Suppr超能文献

表没食子儿茶素-3-没食子酸酯通过恢复海马自噬通量减轻慢性不可预测轻度应激处理大鼠的学习和记忆损伤。

Epigallocatechin-3-gallate attenuates impairment of learning and memory in chronic unpredictable mild stress-treated rats by restoring hippocampal autophagic flux.

作者信息

Gu Hong-Feng, Nie Ya-Xiong, Tong Qiao-Zhen, Tang Ya-Ling, Zeng Yang, Jing Kai-Quan, Zheng Xi-Long, Liao Duan-Fang

机构信息

Department of Physiology & Institute of Neuroscience, University of South China, Hengyang, People's Republic of China; Division of Stem Cell Regulation and Application, State Key Laboratory of Chinese Medicine Powder and Medicine Innovation in Hunan, Hunan University of Chinese Medicine, Changsha, People's Republic of China.

Department of Neurology of the First Affiliated Hospital, University of South China, Hengyang, People's Republic of China.

出版信息

PLoS One. 2014 Nov 13;9(11):e112683. doi: 10.1371/journal.pone.0112683. eCollection 2014.

Abstract

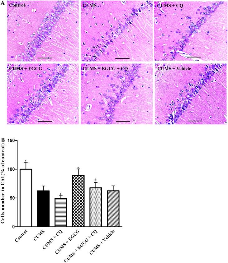
Epigallocatechin gallate (EGCG) is a major polyphenol in green tea with beneficial effects on the impairment in learning and memory. Autophagy is a cellular process that protects neurons from stressful conditions. The present study was designed to investigate whether EGCG can rescue chronic unpredictable mild stress (CUMS)-induced cognitive impairment in rats and whether its protective effect involves improvement of autophagic flux. As expected, our results showed that CUMS significantly impaired memory performance and inhibited autophagic flux as indicated by elevated LC3-II and p62 protein levels. At the same time, we observed an increased neuronal loss and activated mammalian target of rapamycin (mTOR)/p70 ribosomal protein S6 kinase (p70S6k) signaling in the CA1 regions. Interestingly, chronic treatment with EGCG (25 mg/kg, i.p.) significantly improved those behavioral alterations, attenuated histopathological abnormalities in hippocampal CA1 regions, reduced amyloid beta1-42 (Aβ1-42) levels, and restored autophagic flux. However, blocking autophagic flux with chloroquine, an inhibitor of autophagic flux, reversed these effects of EGCG. Taken together, these findings suggest that the impaired autophagy in CA1 regions of CUMS rats may contribute to learning and memory impairment. Therefore, we conclude that EGCG attenuation of CUMS-induced learning and memory impairment may be through rescuing autophagic flux.

摘要

表没食子儿茶素没食子酸酯(EGCG)是绿茶中的一种主要多酚,对学习和记忆损伤具有有益作用。自噬是一种保护神经元免受应激条件影响的细胞过程。本研究旨在探讨EGCG是否能挽救慢性不可预测轻度应激(CUMS)诱导的大鼠认知损伤,以及其保护作用是否涉及自噬流的改善。正如预期的那样,我们的结果表明,CUMS显著损害记忆表现并抑制自噬流,表现为LC3-II和p62蛋白水平升高。同时,我们观察到CA1区域神经元丢失增加以及雷帕霉素哺乳动物靶标(mTOR)/p70核糖体蛋白S6激酶(p70S6k)信号激活。有趣的是,EGCG(25mg/kg,腹腔注射)慢性治疗显著改善了这些行为改变,减轻了海马CA1区域的组织病理学异常,降低了β淀粉样蛋白1-42(Aβ1-42)水平,并恢复了自噬流。然而,用自噬流抑制剂氯喹阻断自噬流可逆转EGCG的这些作用。综上所述,这些发现表明CUMS大鼠CA1区域自噬受损可能导致学习和记忆损伤。因此,我们得出结论,EGCG减轻CUMS诱导的学习和记忆损伤可能是通过挽救自噬流实现的。

https://cdn.ncbi.nlm.nih.gov/pmc/blobs/3a3e/4231069/54810650de1e/pone.0112683.g001.jpg

文献AI研究员

20分钟写一篇综述,助力文献阅读效率提升50倍。

立即体验

用中文搜PubMed

大模型驱动的PubMed中文搜索引擎

马上搜索

文档翻译

学术文献翻译模型,支持多种主流文档格式。

立即体验