Suppr超能文献

肿瘤胰岛巨噬细胞浸润程度高与接受手术切除的非小细胞肺癌患者生存率提高相关,但与表皮生长因子受体(EGFR)突变、基因拷贝数或蛋白表达无关。

High tumour islet macrophage infiltration correlates with improved patient survival but not with EGFR mutations, gene copy number or protein expression in resected non-small cell lung cancer.

作者信息

Kim D-W, Min H S, Lee K-H, Kim Y J, Oh D-Y, Jeon Y K, Lee S-H, Im S-A, Chung D H, Kim Y T, Kim T-Y, Bang Y-J, Sung S W, Kim J H, Heo D S

机构信息

Department of Internal Medicine, Seoul National University Hospital, Seoul, Korea.

出版信息

Br J Cancer. 2008 Mar 25;98(6):1118-24. doi: 10.1038/sj.bjc.6604256. Epub 2008 Feb 19.

Abstract

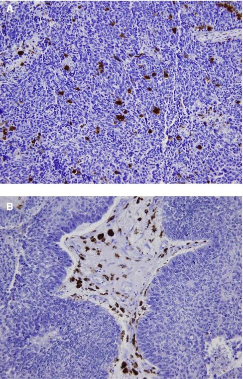
The purpose of this study was to investigate the prognostic value of tumour-associated macrophages with a focus on micro-anatomical localisation and determine whether molecular changes of the epidermal growth factor receptor (EGFR) are related to macrophage infiltration in resected non-small cell lung cancer (NSCLC). One hundred and forty-four patients were included in this study. Immunohistochemistry was used to identify CD68+ macrophages in the tumour islet and surrounding stroma. Epidermal growth factor receptor mutations were studied by direct sequencing. The EGFR gene copy number and protein expression were analysed by fluorescence in situ hybridisation and immunohistochemistry. Patients with a high tumour islet macrophage density survived longer than did the patient with a low tumour islet macrophage density (5-year overall survival rate was 63.9 vs 38.9%, P=0.0002). A multivariate Cox proportional hazard analysis revealed that the tumour islet macrophage count was an independent prognostic factor for survival (hazard ratio 0.471, 95% confidence interval 0.300-0.740). However, EGFR mutations, gene copy number, and protein expression were not related to the macrophage infiltration. In conclusion, tumour islet macrophage infiltration was identified as a strong favourable independent prognostic marker for survival but not correlated with the molecular changes of the EGFR in patients with resected NSCLC.

摘要

本研究旨在探讨肿瘤相关巨噬细胞的预后价值,重点关注微观解剖定位,并确定表皮生长因子受体(EGFR)的分子变化是否与切除的非小细胞肺癌(NSCLC)中的巨噬细胞浸润相关。本研究纳入了144例患者。采用免疫组织化学方法鉴定肿瘤胰岛和周围基质中的CD68+巨噬细胞。通过直接测序研究表皮生长因子受体突变。采用荧光原位杂交和免疫组织化学分析EGFR基因拷贝数和蛋白表达。肿瘤胰岛巨噬细胞密度高的患者比肿瘤胰岛巨噬细胞密度低的患者存活时间更长(5年总生存率分别为63.9%和38.9%,P=0.0002)。多因素Cox比例风险分析显示,肿瘤胰岛巨噬细胞计数是生存的独立预后因素(风险比0.471,95%置信区间0.300-0.740)。然而,EGFR突变、基因拷贝数和蛋白表达与巨噬细胞浸润无关。总之,肿瘤胰岛巨噬细胞浸润被确定为生存的一个强有力的有利独立预后标志物,但与切除的NSCLC患者中EGFR的分子变化无关。

https://cdn.ncbi.nlm.nih.gov/pmc/blobs/7100/2275476/8e5a3d3870ee/6604256f1.jpg

文献AI研究员

20分钟写一篇综述,助力文献阅读效率提升50倍。

立即体验

用中文搜PubMed

大模型驱动的PubMed中文搜索引擎

马上搜索

文档翻译

学术文献翻译模型,支持多种主流文档格式。

立即体验