Suppr超能文献

一种新型的埃及血吸虫卵诱导免疫病理学的小鼠模型。

A novel mouse model of Schistosoma haematobium egg-induced immunopathology.

机构信息

Department of Urology, Stanford University School of Medicine, Stanford, California, United States of America.

出版信息

PLoS Pathog. 2012;8(3):e1002605. doi: 10.1371/journal.ppat.1002605. Epub 2012 Mar 29.

Abstract

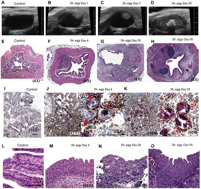
Schistosoma haematobium is the etiologic agent for urogenital schistosomiasis, a major source of morbidity and mortality for more than 112 million people worldwide. Infection with S. haematobium results in a variety of immunopathologic sequelae caused by parasite oviposition within the urinary tract, which drives inflammation, hematuria, fibrosis, bladder dysfunction, and increased susceptibility to urothelial carcinoma. While humans readily develop urogenital schistosomiasis, the lack of an experimentally-tractable model has greatly impaired our understanding of the mechanisms that underlie this important disease. We have developed an improved mouse model of S. haematobium urinary tract infection that recapitulates several aspects of human urogenital schistosomiasis. Following microinjection of purified S. haematobium eggs into the bladder wall, mice consistently develop macrophage-rich granulomata that persist for at least 3 months and pass eggs in their urine. Importantly, egg-injected mice also develop urinary tract fibrosis, bladder dysfunction, and various urothelial changes morphologically reminiscent of human urogenital schistosomiasis. As expected, S. haematobium egg-induced immune responses in the immediate microenvironment, draining lymph nodes, and systemic circulation are associated with a Type 2-dominant inflammatory response, characterized by high levels of interleukin-4, eosinophils, and IgE. Taken together, our novel mouse model may help facilitate a better understanding of the unique pathophysiological mechanisms of epithelial dysfunction, tissue fibrosis, and oncogenesis associated with urogenital schistosomiasis.

摘要

曼氏血吸虫是尿路血吸虫病的病原体,这种疾病是全世界超过 1.12 亿人发病和死亡的主要原因。曼氏血吸虫感染会导致寄生虫在泌尿道产卵引起多种免疫病理后果,从而引发炎症、血尿、纤维化、膀胱功能障碍,并增加患尿路上皮癌的易感性。尽管人类很容易感染尿路血吸虫病,但由于缺乏可实验操作的模型,我们对该重要疾病的发病机制的理解受到了很大的限制。我们已经开发出一种改良的曼氏血吸虫尿路感染小鼠模型,该模型可再现人类尿路血吸虫病的几个方面。通过将纯化的曼氏血吸虫卵注入膀胱壁,小鼠始终会形成富含巨噬细胞的肉芽肿,这些肉芽肿至少持续 3 个月,并在尿液中排出虫卵。重要的是,注射卵的小鼠还会发生尿路纤维化、膀胱功能障碍和各种类似于人类尿路血吸虫病的尿路上皮变化。正如预期的那样,在立即的微环境、引流淋巴结和全身循环中,曼氏血吸虫卵诱导的免疫反应与 2 型主导的炎症反应相关,其特征是白细胞介素-4、嗜酸性粒细胞和 IgE 水平升高。总之,我们的新型小鼠模型可能有助于更好地理解与尿路血吸虫病相关的上皮功能障碍、组织纤维化和致癌作用的独特病理生理机制。

https://cdn.ncbi.nlm.nih.gov/pmc/blobs/6cad/3315496/cd18674b8daa/ppat.1002605.g001.jpg

文献AI研究员

20分钟写一篇综述,助力文献阅读效率提升50倍。

立即体验

用中文搜PubMed

大模型驱动的PubMed中文搜索引擎

马上搜索

文档翻译

学术文献翻译模型,支持多种主流文档格式。

立即体验