Suppr超能文献

口服镁对顺铂诱导的正常大鼠和链脲佐菌素诱导的糖尿病大鼠肾毒性的影响。

Effect of oral administration of magnesium on Cisplatin-induced nephrotoxicity in normal and streptozocin-induced diabetic rats.

作者信息

Soltani Nepton, Nematbakhsh Mehdi, Eshraghi-Jazi Fatemeh, Talebi Ardeshir, Ashrafi Farzaneh

机构信息

Research Center for Molecular Medicine, Hormozgan University of Medical Sciences, Bandar Abbas, IR Iran ; Department of Physiology, Hormozgan University of Medical Sciences, Bandar Abbas, IR Iran.

Water and Electrolytes Research Center, Isfahan University of Medical Sciences, Isfahan, IR Iran ; Department of Physiology, Isfahan University of Medical Sciences, Isfahan, IR Iran ; Isfahan Institute of Basic and Applied Sciences Research, Isfahan, IR Iran.

出版信息

Nephrourol Mon. 2013 Sep;5(4):884-90. doi: 10.5812/numonthly.11624. Epub 2013 Aug 20.

Abstract

BACKGROUND

Cisplatin (CP) therapy as the most common potent chemotherapeutic process is accompanied by nephrotoxicity. The diabetic state may protect rat kidney against this toxicity, and magnesium (Mg) on the other hand may reduce the glucose level in diabetic animals.

OBJECTIVES

Current study was planned to investigate the effect of oral administration of magnesium supplementation on CP-induced nephrotoxicity in normal and Streptozocin (STZ)-induced diabetic rats.

MATERIALS AND METHODS

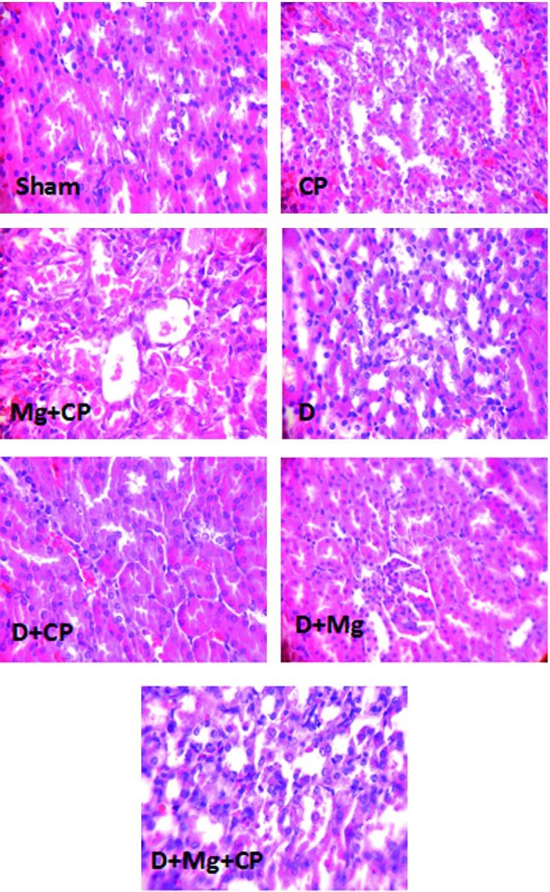
Male Wistar rats were divided into seven groups and underwent two experiment protocols. As protocol 1, group 1 was considered as the sham group. Group 2 (CP group) received CP (2 mg/kg/d) for five consecutive days. Group 3 (CP + Mg group) received magnesium sulphate (MgSO4, 10 g/L added to the drinking water) for 10 days and then treated with CP from sixth day. As protocol 2, animals received a single dose of STZ (65 mg/kg i.p.). Three days after diabetes induction, animals were divided into four groups; Groups 4 (D group), 5 (D + CP group), and 7 (D + Mg + CP group) followed the same manner as groups 1 to 3, respectively; and group 6 (D + Mg group) was treated with MgSO4 alone for 10 days. Finally, blood samples were obtained, and all animals were killed for kidney tissue investigation.

RESULTS

CP administration in normoglycemic rats significantly elevated the serum levels of blood urea nitrogen (BUN) and creatinine (Cr) (P < 0.05). However, coadministration of CP and Mg statistically increased the serum levels of BUN and Cr in both normoglycemic and diabetic animals when compared to the rats treated with CP alone (P < 0.05), while the serum level of Mg was significantly increased in nondiabetic groups (P < 0.05). No significant changes were observed in serum and kidney levels of nitrite; as well as the testis weight between all normoglycemic groups, whereas Mg decreased kidney levels of nitrite in diabetic groups when accompanied by CP (P < 0.05). The kidney and serum levels of malondialdehyde (MDA) enhanced significantly in nondiabetic rats treated with Mg and CP (P < 0.05). Kidney tissue damage score (KTDS), kidney weight, and body weight loss were significantly different among normoglycemic groups (P < 0.05), and Mg promoted the KTDS in diabetic animals treated with CP.

CONCLUSIONS

Oral Mg supplementation did not protect the CP induced nephrotoxicity in diabetic rats.

摘要

背景

顺铂(CP)疗法作为最常见的有效化疗方法,会伴随肾毒性。糖尿病状态可能会保护大鼠肾脏免受这种毒性影响,而镁(Mg)另一方面可能会降低糖尿病动物的血糖水平。

目的

本研究旨在调查口服补充镁对正常和链脲佐菌素(STZ)诱导的糖尿病大鼠中CP诱导的肾毒性的影响。

材料与方法

雄性Wistar大鼠分为七组,进行两个实验方案。作为方案1,第1组被视为假手术组。第2组(CP组)连续五天接受CP(2mg/kg/d)。第3组(CP + Mg组)连续10天接受硫酸镁(MgSO4,10g/L添加到饮用水中),然后从第六天开始用CP治疗。作为方案2,动物接受单剂量的STZ(65mg/kg腹腔注射)。糖尿病诱导三天后,动物分为四组;第4组(D组)、第5组(D + CP组)和第7组(D + Mg + CP组)分别遵循与第1组至第3组相同的方式;第6组(D + Mg组)单独用MgSO4治疗10天。最后,采集血样,所有动物处死以进行肾脏组织研究。

结果

正常血糖大鼠给予CP后,血清尿素氮(BUN)和肌酐(Cr)水平显著升高(P < 0.05)。然而,与单独用CP治疗的大鼠相比(P < 0.05),CP和Mg联合给药在正常血糖和糖尿病动物中均使BUN和Cr的血清水平统计学上显著升高,而非糖尿病组中Mg的血清水平显著升高(P < 0.05)。在所有正常血糖组中,亚硝酸盐的血清和肾脏水平以及睾丸重量均未观察到显著变化,而在糖尿病组中,当与CP同时存在时,Mg降低了肾脏亚硝酸盐水平(P < 0.05)。用Mg和CP治疗的非糖尿病大鼠中,丙二醛(MDA)的肾脏和血清水平显著升高(P < 0.05)。正常血糖组之间的肾脏组织损伤评分(KTDS)、肾脏重量和体重减轻存在显著差异(P < 0.05),并且Mg在接受CP治疗的糖尿病动物中促进了KTDS。

结论

口服补充Mg不能保护糖尿病大鼠免受CP诱导的肾毒性。

https://cdn.ncbi.nlm.nih.gov/pmc/blobs/4354/3842559/492705609858/num-05-884-i001.jpg

文献AI研究员

20分钟写一篇综述,助力文献阅读效率提升50倍。

立即体验

用中文搜PubMed

大模型驱动的PubMed中文搜索引擎

马上搜索

文档翻译

学术文献翻译模型,支持多种主流文档格式。

立即体验