Suppr超能文献

在胰高血糖素作用下,PGC-1α通过SIRT3和SIRT5促进小鼠门静脉周围肝细胞尿素生成。

PGC-1α Promotes Ureagenesis in Mouse Periportal Hepatocytes through SIRT3 and SIRT5 in Response to Glucagon.

作者信息

Li Lulu, Zhang Ping, Bao Zhengxi, Wang Tongxin, Liu Shuang, Huang Feiruo

机构信息

Department of Animal Nutrition and Feed Science, College of Animal Science and Technology, Huazhong Agricultural University, Wuhan 430070, China.

出版信息

Sci Rep. 2016 Apr 7;6:24156. doi: 10.1038/srep24156.

Abstract

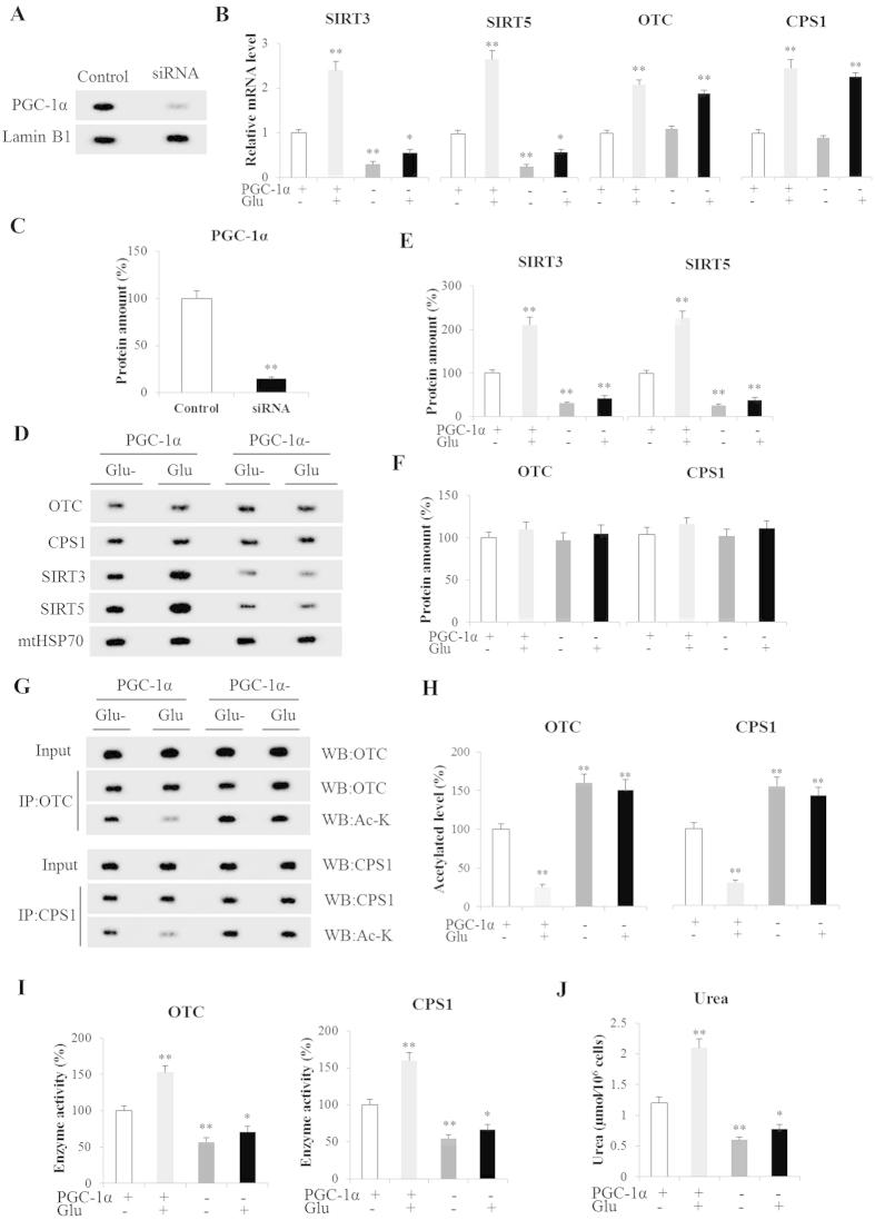
Excess ammonia is produced during fasting when amino acids are used for glucogenesis. Together with ureagenesis, glucogenesis occurs in periportal hepatocytes mediated mainly through the peroxisome proliferator-activated receptor gamma coactivator 1-alpha (PGC-1α). In vivo experiments showed that fasting strongly stimulated mice glucagon secretion, hepatic PGC-1α, sirtuin 3 (SIRT3) and sirtuin 5 (SIRT5) expression and ureagenesis enzymatic activity such as carbamoyl phosphate synthetase 1 (CPS1) and ornithine transcarbamoylase (OTC). Interestingly, (15)N-labeled urea and (13)C-labeled glucose production in wild-type mice were significantly increased compared with PGC-1α null mice by [(15)N,(13)C]alanine perfused liver. Glucagon significantly stimulated ureagenesis, expression of SIRT3, SIRT5 and the activities of CPS1 and OCT but did not stimulate PGC-1α silencing hepatocytes in mice periportal hepatocytes. Contrarily, PGC-1α overexpression significantly increased the expression of SIRT3, SIRT5 and the activities of CPS1 and OTC, but induced no significant changes in CPS1 and OTC expression. Morever, SIRT3 directly deacetylates and upregulates the activity of OTC, while SIRT5 deacetylates and stimulates the activity of CPS1. During fasting, PGC-1α facilitates ureagenesis in mouse periportal hepatocytes by deacetylating CPS1 and OTC modulated by mitochondrial deacetylase, SIRT3 and SIRT5. This mechanism may be relevant to ammonia detoxification and metabolic homeostasis in liver during fasting.

摘要

禁食期间,当氨基酸用于糖异生时会产生过量氨。糖异生与尿素生成一起,主要通过过氧化物酶体增殖物激活受体γ共激活因子1α(PGC-1α)在肝门周围肝细胞中发生。体内实验表明,禁食强烈刺激小鼠胰高血糖素分泌、肝脏PGC-1α、沉默调节蛋白3(SIRT3)和沉默调节蛋白5(SIRT5)表达以及尿素生成酶活性,如氨甲酰磷酸合成酶1(CPS1)和鸟氨酸转氨甲酰酶(OTC)。有趣的是,通过[(15)N,(13)C]丙氨酸灌注肝脏,野生型小鼠中(15)N标记的尿素和(13)C标记的葡萄糖生成与PGC-1α基因敲除小鼠相比显著增加。胰高血糖素显著刺激尿素生成、SIRT3、SIRT5表达以及CPS1和OCT活性,但在小鼠肝门周围肝细胞中不刺激PGC-1α沉默肝细胞。相反,PGC-1α过表达显著增加SIRT3、SIRT5表达以及CPS1和OTC活性,但未引起CPS1和OTC表达的显著变化。此外,SIRT3直接使OTC去乙酰化并上调其活性,而SIRT5使CPS1去乙酰化并刺激其活性。禁食期间,PGC-1α通过使线粒体脱乙酰酶SIRT3和SIRT5调节的CPS1和OTC去乙酰化,促进小鼠肝门周围肝细胞中的尿素生成。该机制可能与禁食期间肝脏中的氨解毒和代谢稳态有关。

https://cdn.ncbi.nlm.nih.gov/pmc/blobs/52e4/4823758/6d320615dbfe/srep24156-f1.jpg

文献AI研究员

20分钟写一篇综述,助力文献阅读效率提升50倍。

立即体验

用中文搜PubMed

大模型驱动的PubMed中文搜索引擎

马上搜索

文档翻译

学术文献翻译模型,支持多种主流文档格式。

立即体验