Suppr超能文献

菠萝蛋白酶口腔制剂可减轻卵清蛋白诱导的哮喘小鼠模型的炎症反应。

Oral Bromelain Attenuates Inflammation in an Ovalbumin-induced Murine Model of Asthma.

机构信息

Department of Immunology and Department of Pediatrics, University of Connecticut School of Medicine, Farmington, CT, USA.

出版信息

Evid Based Complement Alternat Med. 2008 Mar;5(1):61-9. doi: 10.1093/ecam/nel110.

Abstract

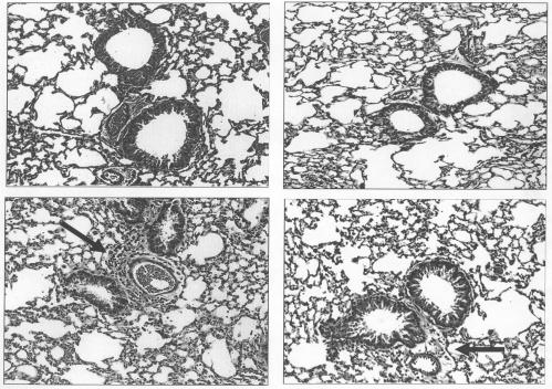
Bromelain, a widely used pineapple extract with cysteine protease activity, has been shown to have immunomodulatory effects in a variety of immune system models. The purpose of the present study was to determine the effects of orally administered bromelain in an ovalbumin (OVA)-induced murine model of acute allergic airway disease (AAD). To establish AAD, female C57BL/6J mice were sensitized with intraperitoneal (i.p.) OVA/alum and then challenged with OVA aerosols for 3 days. Mice were gavaged with either (phosphate buffered saline)PBS or 200 mg/kg bromelain in PBS, twice daily for four consecutive days, beginning 1 day prior to OVA aerosol challenge. Airway reactivity and methacholine sensitivity, bronchoalveolar lavage (BAL) cellular differential, Th2 cytokines IL-5 and IL-13, and lung histology were compared between treatment groups. Oral bromelain-treatment of AAD mice demonstrated therapeutic efficacy as evidenced by decreased methacholine sensitivity (P </= 0.01), reduction in BAL eosinophils (P </= 0.02) and IL-13 concentrations (P </= 0.04) as compared with PBS controls. In addition, oral bromelain significantly reduced BAL CD19+ B cells (P </= 0.0001) and CD8+ T cells (P </= 0.0001) in AAD mice when compared with controls. These results suggest that oral treatment with bromelain had a beneficial therapeutic effect in this murine model of asthma and bromelain may also be effective in human conditions.

摘要

菠萝蛋白酶是一种广泛使用的具有半胱氨酸蛋白酶活性的菠萝提取物,已被证明在多种免疫系统模型中具有免疫调节作用。本研究的目的是确定口服菠萝蛋白酶在卵清蛋白(OVA)诱导的急性过敏性气道疾病(AAD)小鼠模型中的作用。为了建立 AAD,雌性 C57BL/6J 小鼠通过腹腔内(i.p.)OVA/明矾致敏,然后用 OVA 气溶胶挑战 3 天。小鼠用磷酸盐缓冲盐水(PBS)或 200mg/kg 菠萝蛋白酶在 PBS 中灌胃,每天两次,连续 4 天,在 OVA 气溶胶挑战前 1 天开始。比较治疗组之间的气道反应性和乙酰甲胆碱敏感性、支气管肺泡灌洗液(BAL)细胞差异、Th2 细胞因子 IL-5 和 IL-13 以及肺组织学。口服菠萝蛋白酶治疗 AAD 小鼠表现出治疗效果,表现为乙酰甲胆碱敏感性降低(P </= 0.01),BAL 嗜酸性粒细胞(P </= 0.02)和 IL-13 浓度降低(P </= 0.04)与 PBS 对照组相比。此外,与对照组相比,口服菠萝蛋白酶可显著降低 AAD 小鼠 BAL 中的 CD19+B 细胞(P </= 0.0001)和 CD8+T 细胞(P </= 0.0001)。这些结果表明,口服菠萝蛋白酶对这种哮喘小鼠模型具有有益的治疗作用,菠萝蛋白酶在人类疾病中也可能有效。

https://cdn.ncbi.nlm.nih.gov/pmc/blobs/68ba/2249734/c45e08f52919/nel110f1.jpg

文献AI研究员

20分钟写一篇综述,助力文献阅读效率提升50倍。

立即体验

用中文搜PubMed

大模型驱动的PubMed中文搜索引擎

马上搜索

文档翻译

学术文献翻译模型,支持多种主流文档格式。

立即体验