Suppr超能文献

CUL3-KLHL3 E3 连接酶复合物在 Gordon 高血压综合征中发生突变,与 WNK 同工型相互作用并泛素化:KLHL3 和 WNK4 的致病突变破坏相互作用。

The CUL3-KLHL3 E3 ligase complex mutated in Gordon's hypertension syndrome interacts with and ubiquitylates WNK isoforms: disease-causing mutations in KLHL3 and WNK4 disrupt interaction.

机构信息

MRC Protein Phosphorylation Unit, College of Life Sciences, University of Dundee, Dow Street, Dundee DD1 5EH, Scotland, UK.

出版信息

Biochem J. 2013 Apr 1;451(1):111-22. doi: 10.1042/BJ20121903.

Abstract

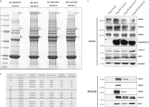
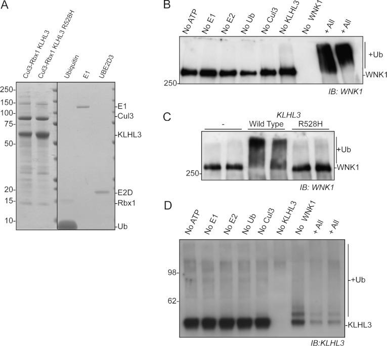
The WNK (with no lysine kinase)-SPAK (SPS1-related proline/alanine-rich kinase)/OSR1 (oxidative stress-responsive kinase 1) signalling pathway plays an important role in controlling mammalian blood pressure by modulating the activity of ion co-transporters in the kidney. Recent studies have identified Gordon's hypertension syndrome patients with mutations in either CUL3 (Cullin-3) or the BTB protein KLHL3 (Kelch-like 3). CUL3 assembles with BTB proteins to form Cullin-RING E3 ubiquitin ligase complexes. To explore how a CUL3-KLHL3 complex might operate, we immunoprecipitated KLHL3 and found that it associated strongly with WNK isoforms and CUL3, but not with other components of the pathway [SPAK/OSR1 or NCC (Na(+)/Cl(-) co-transporter)/NKCC1 (Na(+)/K(+)/2Cl(-) co-transporter 1)]. Strikingly, 13 out of the 15 dominant KLHL3 disease mutations analysed inhibited binding to WNK1 or CUL3. The recombinant wild-type CUL3-KLHL3 E3 ligase complex, but not a disease-causing CUL3-KLHL3[R528H] mutant complex, ubiquitylated WNK1 in vitro. Moreover, siRNA (small interfering RNA)-mediated knockdown of CUL3 increased WNK1 protein levels and kinase activity in HeLa cells. We mapped the KLHL3 interaction site in WNK1 to a non-catalytic region (residues 479-667). Interestingly, the equivalent region in WNK4 encompasses residues that are mutated in Gordon's syndrome patients. Strikingly, we found that the Gordon's disease-causing WNK4[E562K] and WNK4[Q565E] mutations, as well as the equivalent mutation in the WNK1[479-667] fragment, abolished the ability to interact with KLHL3. These results suggest that the CUL3-KLHL3 E3 ligase complex regulates blood pressure via its ability to interact with and ubiquitylate WNK isoforms. The findings of the present study also emphasize that the missense mutations in WNK4 that cause Gordon's syndrome strongly inhibit interaction with KLHL3. This could elevate blood pressure by increasing the expression of WNK4 thereby stimulating inappropriate salt retention in the kidney by promoting activation of the NCC/NKCC2 ion co-transporters. The present study reveals how mutations that disrupt the ability of an E3 ligase to interact with and ubiquitylate a critical cellular substrate such as WNK isoforms can trigger a chronic disease such as hypertension.

摘要

WNK(无赖氨酸激酶)-SPAK(SPS1 相关脯氨酸/丙氨酸丰富激酶)/OSR1(氧化应激反应激酶 1)信号通路通过调节肾脏中离子共转运体的活性在控制哺乳动物血压方面发挥重要作用。最近的研究已经确定了 Gordon 氏高血压综合征患者的突变位于 CUL3(Cullin-3)或 BTB 蛋白 KLHL3(Kelch-like 3)中。CUL3 与 BTB 蛋白组装形成 Cullin-RING E3 泛素连接酶复合物。为了探索 CUL3-KLHL3 复合物如何发挥作用,我们免疫沉淀 KLHL3,发现它与 WNK 同工型和 CUL3 强烈相关,但与该途径的其他成分[SPAK/OSR1 或 NCC(Na+/Cl-共转运体)/NKCC1(Na+/K+/2Cl-共转运体 1)]无关。引人注目的是,分析的 15 个显性 KLHL3 疾病突变中有 13 个抑制了与 WNK1 或 CUL3 的结合。重组野生型 CUL3-KLHL3 E3 连接酶复合物,但不是致病的 CUL3-KLHL3[R528H]突变复合物,在体外使 WNK1 泛素化。此外,siRNA(小干扰 RNA)介导的 CUL3 敲低增加了 HeLa 细胞中 WNK1 的蛋白水平和激酶活性。我们将 KLHL3 与 WNK1 的相互作用位点映射到非催化区域(残基 479-667)。有趣的是,WNK4 中的等效区域包含 Gordon 综合征患者突变的残基。引人注目的是,我们发现 Gordon 氏病致病的 WNK4[E562K]和 WNK4[Q565E]突变以及 WNK1[479-667]片段中的等效突变,均消除了与 KLHL3 相互作用的能力。这些结果表明,CUL3-KLHL3 E3 连接酶复合物通过其与 WNK 同工型相互作用和泛素化的能力来调节血压。本研究的结果还强调,导致 Gordon 综合征的 WNK4 错义突变强烈抑制与 KLHL3 的相互作用。这可能通过增加 WNK4 的表达从而通过促进 NCC/NKCC2 离子共转运体的激活来刺激肾脏中不适当的盐保留来升高血压。本研究揭示了突变如何破坏 E3 连接酶与关键细胞底物(如 WNK 同工型)相互作用和泛素化的能力,从而引发高血压等慢性疾病。

https://cdn.ncbi.nlm.nih.gov/pmc/blobs/dc5a/3632089/6e2308843ccb/bj2012-1903i001.jpg

文献AI研究员

20分钟写一篇综述,助力文献阅读效率提升50倍。

立即体验

用中文搜PubMed

大模型驱动的PubMed中文搜索引擎

马上搜索

文档翻译

学术文献翻译模型,支持多种主流文档格式。

立即体验