Suppr超能文献

经气管重复滴注二氧化钛纳米颗粒对大鼠系统免疫的影响。

Systemic immune effects of titanium dioxide nanoparticles after repeated intratracheal instillation in rat.

机构信息

Key Laboratory of Environmental Medicine Engineering, Ministry of Education, School of Public Health, Southeast University, Nanjing 210009, Jiangsu, China.

Department of Epidemiology and Health Statistics, School of Public Health, Southeast University, Nanjing 210009, Jiangsu, China.

出版信息

Int J Mol Sci. 2014 Apr 22;15(4):6961-73. doi: 10.3390/ijms15046961.

Abstract

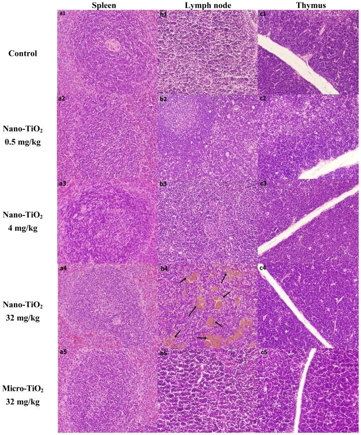
The potential immune effects of titanium dioxide nanoparticles (nano-TiO₂) are raising concern. Our previous study verified that nano-TiO₂ induce local immune response in lung tissue followed by intratracheal instillation administration. In this study, we aim to evaluate the systemic immune effects of nano-TiO₂. Sprague Dawley rats were treated by intratracheal instillation with nano-TiO₂ at doses of 0.5, 4, and 32 mg/kg body weight, micro-TiO₂ with 32 mg/kg body weight and 0.9% NaCl, respectively. The exposure was conducted twice a week, for four consecutive weeks. Histopathological immune organs from exposed animals showed slight congestion in spleen, generally brown particulate deposition in cervical and axillary lymph node. Furthermore, immune function response was characterized by increased proliferation of T cells and B cells following mitogen stimulation and enhanced natural killer (NK) cell killing activity in spleen, accompanying by increased number of B cells in blood. No significant changes of Th1-type cytokines (IL-2 and INF-γ) and Th2-type cytokines (TNF-α and IL-6) were observed. Intratracheal exposure to nano-TiO₂ may be one of triggers to be responsible for the systemic immune response. Further study is needed to confirm long-lasting lymphocyte responses and the potential mechanisms.

摘要

纳米二氧化钛(nano-TiO₂)的潜在免疫效应引起了人们的关注。我们之前的研究证实,纳米 TiO₂ 在气管内滴注给药后会引起肺部组织的局部免疫反应。在这项研究中,我们旨在评估纳米 TiO₂ 的系统免疫效应。将 Sprague Dawley 大鼠经气管内滴注给予纳米 TiO₂ 剂量为 0.5、4 和 32mg/kg 体重,微 TiO₂ 剂量为 32mg/kg 体重和 0.9%NaCl,分别进行两次每周,连续四周。暴露后的动物免疫器官的组织病理学显示脾脏有轻微充血,颈部和腋窝淋巴结普遍有棕褐色颗粒沉积。此外,免疫功能反应表现为有丝分裂原刺激后 T 细胞和 B 细胞增殖增加,脾 NK 细胞杀伤活性增强,同时血液中 B 细胞数量增加。Th1 型细胞因子(IL-2 和 INF-γ)和 Th2 型细胞因子(TNF-α 和 IL-6)没有明显变化。气管内暴露于纳米 TiO₂可能是导致全身免疫反应的原因之一。需要进一步研究以确认长期的淋巴细胞反应和潜在的机制。

https://cdn.ncbi.nlm.nih.gov/pmc/blobs/c33f/4013672/8675e1170dbc/ijms-15-06961f1.jpg

文献AI研究员

20分钟写一篇综述,助力文献阅读效率提升50倍。

立即体验

用中文搜PubMed

大模型驱动的PubMed中文搜索引擎

马上搜索

文档翻译

学术文献翻译模型,支持多种主流文档格式。

立即体验