Suppr超能文献

索拉非尼抑制自然杀伤细胞促进肝癌的促转移作用。

Suppression of natural killer cells by sorafenib contributes to prometastatic effects in hepatocellular carcinoma.

机构信息

Liver Cancer Institute and Zhongshan Hospital, Fudan University, Key Laboratory for Carcinogenesis and Cancer Invasion, The Chinese Ministry of Education, Shanghai, PR China.

出版信息

PLoS One. 2013;8(2):e55945. doi: 10.1371/journal.pone.0055945. Epub 2013 Feb 8.

Abstract

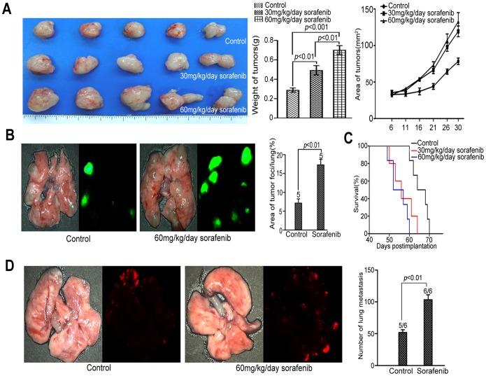
Sorafenib, a multi-tyrosine kinase inhibitor, is a standard treatment for advanced hepatocellular carcinoma (HCC). The present study was undertaken to determine whether the growth and metastasis of HCC were influenced in mice receiving sorafenib prior to implantation with tumors, and to investigate the in-vivo and in-vitro effect of sorafenib on natural killer (NK) cells. In sorafenib-pretreated BALB/c nu/nu mice and C57BL/6 mice, tumor growth was accelerated, mouse survival was decreased, and lung metastasis was increased. However, the depletion of NK1.1(+) cells in C57BL/6 mice eliminated sorafenib-mediated pro-metastatic effects. Sorafenib significantly reduced the number of NK cells and inhibited reactivity of NK cells against tumor cells, in both tumor-bearing and tumor-free C57BL/6 mice. Sorafenib down-regulated the stimulatory receptor CD69 in NK cells of tumor-bearing mice, but not in tumor-free mice, and inhibited proliferation of NK92-MI cells, which is associated with the blocking of the PI3K/AKT pathway, and inhibited cytotoxicity of NK cells in response to tumor targets, which was due to impaired ERK phosphorylation. These results suggest immunotherapeutic approaches activating NK cells may enhance the therapeutic efficacy of sorafenib in HCC patients.

摘要

索拉非尼是一种多酪氨酸激酶抑制剂,是治疗晚期肝细胞癌(HCC)的标准治疗方法。本研究旨在确定在植入肿瘤前接受索拉非尼治疗的小鼠中,HCC 的生长和转移是否受到影响,并研究索拉非尼对自然杀伤(NK)细胞的体内和体外作用。在索拉非尼预处理的 BALB/c nu/nu 小鼠和 C57BL/6 小鼠中,肿瘤生长加速,小鼠存活率降低,肺转移增加。然而,在 C57BL/6 小鼠中耗尽 NK1.1(+)细胞消除了索拉非尼介导的促转移作用。索拉非尼显著减少了 NK 细胞的数量,并抑制了 NK 细胞对肿瘤细胞的反应性,无论是在荷瘤还是无瘤 C57BL/6 小鼠中。索拉非尼下调了荷瘤小鼠 NK 细胞中的刺激受体 CD69,但在无瘤小鼠中没有下调,并且抑制了 NK92-MI 细胞的增殖,这与 PI3K/AKT 通路的阻断有关,并抑制了 NK 细胞对肿瘤靶标的细胞毒性,这是由于 ERK 磷酸化受损所致。这些结果表明,激活 NK 细胞的免疫治疗方法可能增强索拉非尼在 HCC 患者中的治疗效果。

https://cdn.ncbi.nlm.nih.gov/pmc/blobs/ba5c/3568028/8a9f93f47749/pone.0055945.g001.jpg

文献AI研究员

20分钟写一篇综述,助力文献阅读效率提升50倍。

立即体验

用中文搜PubMed

大模型驱动的PubMed中文搜索引擎

马上搜索

文档翻译

学术文献翻译模型,支持多种主流文档格式。

立即体验