Suppr超能文献

静脉注射靶向转化生长因子 β 信号的腺病毒可抑制免疫活性同基因宿主 4T1 小鼠乳腺癌模型中已建立的骨转移。

Intravenous administration of adenoviruses targeting transforming growth factor beta signaling inhibits established bone metastases in 4T1 mouse mammary tumor model in an immunocompetent syngeneic host.

机构信息

Gene Therapy Program, Department of Medicine, NorthShore Research Institute, Evanston, IL, USA.

出版信息

Cancer Gene Ther. 2012 Sep;19(9):630-6. doi: 10.1038/cgt.2012.41. Epub 2012 Jun 29.

Abstract

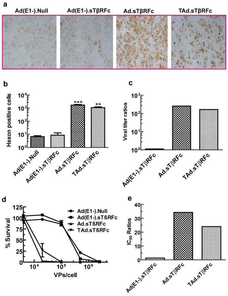
We have examined the effect of adenoviruses expressing soluble transforming growth factor receptorII-Fc (sTGFβRIIFc) in a 4T1 mouse mammary tumor bone metastasis model using syngeneic BALB/c mice. Infection of 4T1 cells with a non-replicating adenovirus, Ad(E1-).sTβRFc, or with two oncolytic adenoviruses, Ad.sTβRFc and TAd.sTβRFc, expressing sTGFβRIIFc (the human TERT promoter drives viral replication in TAd.sTβRFc) produced sTGFβRIIFc protein. Oncolytic adenoviruses produced viral replication and induced cytotoxicity in 4T1 cells. 4T1 cells were resistant to the cytotoxic effects of TGFβ-1 (up to 10 ng ml(-1)). However, TGFβ-1 induced the phosphorylation of SMAD2 and SMAD3, which were inhibited by co-incubation with sTGFβRIIFc protein. TGFβ-1 also induced interleukin-11, a well-known osteolytic factor. Intracardiac injection of 4T1-luc2 cells produced bone metastases by day 4. Intravenous injection of Ad.sTβRFc (on days 5 and 7) followed by bioluminescence imaging (BLI) of mice on days 7, 11 and 14 in tumor-bearing mice indicated inhibition of bone metastasis progression (P<0.05). X-ray radiography of mice on day 14 showed a significant reduction of the lesion size by Ad.sTβRFc (P<0.01) and TAd.sTβRFc (P<0.05). Replication-deficient virus Ad(E1-).sTβRFc expressing sTGFβRIIFc showed some inhibition of bone metastasis, whereas Ad(E1-).Null was not effective in inhibiting bone metastases. Thus, systemic administration of Ad.sTβRFc and TAd.sTβRFc can inhibit bone metastasis in the 4T1 mouse mammary tumor model, and can be developed as potential anti-tumor agents for breast cancer.

摘要

我们研究了腺病毒表达可溶性转化生长因子受体Ⅱ-Fc(sTGFβRIIFc)在 4T1 鼠乳腺癌骨转移模型中的作用,使用了同源 BALB/c 小鼠。用非复制型腺病毒 Ad(E1-).sTβRFc 或表达 sTGFβRIIFc 的两种溶瘤腺病毒 Ad.sTβRFc 和 TAd.sTβRFc(人端粒酶启动子驱动 TAd.sTβRFc 中的病毒复制)感染 4T1 细胞,可产生 sTGFβRIIFc 蛋白。溶瘤腺病毒在 4T1 细胞中产生病毒复制并诱导细胞毒性。4T1 细胞对 TGFβ-1(高达 10ng/ml)的细胞毒性作用有抗性。然而,TGFβ-1 诱导了 SMAD2 和 SMAD3 的磷酸化,而 sTGFβRIIFc 蛋白的共孵育则抑制了磷酸化。TGFβ-1 还诱导了白细胞介素 11,这是一种众所周知的溶骨性因子。心脏内注射 4T1-luc2 细胞在第 4 天产生骨转移。静脉注射 Ad.sTβRFc(第 5 和 7 天),然后在荷瘤小鼠的第 7、11 和 14 天进行生物发光成像(BLI),表明抑制了骨转移的进展(P<0.05)。第 14 天对小鼠进行 X 射线摄影显示,Ad.sTβRFc(P<0.01)和 TAd.sTβRFc(P<0.05)显著减小了病变大小。表达 sTGFβRIIFc 的复制缺陷型病毒 Ad(E1-).sTβRFc 显示出对骨转移的一定抑制作用,而 Ad(E1-).Null 对抑制骨转移无效。因此,系统给予 Ad.sTβRFc 和 TAd.sTβRFc 可抑制 4T1 鼠乳腺癌模型中的骨转移,并可作为乳腺癌的潜在抗肿瘤药物进行开发。

https://cdn.ncbi.nlm.nih.gov/pmc/blobs/4d35/3424293/01dc3a9a0bac/nihms382286f1.jpg

文献AI研究员

20分钟写一篇综述,助力文献阅读效率提升50倍。

立即体验

用中文搜PubMed

大模型驱动的PubMed中文搜索引擎

马上搜索

文档翻译

学术文献翻译模型,支持多种主流文档格式。

立即体验