Suppr超能文献

鹰不泊(芸香科)叶提取物对大鼠伤口愈合及抗氧化活性的影响

Effect of Clausena excavata Burm. f. (Rutaceae) leaf extract on wound healing and antioxidant activity in rats.

作者信息

Albaayit Shaymaa Fadhel Abbas, Abba Yusuf, Rasedee Abdullah, Abdullah Noorlidah

机构信息

Institute of Biological Sciences, Faculty of Science, University of Malaya, Kuala Lumpur, Malaysia ; Department of Biology, College of Science, University of Baghdad, Baghdad, Iraq.

Department of Pathology and Microbiology, Faculty of Veterinary Medicine, Universiti Putra Malaysia, Serdang, Selangor, Malaysia.

出版信息

Drug Des Devel Ther. 2015 Jul 13;9:3507-18. doi: 10.2147/DDDT.S84770. eCollection 2015.

Abstract

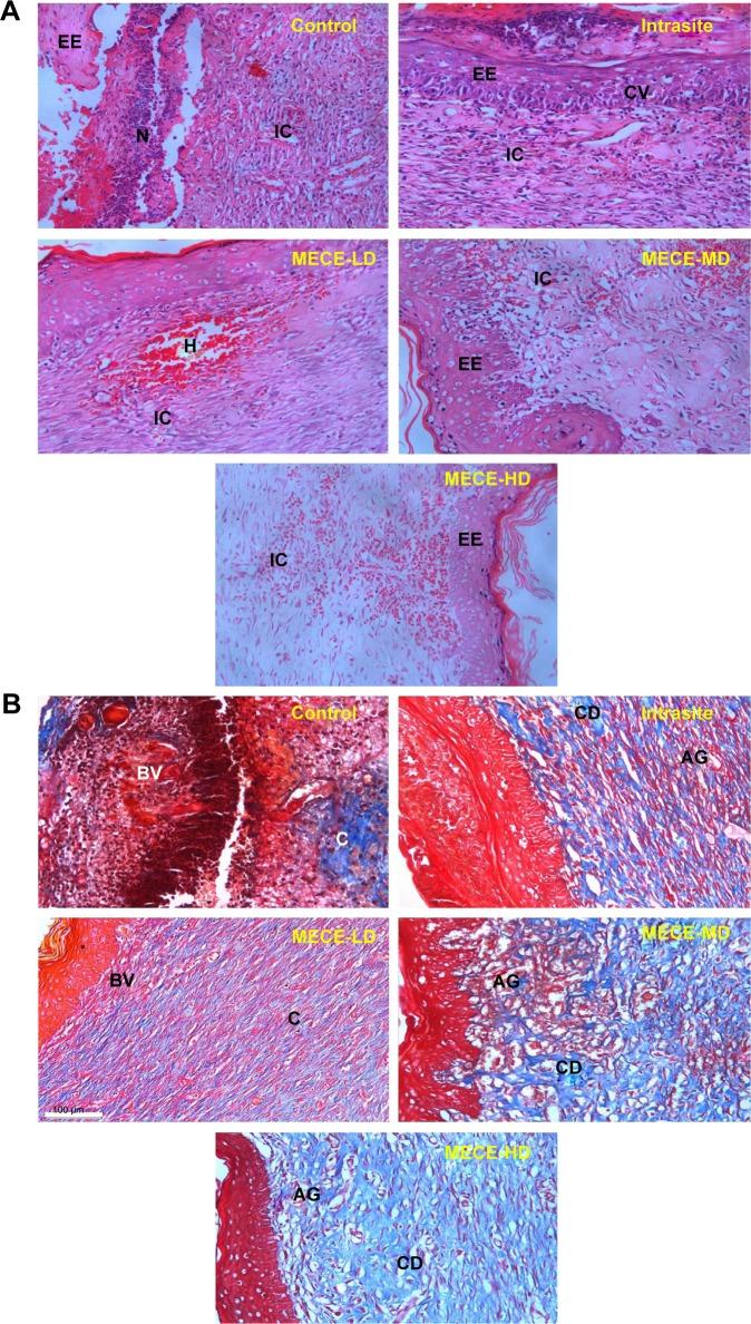
Clausena excavata is a well-known plant used in folkloric medicine for the treatment of different ailments. This study aimed to determine the in vitro cytoxicity of its leaf solvent extracts as well as the in vivo wound healing and antioxidant activities of the methanolic extracts of C. excavata (MECE). HaCaT (keratocyte) and Vero cell lines were used for evaluation of the in vitro cytotoxic effects, while the in vivo wound healing and antioxidant activities were determined in skin wounds inflicted on rats. Twenty adult male Sprague-Dawley rats were divided into five groups of four animals each. Approximately 3.14 cm(2) excisional wound was inflicted on the nape of each rat following anesthesia. The treatment groups received topical application of MECE at 50 mg/mL (MECE-LD [low dose]), 100 mg/mL (MECE-MD [medium dose]), and 200 mg/mL (MECE-HD [high dose]), while the negative control group was treated with gum acacia in normal saline and the positive control group with intrasite gel. Wound contraction was evaluated on days 5, 10, and 15 after wound infliction, and tissue from wound area was collected at day 15 post-wound infliction for antioxidant enzyme evaluation and histopathological analyses. Generally, Vero cells were more resistant to the cytotoxic effects of the solvent extracts as compared with HaCaT cells. Chloroform (CH) and ethyl acetate (EA) extracts of C. excavata were toxic to HaCaT cells at 200 and 400 µg/mL, but the same concentrations showed higher (P<0.05) viability in Vero cells. There was significantly (P<0.01) greater wound contraction at days 10 and 15 post-wound infliction in all the treatment groups than in the control groups. Histopathologically, the MECE-HD-treated wound showed significantly (P<0.05) lesser inflammatory cell proliferation, degeneration, and distribution of granulation tissue than other groups. Similarly, the degree of collagen maturation, angiogenesis, and collagen distribution were significantly (P<0.05) lower in MECE-HD than in other groups. The MECE-HD, MECE-MD, and intrasite treatment groups showed a significantly (P<0.05) higher number of VEGF-positive and TGF-β1-positive cells in the skin wound than the control groups. The activities of superoxide dismutase and catalase were significantly (P<0.01) higher in the MECE-HD and intrasite treatment groups than in the other groups. Lipid peroxidase activity of the treated groups was significantly (P<0.01) lower than that in the control group. The study showed that MECE is a potent wound healing agent through anti-inflammatory and antioxidant effects that enhanced the rate of wound contraction, re-epithelialization, and collagen deposition. The effect of MECE is suggested to be due to its high polyphenolic compound content.

摘要

鹰不泊是一种在民间医学中用于治疗各种疾病的知名植物。本研究旨在确定其叶溶剂提取物的体外细胞毒性,以及鹰不泊甲醇提取物(MECE)的体内伤口愈合和抗氧化活性。使用HaCaT(角质形成细胞)和Vero细胞系评估体外细胞毒性,而在大鼠身上造成的皮肤伤口中测定体内伤口愈合和抗氧化活性。将20只成年雄性Sprague-Dawley大鼠分为五组,每组四只动物。麻醉后,在每只大鼠的颈部造成约3.14平方厘米的切除伤口。治疗组分别局部应用50毫克/毫升(MECE-LD[低剂量])、100毫克/毫升(MECE-MD[中剂量])和200毫克/毫升(MECE-HD[高剂量])的MECE,阴性对照组用生理盐水阿拉伯胶治疗,阳性对照组用安尔碘凝胶治疗。在伤口形成后第5、10和15天评估伤口收缩情况,并在伤口形成后第15天收集伤口区域的组织进行抗氧化酶评估和组织病理学分析。一般来说,与HaCaT细胞相比,Vero细胞对溶剂提取物的细胞毒性更具抗性。鹰不泊的氯仿(CH)和乙酸乙酯(EA)提取物在200和400微克/毫升时对HaCaT细胞有毒,但相同浓度在Vero细胞中显示出更高(P<0.05)的活力。在伤口形成后第10天和15天,所有治疗组的伤口收缩明显(P<0.01)大于对照组。组织病理学上,MECE-HD治疗的伤口与其他组相比,炎症细胞增殖、变性和肉芽组织分布明显(P<0.05)较少。同样,MECE-HD组的胶原成熟度、血管生成和胶原分布程度明显(P<0.05)低于其他组。MECE-HD、MECE-MD和安尔碘治疗组的皮肤伤口中VEGF阳性和TGF-β1阳性细胞数量明显(P<0.05)高于对照组。MECE-HD组和安尔碘治疗组的超氧化物歧化酶和过氧化氢酶活性明显(P<0.01)高于其他组。治疗组的脂质过氧化酶活性明显(P<0.01)低于对照组。该研究表明,MECE是一种有效的伤口愈合剂,通过抗炎和抗氧化作用提高了伤口收缩、再上皮化和胶原沉积的速率。MECE的作用被认为是由于其高含量的多酚化合物。

https://cdn.ncbi.nlm.nih.gov/pmc/blobs/be0c/4507489/32e3054739a0/dddt-9-3507Fig1.jpg

文献AI研究员

20分钟写一篇综述,助力文献阅读效率提升50倍。

立即体验

用中文搜PubMed

大模型驱动的PubMed中文搜索引擎

马上搜索

文档翻译

学术文献翻译模型,支持多种主流文档格式。

立即体验