Suppr超能文献

丁硫氨酸亚砜胺诱导 H22 肝癌和急性肝损伤中线粒体介导的细胞凋亡。

Bufothionine induced the mitochondria-mediated apoptosis in H22 liver tumor and acute liver injury.

机构信息

Department of Pharmacy, Long hua Hospital Affiliated to Shanghai University of Traditional Chinese Medicine, South Wan Ping Road No.725, Shanghai, 200032 China.

Department of Surgery, Shanghai Pu Dong Hospital Affiliated to Fu Dan University, Shanghai, 201200 China.

出版信息

Chin Med. 2015 Mar 14;10:5. doi: 10.1186/s13020-015-0033-1. eCollection 2015.

Abstract

BACKGROUND

Bufothionine is an alkaloid in Cinobufacini (Huachansu). This study aims to investigate the effects of bufothionine on liver tumors and acute liver injury.

METHODS

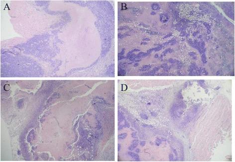
In the hepatoprotective experiment, fifty rats were randomly divided into five groups (n = 10): normal saline group, model group, compound glycyrrhizin injection (9.14 mL/kg); cinobufacini injection (3.42 mL/kg) (InjA) and bufothionine (9.77 mL/kg) (BufoA) group. Liver weight indices were recorded to judge the degree of liver swelling, hematoxylin and eosin (H&E) staining of liver tissues was carried out to observe liver histological morphology injury and biochemical indicators including aspartate aminotransferase (AST); alanine aminotransferase (ALT); alkaline phosphatase (ALP); and total bilirubin (TBIL) were determined by modular auto-analyzer. In anti-tumor experiment, H22-tumor-bearing mice were randomly divided into five groups (n = 10): normal saline group, model group, cinobufacini injection (InjB) (5.14 mL/kg), bufothionine (8.02 mL/kg) (BufoB) and 5-fluorouracil (5-Fu) (3.42 mL/kg). Tumors were picked out and determined with vernier calipers. Histological morphology of tumors was observed by H&E staining. In SMMC-7721 cells, expressions of proteins related to mitochondria-mediated apoptosis pathway including Bcl-2, Bax, caspase-3, caspase-9, cyto-c, Bid, and p53 were analyzed by western blotting at low, medium, high concentrations of bufothione (3.62 μg/mL, 18.12 μg/mL,90.62 μg/mL).

RESULTS

Butothionine relieved CCl4-induced liver morphology, decreased the level of ALT (P =2.46 × 10(-2)) and expressed tendency to decrease other biochemical markers including AST, ALP and TBIL. Butothionine could also promote necrosis of tumor tissue in H22-tumor-bearing mice and restrained tumor growth with 65.16% inhibition rate. Its mechanism might relate to up-regulation of p53 (at low, mediate and high concentration, corresponding P values were 0.142, 0.0257, 0.0162), caspase-3 (P = 0.246, 0.0267 and 0.0236), cyto-c (P = 0.276, 0.0343 and 0.0429), Bid (P = 0.0125, 0.0395 and 0.0132) and Bax (P = 0.563, 0.0492 and 0.0357) in a dose-dependent manner, down-regulation of Bcl-2 expression (P = 0.0232, 0.0178 and 0.0464), but had no significant effects on caspase-9 (P = 0.253, 0.147 and 0.287).

CONCLUSION

Bufothionine induced the proteins for the mitochondria-mediated apoptosis that inhibits liver tumors and protects the liver against acute injury.

摘要

背景

华蟾素中的主要成分之一是蟾毒它灵。本研究旨在探讨蟾毒它灵对肝癌及急性肝损伤的作用。

方法

在护肝实验中,将 50 只大鼠随机分为 5 组(每组 10 只):生理盐水组、模型组、复方甘草酸苷注射液(9.14mL/kg);华蟾素注射液(3.42mL/kg)(InjA)和蟾毒它灵(9.77mL/kg)(BufoA)组。记录肝重指数以判断肝脏肿胀程度,采用苏木精-伊红(H&E)染色观察肝组织形态学损伤,采用模块化自动分析仪测定天冬氨酸转氨酶(AST)、丙氨酸转氨酶(ALT)、碱性磷酸酶(ALP)和总胆红素(TBIL)等生化指标。在抗肿瘤实验中,将 H22 荷瘤小鼠随机分为 5 组(每组 10 只):生理盐水组、模型组、华蟾素注射液(InjB)(5.14mL/kg)、蟾毒它灵(8.02mL/kg)(BufoB)和 5-氟尿嘧啶(5-Fu)(3.42mL/kg)。取出肿瘤,用游标卡尺测量。采用 H&E 染色观察肿瘤的组织形态。在 SMMC-7721 细胞中,采用 Western blot 法检测低、中、高浓度蟾毒它灵(3.62μg/mL、18.12μg/mL、90.62μg/mL)相关线粒体介导的细胞凋亡通路蛋白 Bcl-2、Bax、caspase-3、caspase-9、细胞色素 c(cyto-c)、Bid 和 p53 的表达。

结果

蟾毒它灵减轻了 CCl4 诱导的肝形态改变,降低了 ALT 水平(P=2.46×10(-2)),并表现出降低其他生化标志物(AST、ALP 和 TBIL)的趋势。蟾毒它灵还能促进 H22 荷瘤小鼠肿瘤组织坏死,抑制肿瘤生长,抑制率为 65.16%。其机制可能与上调 p53(在低、中、高浓度时,相应的 P 值分别为 0.142、0.0257、0.0162)、caspase-3(P=0.246、0.0267 和 0.0236)、细胞色素 c(P=0.276、0.0343 和 0.0429)、Bid(P=0.0125、0.0395 和 0.0132)和 Bax(P=0.563、0.0492 和 0.0357)呈剂量依赖性,下调 Bcl-2 表达(P=0.0232、0.0178 和 0.0464),但对 caspase-9 无显著影响(P=0.253、0.147 和 0.287)。

结论

蟾毒它灵诱导了线粒体介导的细胞凋亡蛋白,抑制肝癌并保护肝脏免受急性损伤。

https://cdn.ncbi.nlm.nih.gov/pmc/blobs/598e/4371615/181c1f3768f6/13020_2015_33_Fig1_HTML.jpg

文献AI研究员

20分钟写一篇综述,助力文献阅读效率提升50倍。

立即体验

用中文搜PubMed

大模型驱动的PubMed中文搜索引擎

马上搜索

文档翻译

学术文献翻译模型,支持多种主流文档格式。

立即体验