Suppr超能文献

热量限制和白藜芦醇通过 Sirtuin-1 依赖性诱导自噬来促进长寿。

Caloric restriction and resveratrol promote longevity through the Sirtuin-1-dependent induction of autophagy.

机构信息

INSERM, U848, Villejuif F-94805, France.

出版信息

Cell Death Dis. 2010;1(1):e10. doi: 10.1038/cddis.2009.8.

Abstract

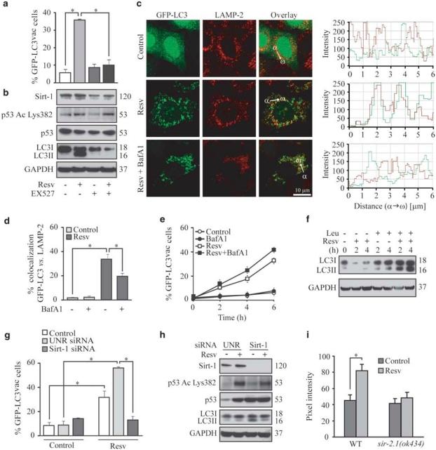
Caloric restriction and autophagy-inducing pharmacological agents can prolong lifespan in model organisms including mice, flies, and nematodes. In this study, we show that transgenic expression of Sirtuin-1 induces autophagy in human cells in vitro and in Caenorhabditis elegans in vivo. The knockdown or knockout of Sirtuin-1 prevented the induction of autophagy by resveratrol and by nutrient deprivation in human cells as well as by dietary restriction in C. elegans. Conversely, Sirtuin-1 was not required for the induction of autophagy by rapamycin or p53 inhibition, neither in human cells nor in C. elegans. The knockdown or pharmacological inhibition of Sirtuin-1 enhanced the vulnerability of human cells to metabolic stress, unless they were stimulated to undergo autophagy by treatment with rapamycin or p53 inhibition. Along similar lines, resveratrol and dietary restriction only prolonged the lifespan of autophagy-proficient nematodes, whereas these beneficial effects on longevity were abolished by the knockdown of the essential autophagic modulator Beclin-1. We conclude that autophagy is universally required for the lifespan-prolonging effects of caloric restriction and pharmacological Sirtuin-1 activators.

摘要

热量限制和诱导自噬的药物可以延长包括小鼠、苍蝇和线虫在内的模型生物的寿命。在这项研究中,我们表明 Sirtuin-1 的转基因表达在体外的人类细胞和体内的秀丽隐杆线虫中诱导自噬。Sirtuin-1 的敲低或敲除阻止了白藜芦醇和营养剥夺在人类细胞中以及饮食限制在秀丽隐杆线虫中诱导自噬。相反,Sirtuin-1 既不需要雷帕霉素或 p53 抑制诱导的自噬,也不需要在人类细胞或秀丽隐杆线虫中诱导自噬。Sirtuin-1 的敲低或药理学抑制增强了人类细胞对代谢应激的脆弱性,除非它们通过雷帕霉素或 p53 抑制处理来刺激自噬。类似地,白藜芦醇和饮食限制只延长了自噬有效的线虫的寿命,而这些对长寿的有益影响被必需的自噬调节剂 Beclin-1 的敲低所消除。我们得出结论,自噬是热量限制和药理学 Sirtuin-1 激活剂延长寿命的普遍需要。

https://cdn.ncbi.nlm.nih.gov/pmc/blobs/2c3c/3032517/3cef020f7f3d/cddis20098f1.jpg

文献AI研究员

20分钟写一篇综述,助力文献阅读效率提升50倍。

立即体验

用中文搜PubMed

大模型驱动的PubMed中文搜索引擎

马上搜索

文档翻译

学术文献翻译模型,支持多种主流文档格式。

立即体验