Suppr超能文献

大鼠肾脏中上皮钠通道(ENaC)转运的调节

Regulation of ENaC trafficking in rat kidney.

作者信息

Frindt Gustavo, Gravotta Diego, Palmer Lawrence G

机构信息

Department of Physiology and Biophysics and Margaret Dyson Vision Research Institute, Department of Ophthalmology, Weill Cornell Medical College, New York, NY 10065.

Department of Physiology and Biophysics and Margaret Dyson Vision Research Institute, Department of Ophthalmology, Weill Cornell Medical College, New York, NY 10065

出版信息

J Gen Physiol. 2016 Mar;147(3):217-27. doi: 10.1085/jgp.201511533. Epub 2016 Feb 15.

Abstract

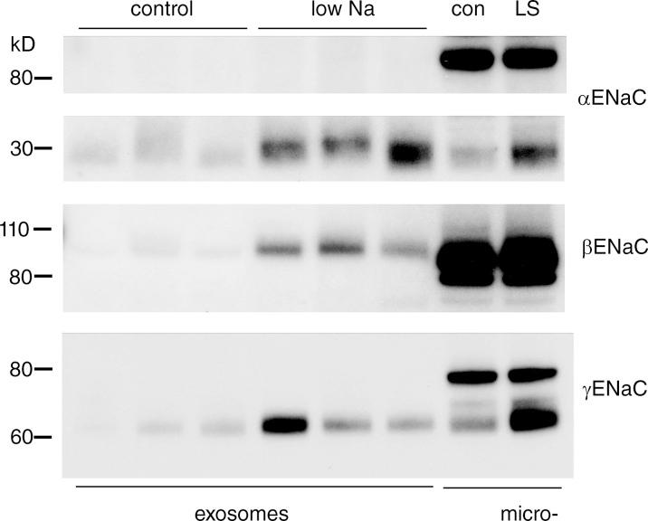
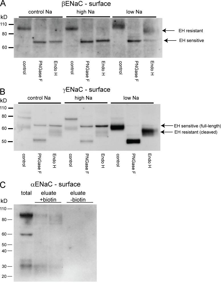
The epithelial Na channel (ENaC) forms a pathway for Na(+) reabsorption in the distal nephron, and regulation of these channels is essential for salt homeostasis. In the rat kidney, ENaC subunits reached the plasma membrane in both immature and fully processed forms, the latter defined by either endoglycosidase H-insensitive glycosylation or proteolytic cleavage. Animals adapted to a low-salt diet have increased ENaC surface expression that is specific for the mature forms of the subunit proteins and is similar (three- to fourfold) for α, β, and γENaC. Kidney membranes were fractionated using differential centrifugation, sucrose-gradient separation, and immunoabsorption. Endoplasmic reticulum membranes, isolated using an antibody against calnexin, expressed immature γENaC, and the content decreased with Na depletion. Golgi membranes, isolated with an antibody against the cis-Golgi protein GM130, expressed both immature and processed γENaC; Na depletion increased the content of processed γENaC in this fraction by 3.8-fold. An endosomal compartment isolated using an antibody against Rab11 contained both immature and processed γENaC; the content of processed subunit increased 2.4-fold with Na depletion. Finally, we assessed the content of γENaC in the late endocytic compartments indirectly using urinary exosomes. All of the γENaC in these exosomes was in the fully cleaved form, and its content increased by 4.5-fold with Na depletion. These results imply that stimulation of ENaC surface expression results at least in part from increased rates of formation of fully processed subunits in the Golgi and subsequent trafficking to the apical membrane.

摘要

上皮钠通道(ENaC)构成了远端肾单位中Na⁺重吸收的途径,对这些通道的调节对于盐稳态至关重要。在大鼠肾脏中,ENaC亚基以未成熟和完全加工的形式到达质膜,后者由内切糖苷酶H不敏感的糖基化或蛋白水解切割来定义。适应低盐饮食的动物ENaC表面表达增加,这对亚基蛋白的成熟形式具有特异性,并且α、β和γENaC的增加幅度相似(三到四倍)。使用差速离心、蔗糖梯度分离和免疫吸附对肾膜进行分级分离。使用抗钙连蛋白抗体分离的内质网膜表达未成熟的γENaC,其含量随着钠缺乏而降低。使用抗顺式高尔基体蛋白GM130抗体分离的高尔基体膜表达未成熟和加工后的γENaC;钠缺乏使该部分中加工后的γENaC含量增加3.8倍。使用抗Rab11抗体分离的内体区室同时含有未成熟和加工后的γENaC;加工后亚基的含量随着钠缺乏增加2.4倍。最后,我们使用尿外泌体间接评估晚期内吞区室中γENaC的含量。这些外泌体中的所有γENaC均为完全切割形式,其含量随着钠缺乏增加4.5倍。这些结果表明,ENaC表面表达的刺激至少部分源于高尔基体中完全加工后的亚基形成速率增加以及随后向顶端膜的转运。

https://cdn.ncbi.nlm.nih.gov/pmc/blobs/8dbe/4772376/8aa477e2c43e/JGP_201511533_Fig1.jpg

文献AI研究员

20分钟写一篇综述,助力文献阅读效率提升50倍。

立即体验

用中文搜PubMed

大模型驱动的PubMed中文搜索引擎

马上搜索

文档翻译

学术文献翻译模型,支持多种主流文档格式。

立即体验