Suppr超能文献

骨桥蛋白在哮喘和慢性阻塞性肺疾病患者气道中的表达。

Vitronectin expression in the airways of subjects with asthma and chronic obstructive pulmonary disease.

作者信息

Salazar-Peláez Lina M, Abraham Thomas, Herrera Ana M, Correa Mario A, Ortega Jorge E, Paré Peter D, Seow Chun Y

机构信息

School of Medicine, Universidad CES, Medellín, Colombia.

Penn State Microscopy Imaging Core, Penn State Hershey College of Medicine, Hershey, Pennsylvania, United States of America.

出版信息

PLoS One. 2015 Mar 13;10(3):e0119717. doi: 10.1371/journal.pone.0119717. eCollection 2015.

Abstract

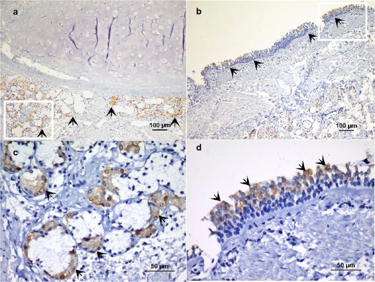
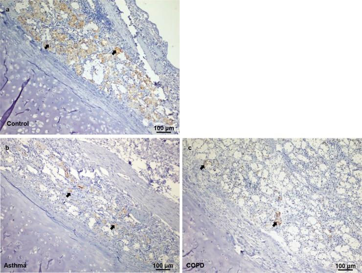
Vitronectin, a multifunctional glycoprotein, is involved in coagulation, inhibition of the formation of the membrane attack complex (MAC), cell adhesion and migration, wound healing, and tissue remodeling. The primary cellular source of vitronectin is hepatocytes; it is not known whether resident cells of airways produce vitronectin, even though the glycoprotein has been found in exhaled breath condensate and bronchoalveolar lavage from healthy subjects and patients with interstitial lung disease. It is also not known whether vitronectin expression is altered in subjects with asthma and COPD. In this study, bronchial tissue from 7 asthmatic, 10 COPD and 14 control subjects was obtained at autopsy and analyzed by immunohistochemistry to determine the percent area of submucosal glands occupied by vitronectin. In a separate set of experiments, quantitative colocalization analysis was performed on tracheobronchial tissue sections obtained from donor lungs (6 asthmatics, 4 COPD and 7 controls). Vitronectin RNA and protein expressions in bronchial surface epithelium were examined in 12 subjects who undertook diagnostic bronchoscopy. Vitronectin was found in the tracheobronchial epithelium from asthmatic, COPD, and control subjects, although its expression was significantly lower in the asthmatic group. Colocalization analysis of 3D confocal images indicates that vitronectin is expressed in the glandular serous epithelial cells and in respiratory surface epithelial cells other than goblet cells. Expression of the 65-kDa vitronectin isoform was lower in bronchial surface epithelium from the diseased subjects. The cause for the decreased vitronectin expression in asthma is not clear, however, the reduced concentration of vitronectin in the epithelial/submucosal layer of airways may be linked to airway remodeling.

摘要

玻连蛋白是一种多功能糖蛋白,参与凝血、抑制膜攻击复合物(MAC)形成、细胞黏附与迁移、伤口愈合及组织重塑。玻连蛋白的主要细胞来源是肝细胞;尽管在健康受试者和间质性肺疾病患者的呼出气冷凝物及支气管肺泡灌洗液中已发现这种糖蛋白,但尚不清楚气道的驻留细胞是否产生玻连蛋白。同样未知的是,哮喘和慢性阻塞性肺疾病(COPD)患者的玻连蛋白表达是否发生改变。在本研究中,从7例哮喘患者、10例COPD患者及14例对照受试者的尸检中获取支气管组织,通过免疫组织化学分析以确定玻连蛋白占据的黏膜下腺面积百分比。在另一组实验中,对取自供体肺的气管支气管组织切片(6例哮喘患者、4例COPD患者及7例对照)进行定量共定位分析。对12例接受诊断性支气管镜检查的受试者检测支气管表面上皮中的玻连蛋白RNA和蛋白表达。在哮喘、COPD及对照受试者的气管支气管上皮中均发现了玻连蛋白,尽管其在哮喘组中的表达显著较低。三维共聚焦图像的共定位分析表明,玻连蛋白在腺泡浆液上皮细胞及除杯状细胞外的呼吸道表面上皮细胞中表达。患病受试者支气管表面上皮中65 kDa玻连蛋白异构体的表达较低。然而,哮喘中玻连蛋白表达降低的原因尚不清楚,气道上皮/黏膜下层中玻连蛋白浓度降低可能与气道重塑有关。

https://cdn.ncbi.nlm.nih.gov/pmc/blobs/1652/4358944/b48f49f5280b/pone.0119717.g001.jpg

文献AI研究员

20分钟写一篇综述,助力文献阅读效率提升50倍。

立即体验

用中文搜PubMed

大模型驱动的PubMed中文搜索引擎

马上搜索

文档翻译

学术文献翻译模型,支持多种主流文档格式。

立即体验