Suppr超能文献

一名HIV阳性患者严重百草枯中毒的病例报告:意外结局与启示

A case report of severe paraquat poisoning in an HIV-positive patient: an unexpected outcome and inspiration.

作者信息

Shang An-Dong, Lu Yuan-Qiang

机构信息

From the Department of Emergency Medicine, First Affiliated Hospital, School of Medicine, Zhejiang University, Hangzhou, People's Republic of China.

出版信息

Medicine (Baltimore). 2015 Feb;94(8):e587. doi: 10.1097/MD.0000000000000587.

Abstract

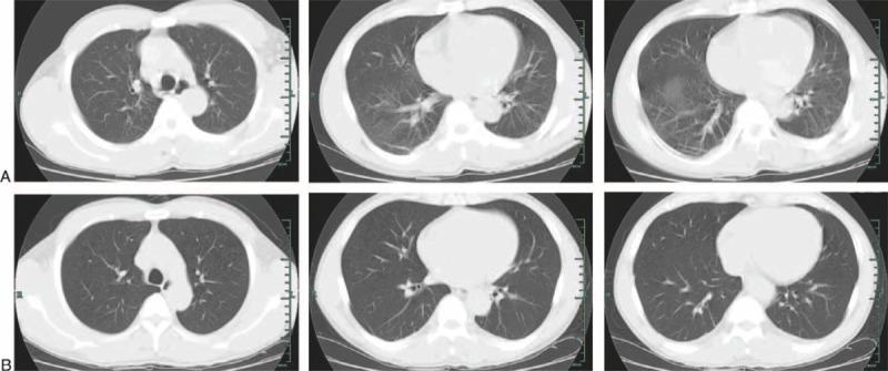
We described and analyzed the treatment process of an HIV-positive patient with severe paraquat (PQ) poisoning. A 34-year-old man ingested about 50 mL of a 20% solution of PQ in a suicide attempt. He was treated with gastric lavage, oral administration of adsorbent, and symptomatic treatments at the local hospital, and was transferred to our emergency department. Ten hours after the exposure, the concentration of plasma PQ was 2.17 mg/L and was substantially above the survival limits of the severity index for PQ poisoning (SIPP) curve (0.30 mg/L). The equation produced by Jones et al (Jones AL, Elton R, Flanagan R. Multiple logistic regression analysis of plasma paraquat concentrations as a predictor of outcome in 375 cases of paraquat poisoning. QJM. 1999:92;573-578) predicted a 20.5% probability of survival at admission. Unfortunately, the patient was diagnosed as HIV infected, and CD4 lymphocyte count also confirmed that the patient was in a state of mild suppression of immunological function. Immediately, the patient received normative immunosuppressive therapy and hemoperfusion (HP). On the 15th day after poisoning, the patient recovered well and was discharged. All along, the evolution of the patient's status was in accordance with the characteristics of PQ poisoning, but the extent and duration of damage was mismatching and drastically alleviative by the previous biological indices. The particular case of treatment may be indirectly supporting the effectiveness of immunosuppressive therapy in treating patients with PQ poisoning.

摘要

我们描述并分析了一名HIV阳性患者严重百草枯(PQ)中毒的治疗过程。一名34岁男性为自杀吞服了约50毫升20%的PQ溶液。他在当地医院接受了洗胃、口服吸附剂及对症治疗,随后被转至我院急诊科。接触PQ 10小时后,血浆PQ浓度为2.17毫克/升,显著高于PQ中毒严重程度指数(SIPP)曲线的生存极限(0.30毫克/升)。Jones等人(Jones AL, Elton R, Flanagan R. Multiple logistic regression analysis of plasma paraquat concentrations as a predictor of outcome in 375 cases of paraquat poisoning. QJM. 1999:92;573 - 578)得出的方程预测入院时生存概率为20.5%。不幸的是,该患者被诊断为HIV感染,CD4淋巴细胞计数也证实患者处于免疫功能轻度抑制状态。随即,患者接受了规范的免疫抑制治疗及血液灌流(HP)。中毒后第15天,患者恢复良好并出院。一直以来,患者病情的演变符合PQ中毒的特征,但损伤的程度和持续时间并不匹配,且较之前的生物学指标大幅减轻。该特殊治疗案例可能间接支持了免疫抑制疗法在治疗PQ中毒患者中的有效性。

https://cdn.ncbi.nlm.nih.gov/pmc/blobs/5417/4554141/e8f743de0f57/medi-94-e587-g001.jpg

文献AI研究员

20分钟写一篇综述,助力文献阅读效率提升50倍。

立即体验

用中文搜PubMed

大模型驱动的PubMed中文搜索引擎

马上搜索

文档翻译

学术文献翻译模型,支持多种主流文档格式。

立即体验