Suppr超能文献

通过约束球面反卷积纤维束成像揭示的人脑广泛直接皮质下小脑-基底神经节连接

Extensive Direct Subcortical Cerebellum-Basal Ganglia Connections in Human Brain as Revealed by Constrained Spherical Deconvolution Tractography.

作者信息

Milardi Demetrio, Arrigo Alessandro, Anastasi Giuseppe, Cacciola Alberto, Marino Silvia, Mormina Enricomaria, Calamuneri Alessandro, Bruschetta Daniele, Cutroneo Giuseppina, Trimarchi Fabio, Quartarone Angelo

机构信息

IRCCS Centro Neurolesi "Bonino Pulejo", MessinaItaly; Department of Biomedical Sciences and of Morphological and Functional Images, University of MessinaMessina, Italy.

Department of Biomedical Sciences and of Morphological and Functional Images, University of Messina Messina, Italy.

出版信息

Front Neuroanat. 2016 Mar 18;10:29. doi: 10.3389/fnana.2016.00029. eCollection 2016.

Abstract

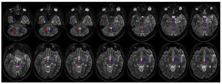
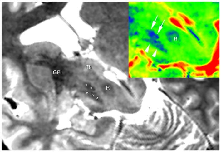
The connections between the cerebellum and basal ganglia were assumed to occur at the level of neocortex. However evidences from animal data have challenged this old perspective showing extensive subcortical pathways linking the cerebellum with the basal ganglia. Here we tested the hypothesis if these connections also exist between the cerebellum and basal ganglia in the human brain by using diffusion magnetic resonance imaging and tractography. Fifteen healthy subjects were analyzed by using constrained spherical deconvolution technique obtained with a 3T magnetic resonance imaging scanner. We found extensive connections running between the subthalamic nucleus and cerebellar cortex and, as novel result, we demonstrated a direct route linking the dentate nucleus to the internal globus pallidus as well as to the substantia nigra. These findings may open a new scenario on the interpretation of basal ganglia disorders.

摘要

小脑与基底神经节之间的连接曾被认为发生在新皮层水平。然而,动物数据的证据对这一旧观点提出了挑战,显示出连接小脑与基底神经节的广泛皮质下通路。在这里,我们通过使用扩散磁共振成像和纤维束成像技术,测试了人类大脑中小脑与基底神经节之间是否也存在这些连接的假设。对15名健康受试者使用3T磁共振成像扫描仪获得的约束球形反卷积技术进行分析。我们发现丘脑底核与小脑皮质之间存在广泛连接,并且作为新的结果,我们证明了一条将齿状核与苍白球内部以及黑质相连的直接路径。这些发现可能为基底神经节疾病的解释开辟一个新的局面。

https://cdn.ncbi.nlm.nih.gov/pmc/blobs/3588/4796021/2f0276378c2d/fnana-10-00029-g001.jpg

文献AI研究员

20分钟写一篇综述,助力文献阅读效率提升50倍。

立即体验

用中文搜PubMed

大模型驱动的PubMed中文搜索引擎

马上搜索

文档翻译

学术文献翻译模型,支持多种主流文档格式。

立即体验