Suppr超能文献

沃纳综合征蛋白中的丝氨酸440和467被DNA依赖性蛋白激酶磷酸化,并影响其对DNA双链断裂的反应动力学。

Serines 440 and 467 in the Werner syndrome protein are phosphorylated by DNA-PK and affects its dynamics in response to DNA double strand breaks.

作者信息

Kusumoto-Matsuo Rika, Ghosh Deblina, Karmakar Parimal, May Alfred, Ramsden Dale, Bohr Vilhelm A

机构信息

Laboratory of Molecular Gerontology, National Institute on Aging, NIH, Baltimore, MD 21224, USA.

出版信息

Aging (Albany NY). 2014 Jan;6(1):70-81. doi: 10.18632/aging.100629.

Abstract

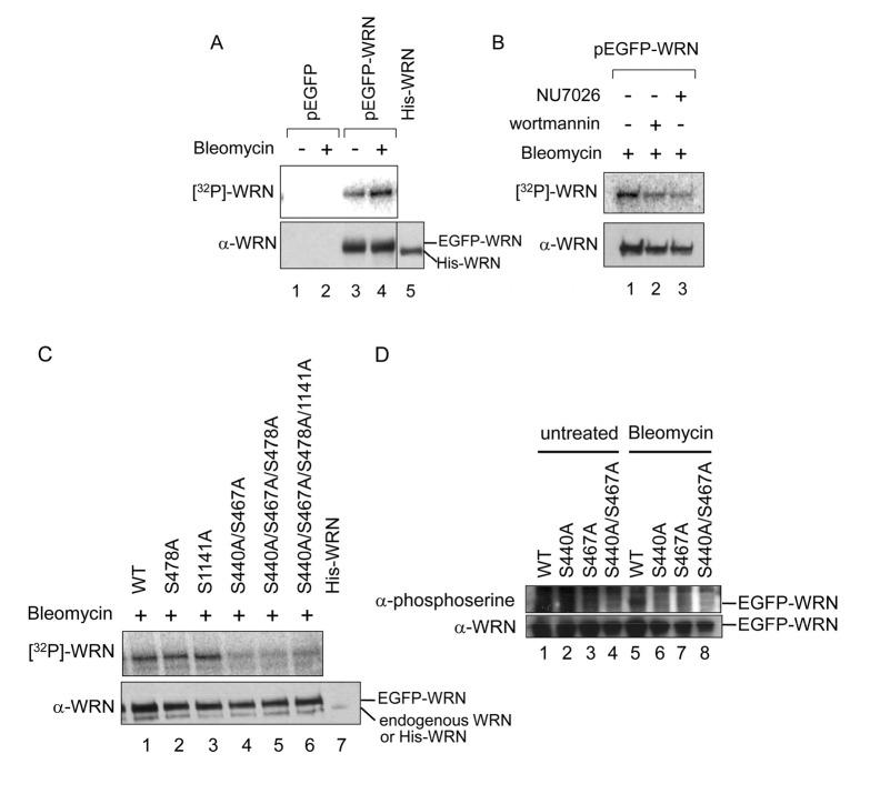
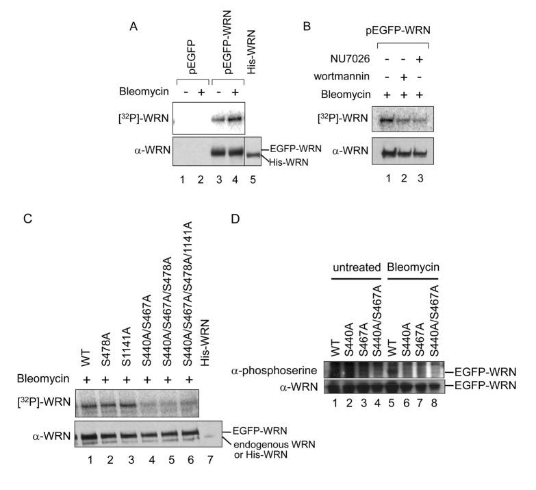
WRN protein, defective in Werner syndrome (WS), a human segmental progeria, is a target of serine/threonine kinases involved in sensing DNA damage. DNA-PK phosphorylates WRN in response to DNA double strand breaks (DSBs). However, the main phosphorylation sites and functional importance of the phosphorylation of WRN has remained unclear. Here, we identify Ser-440 and -467 in WRN as major phosphorylation sites mediated by DNA-PK.In vitro, DNA-PK fails to phosphorylate a GST-WRN fragment with S440A and/or S467A substitution. In addition, full length WRN with the mutation expressed in 293T cells was not phosphorylated in response to DSBs produced by bleomycin. Accumulation of the mutant WRN at the site of laser-induced DSBs occurred with the same kinetics as wild type WRN in live HeLa cells. While the wild type WRN relocalized to the nucleoli after 24 hours recovery from etoposide-induced DSBs, the mutant WRN remained mostly in the nucleoplasm. Consistent with this, WS cells expressing the mutants exhibited less DNA repair efficiency and more sensitivity to etoposide, compared to those expressing wild type. Our findings indicate that phosphorylation of Ser-440 and -467 in WRN are important for relocalization of WRN to nucleoli, and that it is required for efficient DSB repair.

摘要

WRN蛋白在沃纳综合征(WS,一种人类节段性早衰症)中存在缺陷,是参与感知DNA损伤的丝氨酸/苏氨酸激酶的作用靶点。DNA依赖蛋白激酶(DNA-PK)在DNA双链断裂(DSB)时使WRN磷酸化。然而,WRN磷酸化的主要位点及其功能重要性仍不清楚。在此,我们确定WRN中的Ser-440和-467是由DNA-PK介导的主要磷酸化位点。在体外,DNA-PK无法使具有S440A和/或S467A替代的GST-WRN片段磷酸化。此外,在293T细胞中表达的具有该突变的全长WRN在博来霉素产生的DSB作用下未发生磷酸化。在活的HeLa细胞中,突变型WRN在激光诱导的DSB位点的积累与野生型WRN具有相同的动力学。虽然野生型WRN在依托泊苷诱导的DSB恢复24小时后重新定位于核仁,但突变型WRN大多仍留在核质中。与此一致的是,与表达野生型的细胞相比,表达突变体的WS细胞表现出更低的DNA修复效率和对依托泊苷更高的敏感性。我们的研究结果表明,WRN中Ser-440和-467的磷酸化对于WRN重新定位于核仁很重要,并且是高效DSB修复所必需的。

https://cdn.ncbi.nlm.nih.gov/pmc/blobs/2039/3927811/7f9bb0367de3/aging-06-070-g001.jpg

文献AI研究员

20分钟写一篇综述,助力文献阅读效率提升50倍。

立即体验

用中文搜PubMed

大模型驱动的PubMed中文搜索引擎

马上搜索

文档翻译

学术文献翻译模型,支持多种主流文档格式。

立即体验