Suppr超能文献

通过免疫印迹优化泛素链和泛素化蛋白的保存、捕获及鉴定方法。

Optimising methods for the preservation, capture and identification of ubiquitin chains and ubiquitylated proteins by immunoblotting.

作者信息

Emmerich Christoph H, Cohen Philip

机构信息

Medical Research Council Protein Phosphorylation and Ubiquitylation Unit, Sir James Black Centre, University of Dundee, Dundee DD1 5EH, Scotland, United Kingdom.

Medical Research Council Protein Phosphorylation and Ubiquitylation Unit, Sir James Black Centre, University of Dundee, Dundee DD1 5EH, Scotland, United Kingdom.

出版信息

Biochem Biophys Res Commun. 2015 Oct 9;466(1):1-14. doi: 10.1016/j.bbrc.2015.08.109. Epub 2015 Aug 29.

Abstract

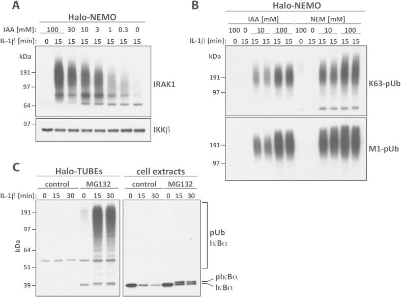
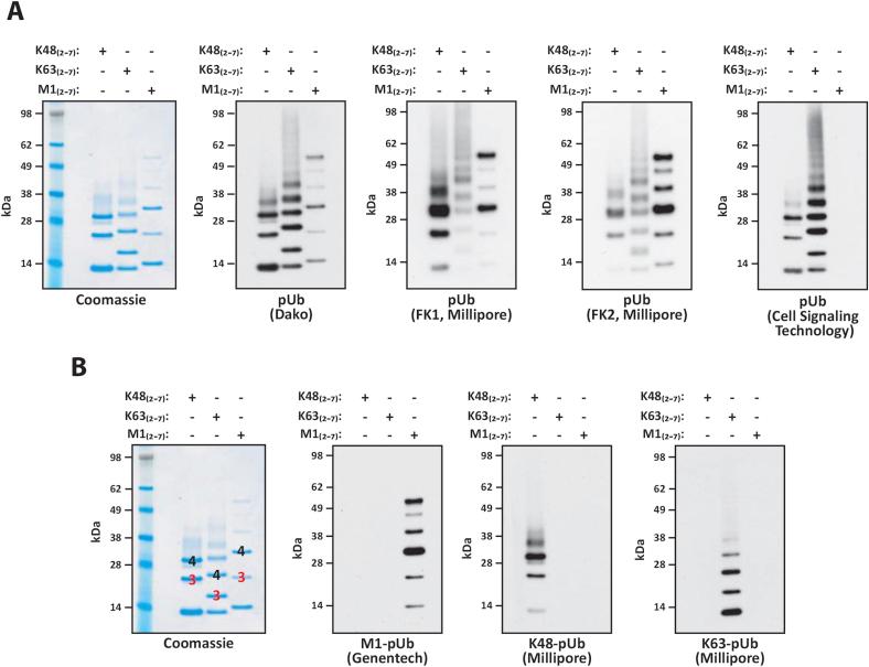
Immunoblotting is a powerful technique for the semi-quantitative analysis of ubiquitylation events, and remains the most commonly used method to study this process due to its high specificity, speed, sensitivity and relatively low cost. However, the ubiquitylation of proteins is complex and, when the analysis is performed in an inappropriate manner, it can lead to the misinterpretation of results and to erroneous conclusions being reached. Here we discuss the advantages and disadvantages of the methods currently in use to analyse ubiquitin chains and protein ubiquitylation, and describe the procedures that we have found to be most useful for optimising the quality and reliability of the data that we have generated. We also highlight commonly encountered problems and the pitfalls inherent in some of these methods. Finally, we introduce a set of recommendations to help researchers obtain high quality data, especially those new to the field of ubiquitin signalling. The specific topics addressed in this article include sample preparation, the separation, detection and identification of particular ubiquitin chains by immunoblotting, and the analysis of ubiquitin chain topology through the combined use of ubiquitin-binding proteins and ubiquitin linkage-specific deubiquitylases.

摘要

免疫印迹是用于泛素化事件半定量分析的强大技术,由于其高特异性、速度、灵敏度及相对低成本,仍然是研究此过程最常用的方法。然而,蛋白质的泛素化很复杂,若以不恰当的方式进行分析,可能导致结果误判并得出错误结论。在此,我们讨论当前用于分析泛素链和蛋白质泛素化的方法的优缺点,并描述我们发现的对优化所生成数据的质量和可靠性最有用的程序。我们还强调了一些这些方法中常见的问题和陷阱。最后,我们提出一组建议以帮助研究人员获得高质量数据,特别是那些泛素信号领域的新手。本文所涉及的具体主题包括样品制备、通过免疫印迹分离、检测和鉴定特定泛素链,以及通过联合使用泛素结合蛋白和泛素连接特异性去泛素化酶分析泛素链拓扑结构。

https://cdn.ncbi.nlm.nih.gov/pmc/blobs/c3b0/4709362/562a3d81561f/gr1.jpg

文献AI研究员

20分钟写一篇综述,助力文献阅读效率提升50倍。

立即体验

用中文搜PubMed

大模型驱动的PubMed中文搜索引擎

马上搜索

文档翻译

学术文献翻译模型,支持多种主流文档格式。

立即体验