Suppr超能文献

上皮-间质转化及相关转化生长因子-β/Smad信号通路在百草枯诱导的肺纤维化中的作用

Involvement of epithelial-to-mesenchymal transition and associated transforming growth factor-β/Smad signaling in paraquat-induced pulmonary fibrosis.

作者信息

Han Ying-Ying, Shen Peng, Chang Wen-Xiu

机构信息

Department of Nephrology, Tianjin First Center Hospital, Tianjin 300192, P.R. China.

Department of Emergency Medicine, Tianjin First Center Hospital, Tianjin 300192, P.R. China.

出版信息

Mol Med Rep. 2015 Dec;12(6):7979-84. doi: 10.3892/mmr.2015.4454. Epub 2015 Oct 19.

Abstract

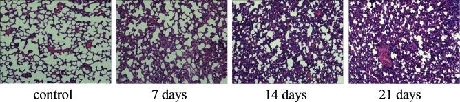
Paraquat (PQ) is a highly toxic herbicide which is able to induce pulmonary fibrosis in humans and animals. The epithelial‑to‑mesenchymal transition (EMT) was demonstrated to be an important factor in pulmonary fibrosis. However, it has remained elusive whether PQ induces pulmonary fibrosis via EMT, which was therefore investigated in the present study. In addition, the underlying mechanisms of PQ‑induced EMT were examined in vitro. Hematoxylin and eosin staining of rat lung tissues demonstrated that PQ induced pulmonary fibrosis in vivo. Western blot analysis then revealed that the expression of epithelial cell marker E‑cadherin was significantly decreased, while the expression of mesenchymal markers α‑smooth‑muscle actin and vimentin was significantly increased in rat lung tissues and A549 cells following PQ treatment. Transforming growth factor (TGF)‑β/Smad signaling was also induced by PQ as evidenced by increased expression of TGF‑β1 and Smad2. However, PQ‑induced EMT in A549 cells was abolished by transfection with TGF‑β1‑specific small hairpin RNA. In conclusion, the present study demonstrated that PQ induced EMT in vivo and in vitro, which may be an important process in the development of PQ‑induced pulmonary fibrosis. In addition, TGF-β/Smad signaling was involved in PQ-induced EMT.

摘要

百草枯(PQ)是一种剧毒除草剂,能够在人和动物中诱发肺纤维化。上皮-间质转化(EMT)被证明是肺纤维化的一个重要因素。然而,PQ是否通过EMT诱导肺纤维化仍不清楚,因此本研究对此进行了调查。此外,还在体外研究了PQ诱导EMT的潜在机制。大鼠肺组织的苏木精-伊红染色表明,PQ在体内诱发了肺纤维化。蛋白质印迹分析随后显示,在PQ处理后的大鼠肺组织和A549细胞中,上皮细胞标志物E-钙黏蛋白的表达显著降低,而间充质标志物α-平滑肌肌动蛋白和波形蛋白的表达显著增加。PQ还诱导了转化生长因子(TGF)-β/Smad信号通路,这可通过TGF-β1和Smad2表达的增加得到证明。然而,用TGF-β1特异性小发夹RNA转染可消除PQ诱导的A549细胞中的EMT。总之,本研究表明,PQ在体内和体外均可诱导EMT,这可能是PQ诱导肺纤维化发展过程中的一个重要过程。此外,TGF-β/Smad信号通路参与了PQ诱导的EMT。

https://cdn.ncbi.nlm.nih.gov/pmc/blobs/f6e6/4758328/4012bf1b854c/MMR-12-06-7979-g00.jpg

文献AI研究员

20分钟写一篇综述,助力文献阅读效率提升50倍。

立即体验

用中文搜PubMed

大模型驱动的PubMed中文搜索引擎

马上搜索

文档翻译

学术文献翻译模型,支持多种主流文档格式。

立即体验