Suppr超能文献

使用脱细胞猪角膜基质构建的人角膜内皮细胞等效物。

A human corneal endothelium equivalent constructed with acellular porcine corneal matrix.

机构信息

Department of Ophthalmology, Qilu Hospital, Shandong University, Jinan, China.

出版信息

Indian J Med Res. 2012 Jun;135(6):887-94.

Abstract

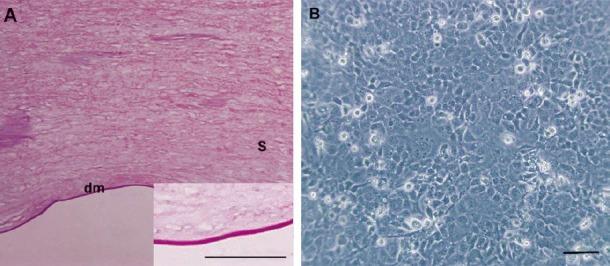
BACKGROUND & OBJECTIVES: Artificial corneal endothelium equivalents can not only be used as in vitro model for biomedical research including toxicological screening of drugs and investigation of pathological corneal endothelium conditions, but also as potential sources of grafts for corneal keratoplasty. This study was aimed to demonstrate the feasibility of constructing human corneal endothelium equivalents using human corneal endothelial cells and acellular porcine corneal matrix.

METHODS

Porcine corneas were decellularized with sodium dodecyl sulphate (SDS) solution. Human corneal endothelial cells B4G12 were cultured with leaching liquid extracted from the acellular porcine corneal matrix, and then cell proliferative ability was evaluated by MTT assay. B4G12 cells were transplanted to a rat corneal endothelial deficiency model to analyze their in vivo bio-safety and pump function, and then seeded and cultured on acellular porcine corneal matrix for two wk. Corneal endothelium equivalents were analyzed using HE staining, trypan blue and alizarin red S co-staining, immunofluorescence and corneal swelling assay.

RESULTS

The leaching liquid from acellular porcine corneal matrix had little influence on the proliferation ability of B4G12 cells. Animal transplantation of B4G12 cells showed that these cells had similar function to the native cells without causing a detectable immunological reaction and neoplasm in vivo. These formed a monolayer covering the surface of the acellular porcine corneal matrix. Trypan blue and alizarin red S co-staining showed that B4G12 cells were alive after two wk in organ culture and cell boundaries were clearly delineated. Proper localizations of ZO-1 and Na+/K+ ATPase were detected by immunofluorescence assay. Functional experiments were conducted to show that the Na+/K+ ATPase inhibitor ouabain could block the ionic-pumping function of this protein, leading to persistent swelling of 51.7 per cent as compared to the control.

INTERPRETATION & CONCLUSIONS: Our findings showed that B4G12 cells served as a good model for native corneal endothelial cells in vivo. Corneal endothelium equivalents had properties similar to those of native corneal endothelium and could serve as a good model for in vitro study of human corneal endothelium.

摘要

背景与目的

人工角膜内皮等效物不仅可作为体外模型用于包括药物毒性筛选和病理性角膜内皮条件研究在内的生物医学研究,还可作为角膜移植的潜在供体来源。本研究旨在证明用人角膜内皮细胞和去细胞猪角膜基质构建人角膜内皮等效物的可行性。

方法

采用十二烷基硫酸钠(SDS)溶液对猪角膜进行去细胞处理。用从去细胞猪角膜基质中提取的浸提液培养人角膜内皮细胞 B4G12,通过 MTT 检测评估细胞增殖能力。将 B4G12 细胞移植到大鼠角膜内皮缺损模型中,分析其体内生物安全性和泵功能,然后接种并在去细胞猪角膜基质上培养 2 周。采用 HE 染色、台盼蓝和茜素红 S 共染色、免疫荧光和角膜肿胀试验分析角膜内皮等效物。

结果

去细胞猪角膜基质浸提液对 B4G12 细胞增殖能力影响较小。B4G12 细胞动物移植显示,这些细胞与天然细胞具有相似的功能,在体内不会引起可检测的免疫反应和肿瘤。这些细胞在去细胞猪角膜基质表面形成单层。器官培养 2 周后,台盼蓝和茜素红 S 共染色显示 B4G12 细胞存活,细胞边界清晰。免疫荧光检测显示 ZO-1 和 Na+/K+ATP 酶的定位正确。功能实验表明,Na+/K+ATP 酶抑制剂哇巴因可阻断该蛋白的离子泵功能,导致其持续肿胀 51.7%,与对照组相比。

解释与结论

我们的研究结果表明,B4G12 细胞在体内可作为天然角膜内皮细胞的良好模型。角膜内皮等效物具有与天然角膜内皮相似的特性,可作为体外研究人角膜内皮的良好模型。

https://cdn.ncbi.nlm.nih.gov/pmc/blobs/4c71/3410216/30fba8a7ded8/IJMR-135-887-g001.jpg

文献AI研究员

20分钟写一篇综述,助力文献阅读效率提升50倍。

立即体验

用中文搜PubMed

大模型驱动的PubMed中文搜索引擎

马上搜索

文档翻译

学术文献翻译模型,支持多种主流文档格式。

立即体验