Suppr超能文献

同种异体腺病毒肾炎

Allograft adenovirus nephritis.

作者信息

Rady Kirsty, Walters Giles, Brown Michael, Talaulikar Girish

机构信息

Department of Nephrology , The Canberra Hospital , Canberra, ACT , Australia.

Department of Pathology , The Canberra Hospital , Canberra, ACT , Australia.

出版信息

Clin Kidney J. 2014 Jun;7(3):289-92. doi: 10.1093/ckj/sfu020. Epub 2014 Mar 23.

Abstract

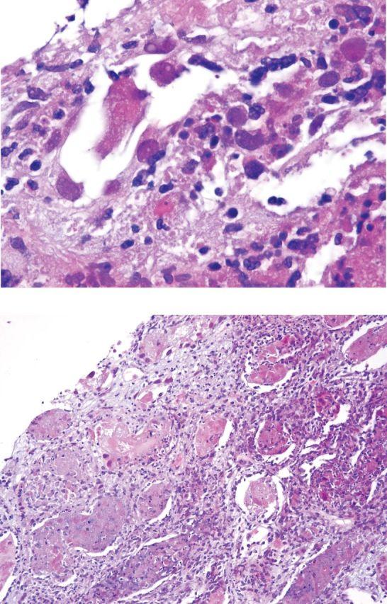
We present an uncommon case of allograft adenovirus tubulointerstitial nephritis in a 63-year-old male 6 weeks following cadaveric renal transplantation for end-stage renal failure secondary to hypertensive nephrosclerosis. The patient presented with acute onset of fevers, dysuria, haematuria and diarrhoea with acute graft dysfunction. A renal biopsy demonstrated necrotizing tubulointerstitial nephritis with viral cytopathic changes and no evidence of rejection. Adenovirus was identified as the pathogen. Treatment involved the reduction in the patient's usual immunosuppression, intravenous immunoglobulin, piperacillin-tazobactam and ganciclovir. We present the clinical and pathological findings of necrotizing adenoviral nephropathy, highlighting the importance of considering this diagnosis in renal transplant recipients presenting with interstitial nephritis in the setting of a systemic illness.

摘要

我们报告了一例罕见的同种异体移植腺病毒肾小管间质性肾炎病例,患者为一名63岁男性,因高血压性肾硬化继发终末期肾衰竭接受尸体肾移植6周后发病。患者出现发热、排尿困难、血尿和腹泻急性发作,并伴有急性移植肾功能障碍。肾活检显示为坏死性肾小管间质性肾炎伴病毒细胞病变改变,无排斥反应证据。腺病毒被确定为病原体。治疗措施包括减少患者常规免疫抑制剂量、静脉注射免疫球蛋白、哌拉西林 - 他唑巴坦和更昔洛韦。我们展示了坏死性腺病毒肾病的临床和病理表现,强调了在患有全身性疾病且出现间质性肾炎的肾移植受者中考虑这一诊断的重要性。

https://cdn.ncbi.nlm.nih.gov/pmc/blobs/e7ef/4377743/6c7b752a875e/sfu02001.jpg

文献AI研究员

20分钟写一篇综述,助力文献阅读效率提升50倍。

立即体验

用中文搜PubMed

大模型驱动的PubMed中文搜索引擎

马上搜索

文档翻译

学术文献翻译模型,支持多种主流文档格式。

立即体验