Suppr超能文献

通过气管内滴注聚六亚甲基胍磷酸盐建立肺部炎症和纤维化小鼠模型。

Establishment of a mouse model for pulmonary inflammation and fibrosis by intratracheal instillation of polyhexamethyleneguanidine phosphate.

作者信息

Lee Sang Jin, Park Jong-Hwan, Lee Jun-Young, Jeong Yu-Jin, Song Jeong Ah, Lee Kyuhong, Kim Dong-Jae

机构信息

Department of Biochemistry, College of Medicine, Konyang University, 158 Gwanjeodong-ro, Seo-gu, Daejeon 302-718, Republic of Korea; Inhalation Toxicology Center, Korea Institute of Toxicology, 30 Baekhak 1-Gil, Jeongeup-si, Jeollabuk-do 580-185, Republic of Korea.

Laboratory Animal Medicine, College of Veterinary Medicine, Chonnam National University, 77 Yongbong-ro, Buk-gu , Gwangju 61186, Republic of Korea.

出版信息

J Toxicol Pathol. 2016 Apr;29(2):95-102. doi: 10.1293/tox.2015-0067. Epub 2016 Jan 24.

Abstract

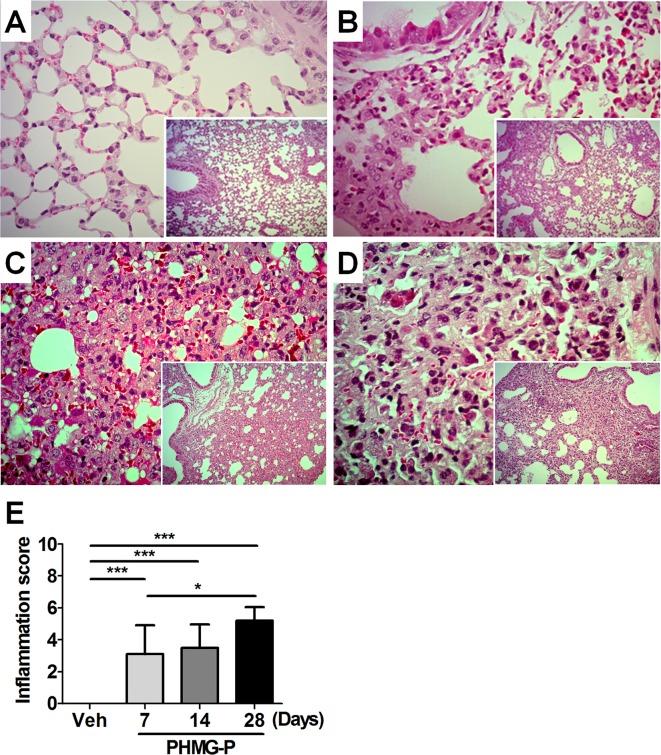
Although several animal models have been developed to study human pulmonary fibrosis, lack of a perfect model has raised the need for various animal models of pulmonary fibrosis. In this study, we evaluated the pulmonary effect of polyhexamethyleneguanidine phosphate instillation into the lungs of mice to determine the potential of these mice as a murine model of pulmonary fibrosis. Intratracheal instillation of polyhexamethyleneguanidine phosphate induced severe lung inflammation manifested by the infiltration of mononuclear cells and neutrophils and increased production of IL-6, TNF-α, CCL2 and CXCL1. The lung inflammation gradually increased until 28 days after polyhexamethyleneguanidine phosphate exposure, and increases of collagen deposition and TGF-β production, which are indicators of pulmonary fibrosis, were seen. Our study showed that intratracheal instillation of polyhexamethyleneguanidine phosphate induces pulmonary inflammation and fibrosis in mice.

摘要

尽管已经开发了几种动物模型来研究人类肺纤维化,但缺乏完美的模型引发了对多种肺纤维化动物模型的需求。在本研究中,我们评估了向小鼠肺部滴注聚六亚甲基胍磷酸盐的肺部效应,以确定这些小鼠作为肺纤维化小鼠模型的潜力。气管内滴注聚六亚甲基胍磷酸盐会引发严重的肺部炎症,表现为单核细胞和中性粒细胞浸润以及白细胞介素-6、肿瘤坏死因子-α、趋化因子配体2和趋化因子配体1的产生增加。肺部炎症在聚六亚甲基胍磷酸盐暴露后28天逐渐加重,同时观察到作为肺纤维化指标的胶原蛋白沉积和转化生长因子-β产生增加。我们的研究表明,气管内滴注聚六亚甲基胍磷酸盐会诱发小鼠肺部炎症和纤维化。

https://cdn.ncbi.nlm.nih.gov/pmc/blobs/39e8/4866002/9a238fda29a2/tox-29-095-g001.jpg

文献AI研究员

20分钟写一篇综述,助力文献阅读效率提升50倍。

立即体验

用中文搜PubMed

大模型驱动的PubMed中文搜索引擎

马上搜索

文档翻译

学术文献翻译模型,支持多种主流文档格式。

立即体验