Suppr超能文献

兔膝关节大骨软骨缺损骨髓来源细胞体外形成软骨颗粒异体移植后软骨修复的长期结果

Long-Term Results of Cartilage Repair after Allogeneic Transplantation of Cartilaginous Aggregates Formed from Bone Marrow-Derived Cells for Large Osteochondral Defects in Rabbit Knees.

机构信息

Department of Rehabilitation, University of Tsukuba Hospital, Tsukuba, Ibaraki, Japan ; Department of Orthopaedics Surgery, Faculty of Medicine, University of Tsukuba, Tsukuba, Ibaraki, Japan.

Department of Orthopaedics Surgery, Faculty of Medicine, University of Tsukuba, Tsukuba, Ibaraki, Japan.

出版信息

Cartilage. 2013 Oct;4(4):339-44. doi: 10.1177/1947603513494003.

Abstract

OBJECTIVE

The purpose of this study was to evaluate the long-term results of cartilage repair after allogeneic transplantation of cartilaginous aggregates formed from bone marrow-derived cells.

METHODS

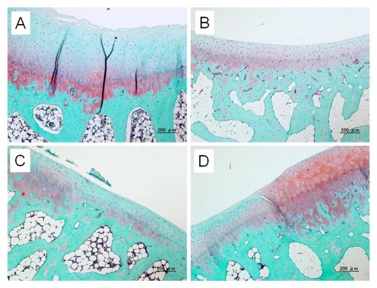
Bone marrow cells were harvested from 12-day-old rabbits. The cells were subjected to a monolayer culture, and the spindle-shaped cells attached to the flask surface were defined as bone marrow-derived mesenchymal cells. After the monolayer culture, a 3-dimensional cartilaginous aggregate was formed using a bioreactor with chondrogenesis. We created osteochondral defects, measuring 5 mm in diameter and 4 mm in depth, at the femoral trochlea of 10-week-old rabbits. Two groups were established, the transplanted group in which the cartilaginous aggregate was transplanted into the defect, and the control group in which the defect was left untreated. Twenty-six and 52 weeks after surgery, the rabbits were sacrificed and their tissue repair status was evaluated macroscopically (International Cartilage Repair Society [ICRS] score) and histologically (O'Driscoll score).

RESULTS

The ICRS scores were as follows: at week 26, 7.2 ± 0.5 and 7.6 ± 0.8; at week 52, 7.6 ± 1.1 and 9.7 ± 0.7, for the transplanted and control groups, respectively. O'Driscoll scores were as follows: at week 26, 12.6 ± 1.9 and 10.1 ± 1.9; at week 52, 9.6 ± 3.0 and 14.0 ± 1.4, each for transplanted and control groups, respectively. No significant differences were observed between the groups.

CONCLUSIONS

This study demonstrates that allogeneic transplantation of cartilaginous aggregates formed from bone marrow-derived cells produces comparable long-term results based on macroscopic and histological outcome measures when compared with osteochondral defects that are left untreated.

摘要

目的

本研究旨在评估骨髓来源细胞形成的软骨细胞聚集体同种异体移植后的长期修复效果。

方法

从 12 日龄兔骨髓中采集细胞。将细胞进行单层培养,贴附于培养瓶表面的梭形细胞被定义为骨髓间充质细胞。单层培养后,使用具有成软骨作用的生物反应器形成 3 维软骨聚集物。我们在 10 周龄兔的股骨滑车处制造直径 5mm、深度 4mm 的骨软骨缺损。建立两组,移植组将软骨聚集物移植到缺损处,对照组不对缺损进行处理。手术后 26 周和 52 周时,处死兔子并进行大体评估(国际软骨修复学会 [ICRS] 评分)和组织学评估(O'Driscoll 评分)。

结果

ICRS 评分如下:移植组分别为 26 周时 7.2±0.5 和 52 周时 7.6±0.8;对照组分别为 26 周时 7.6±1.1 和 52 周时 9.7±0.7。O'Driscoll 评分如下:移植组分别为 26 周时 12.6±1.9 和 52 周时 9.6±3.0;对照组分别为 26 周时 10.1±1.9 和 52 周时 14.0±1.4。两组间无显著差异。

结论

本研究表明,与未处理的骨软骨缺损相比,骨髓来源细胞形成的软骨细胞聚集体同种异体移植在宏观和组织学结果测量方面具有相当的长期效果。

https://cdn.ncbi.nlm.nih.gov/pmc/blobs/31c8/4297161/870c04af9cd5/10.1177_1947603513494003-fig1.jpg

文献AI研究员

20分钟写一篇综述,助力文献阅读效率提升50倍。

立即体验

用中文搜PubMed

大模型驱动的PubMed中文搜索引擎

马上搜索

文档翻译

学术文献翻译模型,支持多种主流文档格式。

立即体验