Suppr超能文献

一种神经调节蛋白-表皮生长因子受体(EGFR)-人表皮生长因子受体3(HER3)自分泌信号轴可介导HER2阳性乳腺癌模型中对拉帕替尼的获得性耐药。

An heregulin-EGFR-HER3 autocrine signaling axis can mediate acquired lapatinib resistance in HER2+ breast cancer models.

作者信息

Xia Wenle, Petricoin Emanual F, Zhao Sumin, Liu Leihua, Osada Takuya, Cheng Qing, Wulfkuhle Julia D, Gwin William R, Yang Xiaoyi, Gallagher Rosa I, Bacus Sarah, Lyerly H Kim, Spector Neil L

出版信息

Breast Cancer Res. 2013;15(5):R85. doi: 10.1186/bcr3480.

Abstract

INTRODUCTION

The human epidermal growth factor receptor 2 (HER2) receptor tyrosine kinase (RTK) oncogene is an attractive therapeutic target for the treatment of HER2-addicted tumors. Although lapatinib, an FDA-approved small-molecule HER2 and epidermal growth factor receptor (EGFR) tyrosine kinase inhibitor (TKI), represents a significant therapeutic advancement in the treatment of HER2+ breast cancers, responses to lapatinib have not been durable. Consequently, elucidation of mechanisms of acquired therapeutic resistance to HER-directed therapies is of critical importance.

METHODS

Using a functional protein-pathway activation mapping strategy, along with targeted genomic knockdowns applied to a series of isogenic-matched pairs of lapatinib-sensitive and resistant cell lines, we now report an unexpected mechanism of acquired resistance to lapatinib and similar TKIs.

RESULTS

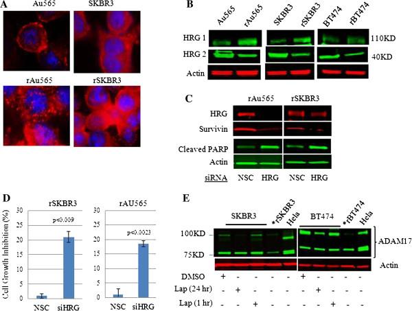
The signaling analysis revealed that whereas HER2 was appropriately inhibited in lapatinib-resistant cells, EGFR tyrosine phosphorylation was incompletely inhibited. Using a targeted molecular knockdown approach to interrogate the causal molecular underpinnings of EGFR-persistent activation, we found that lapatinib-resistant cells were no longer oncogene addicted to HER2-HER3-PI3K signaling, as seen in the parental lapatinib-sensitive cell lines, but instead were dependent on a heregulin (HRG)-driven HER3-EGFR-PI3K-PDK1 signaling axis. Two FDA-approved EGFR TKIs could not overcome HRG-HER3-mediated activation of EGFR, or reverse lapatinib resistance. The ability to overcome EGFR-mediated acquired therapeutic resistance to lapatinib was demonstrated through molecular knockdown of EGFR and treatment with the irreversible pan-HER TKI neratinib, which blocked HRG-dependent phosphorylation of HER3 and EGFR, resulting in apoptosis of resistant cells. In addition, whereas HRG reversed lapatinib-mediated antitumor effects in parental HER2+ breast cancer cells, neratinib was comparatively resistant to the effects of HRG in parental cells. Finally, we showed that HRG expression is an independent negative predictor of clinical outcome in HER2+ breast cancers, providing potential clinical relevance to our findings.

CONCLUSIONS

Molecular analysis of acquired therapeutic resistance to lapatinib identified a new resistance mechanism based on incomplete and "leaky" inhibition of EGFR by lapatinib. The selective pressure applied by incomplete inhibition of the EGFR drug target resulted in selection of ligand-driven feedback that sustained EGFR activation in the face of constant exposure to the drug. Inadequate target inhibition driven by a ligand-mediated autocrine feedback loop may represent a broader mechanism of therapeutic resistance to HER TKIs and suggests adopting a different strategy for selecting more effective TKIs to advance into the clinic.

摘要

引言

人表皮生长因子受体2(HER2)受体酪氨酸激酶(RTK)癌基因是治疗HER2依赖型肿瘤的一个有吸引力的治疗靶点。尽管拉帕替尼是一种经美国食品药品监督管理局(FDA)批准的小分子HER2和表皮生长因子受体(EGFR)酪氨酸激酶抑制剂(TKI),代表了HER2阳性乳腺癌治疗的重大治疗进展,但对拉帕替尼的反应并不持久。因此,阐明对HER靶向治疗获得性耐药的机制至关重要。

方法

我们采用功能蛋白通路激活图谱策略,结合针对一系列拉帕替尼敏感和耐药细胞系的同基因匹配对进行的靶向基因组敲低,报告了一种对拉帕替尼和类似TKI获得性耐药的意外机制。

结果

信号分析显示,虽然HER2在拉帕替尼耐药细胞中得到了适当抑制,但EGFR酪氨酸磷酸化未被完全抑制。通过靶向分子敲低方法探究EGFR持续激活的因果分子基础,我们发现拉帕替尼耐药细胞不再像亲代拉帕替尼敏感细胞系那样对HER2-HER3-PI3K信号通路产生癌基因依赖,而是依赖于一种由双调蛋白(HRG)驱动的HER3-EGFR-PI3K-PDK1信号轴。两种FDA批准的EGFR TKI无法克服HRG-HER3介导的EGFR激活,也无法逆转拉帕替尼耐药。通过EGFR的分子敲低和使用不可逆的泛HER TKI来那替尼进行治疗,证明了克服EGFR介导的对拉帕替尼获得性治疗耐药的能力,来那替尼可阻断HRG依赖的HER3和EGFR磷酸化,导致耐药细胞凋亡。此外,虽然HRG可逆转亲代HER2阳性乳腺癌细胞中拉帕替尼介导的抗肿瘤作用,但来那替尼对亲代细胞中HRG的作用相对耐药。最后,我们表明HRG表达是HER2阳性乳腺癌临床结局的一个独立负性预测指标,为我们的研究结果提供了潜在的临床相关性。

结论

对拉帕替尼获得性治疗耐药的分子分析确定了一种基于拉帕替尼对EGFR不完全和“渗漏”抑制的新耐药机制。对EGFR药物靶点的不完全抑制所施加的选择性压力导致了配体驱动的反馈选择,在持续接触药物的情况下维持了EGFR的激活。由配体介导的自分泌反馈环驱动的靶点抑制不足可能代表了对HER TKI更广泛的治疗耐药机制,并建议采用不同策略来选择更有效的TKI推进到临床应用中。

https://cdn.ncbi.nlm.nih.gov/pmc/blobs/02b5/3978995/cea295cb0ee9/bcr3480-1.jpg

文献AI研究员

20分钟写一篇综述,助力文献阅读效率提升50倍。

立即体验

用中文搜PubMed

大模型驱动的PubMed中文搜索引擎

马上搜索

文档翻译

学术文献翻译模型,支持多种主流文档格式。

立即体验