Suppr超能文献

缺氧诱导因子-1α(HIF-1α)和缺氧诱导因子-2α(HIF-2α)的表达与甲状腺乳头状癌的生物学及临床意义相关。

Expression of HIF-1α and HIF-2α correlates to biological and clinical significance in papillary thyroid carcinoma.

作者信息

Liu Yan-Mei, Ying Shen-Peng, Huang Ying-Rui, Pan Yin, Chen Wei-Jun, Ni Ling-Qin, Xu Jin-Ye, Shen Qin-Yan, Liang Yong

机构信息

Department of Radiation Oncology, Taizhou Central Hospital, Taizhou, 318000, Zhejiang, China.

Taizhou University, Taizhou, 318000, Zhejiang, China.

出版信息

World J Surg Oncol. 2016 Feb 4;14(1):30. doi: 10.1186/s12957-016-0785-9.

Abstract

BACKGROUND

The aim of this study was to detect the expression of hypoxia-inducible factor (HIF)-1α and HIF-2α in papillary thyroid carcinoma (PTC) compared with normal thyroid tissues.

METHODS

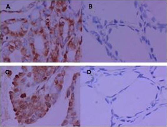
The mRNA levels and protein levels of HIF-1α and HIF-2α were detected by real-time PCR and Western blot separately in 30 pairs of PTCs and normal thyroid cases. The protein levels were also detected by immunohistochemistry (IHC) using 92 samples of PTC group and 46 normal samples as control group for analyzing the biological and clinical significance of the expression of HIF-1α/HIF-2α.

RESULTS

Real-time PCR results showed the mRNA level of HIF-1α and HIF-2α were significantly higher in PTC than normal group (P<0.001). Also, significantly higher positive rates (73%/65%) of HIF-1α and HIF-2α were observed in PTC compared with the control group (27%/35%) by IHC (P<0.01); the consistent results were gotten with Western blot. Although we did not find a significant correlation between the expression of HIF-1α and HIF-2α with gender, age, calcification, or Hashimoto's disease in the present study (P>0.05), both of their expressions were correlated to lymph node metastasis (P<0.05), capsular invasion (P<0.05), and TNM stage (P<0.05).

CONCLUSIONS

Overexpression of HIF-1α and HIF-2α are associated with the carcinogenesis of PTC, served as potential biomarkers of PTC.

摘要

背景

本研究旨在检测甲状腺乳头状癌(PTC)中缺氧诱导因子(HIF)-1α和HIF-2α的表达,并与正常甲状腺组织进行比较。

方法

分别采用实时荧光定量PCR和蛋白质印迹法检测30对PTC及正常甲状腺组织中HIF-1α和HIF-2α的mRNA水平和蛋白质水平。采用免疫组织化学(IHC)法检测92例PTC组样本和46例正常样本作为对照组中HIF-1α/HIF-2α的蛋白质水平,以分析其表达的生物学和临床意义。

结果

实时荧光定量PCR结果显示,PTC中HIF-1α和HIF-2α的mRNA水平显著高于正常组(P<0.001)。免疫组织化学结果显示,与对照组(27%/35%)相比,PTC中HIF-1α和HIF-2α的阳性率显著更高(73%/65%)(P<0.01);蛋白质印迹法也得到了一致的结果。虽然在本研究中未发现HIF-1α和HIF-2α的表达与性别、年龄、钙化或桥本氏病之间存在显著相关性(P>0.05),但它们的表达均与淋巴结转移(P<0.05)、包膜侵犯(P<0.05)和TNM分期(P<0.05)相关。

结论

HIF-1α和HIF-2α的过表达与PTC的发生相关,可作为PTC的潜在生物标志物。

https://cdn.ncbi.nlm.nih.gov/pmc/blobs/64c5/4743326/bae1b53eef83/12957_2016_785_Fig1_HTML.jpg

文献AI研究员

20分钟写一篇综述,助力文献阅读效率提升50倍。

立即体验

用中文搜PubMed

大模型驱动的PubMed中文搜索引擎

马上搜索

文档翻译

学术文献翻译模型,支持多种主流文档格式。

立即体验