Suppr超能文献

鉴定 uPAR 中的一个新表位作为癌症治疗性单克隆抗体 ATN-658 的靶标,该抗体是 uPAR 结合整合素 CD11b(αM)的结构同源物。

Identification of a new epitope in uPAR as a target for the cancer therapeutic monoclonal antibody ATN-658, a structural homolog of the uPAR binding integrin CD11b (αM).

机构信息

Division of Hemostasis and Thrombosis, Beth Israel Deaconess Medical Center, Harvard Medical School, Boston, Massachusetts, United States of America.

Division of Hemostasis and Thrombosis, Beth Israel Deaconess Medical Center, Harvard Medical School, Boston, Massachusetts, United States of America ; State Key Laboratory of Structural Chemistry, Fujian Institute of Research on the Structure of Matter, Chinese Academy of Sciences, Fuzhou, Fujian, China.

出版信息

PLoS One. 2014 Jan 21;9(1):e85349. doi: 10.1371/journal.pone.0085349. eCollection 2014.

Abstract

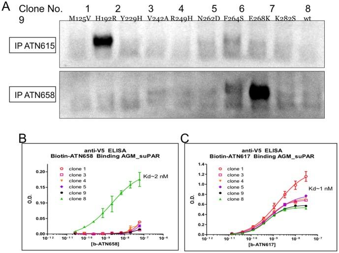
The urokinase plasminogen activator receptor (uPAR) plays a role in tumor progression and has been proposed as a target for the treatment of cancer. We recently described the development of a novel humanized monoclonal antibody that targets uPAR and has anti-tumor activity in multiple xenograft animal tumor models. This antibody, ATN-658, does not inhibit ligand binding (i.e. uPA and vitronectin) to uPAR and its mechanism of action remains unclear. As a first step in understanding the anti-tumor activity of ATN-658, we set out to identify the epitope on uPAR to which ATN-658 binds. Guided by comparisons between primate and human uPAR, epitope mapping studies were performed using several orthogonal techniques. Systematic site directed and alanine scanning mutagenesis identified the region of aa 268-275 of uPAR as the epitope for ATN-658. No known function has previously been attributed to this epitope Structural insights into epitope recognition were obtained from structural studies of the Fab fragment of ATN-658 bound to uPAR. The structure shows that the ATN-658 binds to the DIII domain of uPAR, close to the C-terminus of the receptor, corroborating the epitope mapping results. Intriguingly, when bound to uPAR, the complementarity determining region (CDR) regions of ATN-658 closely mimic the binding regions of the integrin CD11b (αM), a previously identified uPAR ligand thought to be involved in leukocyte rolling, migration and complement fixation with no known role in tumor progression of solid tumors. These studies reveal a new functional epitope on uPAR involved in tumor progression and demonstrate a previously unrecognized strategy for the therapeutic targeting of uPAR.

摘要

尿激酶型纤溶酶原激活物受体 (uPAR) 在肿瘤进展中发挥作用,并被提议作为癌症治疗的靶点。我们最近描述了一种新型人源化单克隆抗体的开发,该抗体靶向 uPAR,并在多种异种移植动物肿瘤模型中具有抗肿瘤活性。这种抗体 ATN-658 不会抑制配体(即 uPA 和 vitronectin)与 uPAR 的结合,其作用机制尚不清楚。为了了解 ATN-658 的抗肿瘤活性,我们首先确定 ATN-658 结合的 uPAR 表位。在灵长类和人类 uPAR 之间的比较指导下,使用几种正交技术进行了表位作图研究。系统的定点和丙氨酸扫描诱变确定了 uPAR 的 aa268-275 区域是 ATN-658 的表位。以前没有将此表位归因于已知的功能。通过对与 uPAR 结合的 ATN-658 的 Fab 片段的结构研究,获得了对表位识别的结构见解。该结构表明,ATN-658 结合到 uPAR 的 DIII 结构域,靠近受体的 C 末端,这与表位作图结果一致。有趣的是,当与 uPAR 结合时,ATN-658 的互补决定区 (CDR) 区域非常类似于整合素 CD11b(αM)的结合区域,CD11b 是先前鉴定的 uPAR 配体,被认为参与白细胞滚动、迁移和补体固定,在实体瘤的肿瘤进展中没有已知作用。这些研究揭示了 uPAR 上涉及肿瘤进展的新功能表位,并证明了靶向 uPAR 的治疗的一种以前未被认识的策略。

https://cdn.ncbi.nlm.nih.gov/pmc/blobs/c7d5/3897428/f4bb36a2de63/pone.0085349.g001.jpg

文献AI研究员

20分钟写一篇综述,助力文献阅读效率提升50倍。

立即体验

用中文搜PubMed

大模型驱动的PubMed中文搜索引擎

马上搜索

文档翻译

学术文献翻译模型,支持多种主流文档格式。

立即体验