulted in maintenance of Perlecan expression. Under low androgen, low growth factor conditions, Perlecan expression level correlates with the ability of the cells to maintain SHH signaling.

CONCLUSION

We have demonstrated that Perlecan, a candidate gene for the CAPB locus, is a new component of the SHH pathway in prostate tumors and works independently of androgen signaling. In metastatic tumor cells increased SHH signaling correlates with the maintenance of Perlecan expression and more Perlecan-SHH complexes. Perlecan is a proteoglycan that regulates extracellular and stromal accessibility to growth factors such as SHH, thus allowing for the maintenance of SHH signaling under growth factor limiting conditions. This proteoglycan represents an important central regulator of SHH activity and presents an ideal drug target for blocking SHH effects.

摘要

背景

基因研究表明CAPB基因座与脑癌和前列腺癌的家族风险相关。我们已将HSPG2(基底膜聚糖)鉴定为CAPB的候选基因。此前我们已在果蝇中将基底膜聚糖与刺猬信号通路联系起来。最近,我们已证明刺猬信号通路在人类晚期前列腺癌中的重要性。

结果

在此我们证明了基底膜聚糖在前列腺癌中的表达,以及它通过与声波刺猬因子(SHH)信号通路相互作用和调节来影响前列腺癌细胞生长的功能。基底膜聚糖在前列腺癌组织中的表达与高Gleason评分和快速细胞增殖相关。基底膜聚糖在前列腺癌细胞系中高度表达,包括雄激素不敏感细胞系和具有转移特性的细胞系。在这些细胞系中抑制基底膜聚糖的表达会降低细胞生长。在雄激素敏感细胞系LNCaP中同时阻断基底膜聚糖表达和雄激素信号具有累加效应,表明这两条通路相互独立。在肿瘤组织微阵列中,基底膜聚糖表达与SHH相关,并且基于Ki-67免疫组化显示肿瘤细胞增殖增加。在前列腺癌细胞系中通过小干扰RNA抑制基底膜聚糖表达会降低SHH信号,而下游SHH效应因子GLI1的表达可挽救增殖缺陷。基底膜聚糖与越来越多的SHH形成复合物,这与前列腺癌细胞系转移潜能增加相关。在转移性更强的细胞系中SHH信号也增强。在血清饥饿条件下(低雄激素和生长因子)培养的转移性前列腺癌细胞系会维持基底膜聚糖的表达。在低雄激素、低生长因子条件下,基底膜聚糖表达水平与细胞维持SHH信号的能力相关。

结论

我们已证明,作为CAPB基因座候选基因的基底膜聚糖是前列腺肿瘤中SHH通路的一个新成分,并且其作用独立于雄激素信号。在转移性肿瘤细胞中,增加的SHH信号与基底膜聚糖表达的维持以及更多的基底膜聚糖-SHH复合物相关。基底膜聚糖是一种蛋白聚糖,可调节细胞外和基质对诸如SHH等生长因子的可及性,从而在生长因子受限条件下维持SHH信号。这种蛋白聚糖代表了SHH活性的重要核心调节因子,是阻断SHH效应的理想药物靶点。

https://cdn.ncbi.nlm.nih.gov/pmc/blobs/7347/1421430/6a9de3c1f4e1/1476-4598-5-9-1.jpg

文献AI研究员

20分钟写一篇综述,助力文献阅读效率提升50倍。

立即体验

用中文搜PubMed

大模型驱动的PubMed中文搜索引擎

马上搜索

文档翻译

学术文献翻译模型,支持多种主流文档格式。

立即体验