Suppr超能文献

表皮生长因子受体表达下调有助于α-TEA 在人卵巢癌细胞系中的促凋亡作用。

Downregulation of Epidermal Growth Factor Receptor Expression Contributes to alpha-TEA's Proapoptotic Effects in Human Ovarian Cancer Cell Lines.

机构信息

Department of Cancer Immunology and AIDS, Dana-Farber Cancer Institute, Division of AIDS, Harvard Medical School, Boston, MA 02115, USA.

出版信息

J Oncol. 2010;2010:824571. doi: 10.1155/2010/824571. Epub 2010 Mar 4.

Abstract

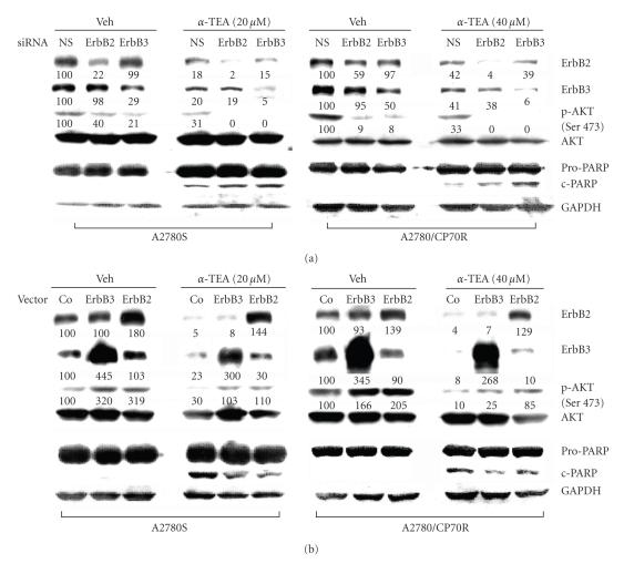
RRR-alpha-tocopherol derivative alpha-TEA (RRR-alpha-tocopherol ether-linked acetic acid analog) has been shown to be a potent antitumor agent both in vivo and in vitro. In this study, we investigated the effects of alpha-TEA on the expression of epidermal growth factor receptor (EGFR) family members, ErbB1, 2 and 3, and the role of ErbB 2 and 3 in alpha-TEA-induced apoptosis and suppression of Akt, FLIP and survivin in the cisplatin-sensitive (A2780S) and -resistant (A2780/CP70R) human ovarian cancer cell lines. Data show that alpha-TEA's ability to induced apoptosis was associated with reduced expression of ErbB1 (cisplatin-resistant cells), 2 and 3 (both cell types) and reduced levels of the phosphorylated (active) form of Akt; as well as, reduced levels of FLIP and survivin proteins in both cell types. Ectopic overexpression and siRNA knockdown studies showed that ErbB2, ErbB3, Akt, FLIP and survivin are involved in alpha-TEA-induce apoptosis and that alpha-TEA downregulates FLIP and survivin via suppression of pAkt, which is mediated by ErbB2 and ErB3. Thus, alpha-TEA is a potent pro-apoptotic agent for both cisplatin-sensitive and -resistant ovarian cancer cell lines in cell culture and it produces cell death, at least in part, by downregulation of members of the EGFR family.

摘要

RRR-α-生育酚衍生物α-TEA(RRR-α-生育酚醚连接乙酸类似物)已被证明在体内和体外均为有效的抗肿瘤剂。在这项研究中,我们研究了α-TEA 对表皮生长因子受体(EGFR)家族成员 ErbB1、2 和 3 的表达的影响,以及 ErbB2 和 3 在α-TEA 诱导的凋亡以及抑制顺铂敏感(A2780S)和耐药(A2780/CP70R)人卵巢癌细胞系中的 Akt、FLIP 和 survivin 中的作用。数据表明,α-TEA 诱导凋亡的能力与 ErbB1(顺铂耐药细胞)、2 和 3(两种细胞类型)的表达降低以及 Akt 的磷酸化(活性)形式的水平降低有关;以及两种细胞类型中 FLIP 和 survivin 蛋白水平降低。异位过表达和 siRNA 敲低研究表明,ErbB2、ErbB3、Akt、FLIP 和 survivin 参与了α-TEA 诱导的凋亡,并且α-TEA 通过抑制 pAkt 下调了 FLIP 和 survivin,pAkt 是由 ErbB2 和 ErbB3 介导的。因此,α-TEA 是细胞培养中顺铂敏感和耐药卵巢癌细胞系的有效促凋亡剂,它通过下调 EGFR 家族成员产生细胞死亡,至少部分是通过下调 EGFR 家族成员产生的。

https://cdn.ncbi.nlm.nih.gov/pmc/blobs/1a79/2833311/7df2e6bb4996/JO2010-824571.001.jpg

文献AI研究员

20分钟写一篇综述,助力文献阅读效率提升50倍。

立即体验

用中文搜PubMed

大模型驱动的PubMed中文搜索引擎

马上搜索

文档翻译

学术文献翻译模型,支持多种主流文档格式。

立即体验