Suppr超能文献

氟非尼酮通过抑制NALP3炎性小体和IL-1β/IL-1R1/MyD88/NF-κB信号通路的激活来减轻肺部炎症和纤维化。

Fluorofenidone attenuates pulmonary inflammation and fibrosis via inhibiting the activation of NALP3 inflammasome and IL-1β/IL-1R1/MyD88/NF-κB pathway.

作者信息

Song Cheng, He Lujuan, Zhang Jin, Ma Hong, Yuan Xiangning, Hu Gaoyun, Tao Lijian, Zhang Jian, Meng Jie

机构信息

Department of Respiratory Medicine, Xiangya Hospital, Central South University, Changsha, China.

Department of Respiratory Medicine, Central Hospital of Wuhan, Tongji Medical College Huazhong University of Science & Technology, Wuhan, China.

出版信息

J Cell Mol Med. 2016 Nov;20(11):2064-2077. doi: 10.1111/jcmm.12898. Epub 2016 Jun 16.

Abstract

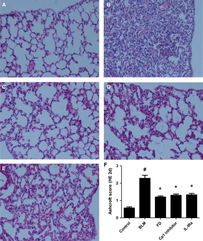
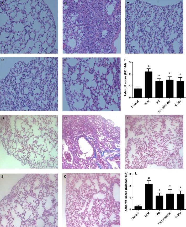
Interleukin (IL)-1β plays an important role in the pathogenesis of idiopathic pulmonary fibrosis. The production of IL-1β is dependent upon caspase-1-containing multiprotein complexes called inflammasomes and IL-1R1/MyD88/NF-κB pathway. In this study, we explored whether a potential anti-fibrotic agent fluorofenidone (FD) exerts its anti-inflammatory and anti-fibrotic effects through suppressing activation of NACHT, LRR and PYD domains-containing protein 3 (NALP3) inflammasome and the IL-1β/IL-1R1/MyD88/NF-κB pathway in vivo and in vitro. Male C57BL/6J mice were intratracheally injected with Bleomycin (BLM) or saline. Fluorofenidone was administered throughout the course of the experiment. Lung tissue sections were stained with haemotoxylin and eosin and Masson's trichrome. Cytokines were measured by ELISA, and α-smooth muscle actin (α-SMA), fibronectin, collagen I, caspase-1, IL-1R1, MyD88 were measured by Western blot and/or RT-PCR. The human actue monocytic leukaemia cell line (THP-1) were incubated with monosodium urate (MSU), with or without FD pre-treatment. The expression of caspase-1, IL-1β, NALP3, apoptosis-associated speck-like protein containing (ASC) and pro-caspase-1 were measured by Western blot, the reactive oxygen species (ROS) generation was detected using the Flow Cytometry, and the interaction of NALP3 inflammasome-associated molecules were measured by Co-immunoprecipitation. RLE-6TN (rat lung epithelial-T-antigen negative) cells were incubated with IL-1β, with or without FD pre-treatment. The expression of nuclear protein p65 was measured by Western blot. Results showed that FD markedly reduced the expressions of IL-1β, IL-6, monocyte chemotactic protein-1 (MCP-1), myeloperoxidase (MPO), α-SMA, fibronectin, collagen I, caspase-1, IL-1R1 and MyD88 in mice lung tissues. And FD inhibited MSU-induced the accumulation of ROS, blocked the interaction of NALP3 inflammasome-associated molecules, decreased the level of caspase-1 and IL-1β in THP-1 cells. Besides, FD inhibited IL-1β-induced the expression of nuclear protein p65. This study demonstrated that FD, attenuates BLM-induced pulmonary inflammation and fibrosis in mice via inhibiting the activation of NALP3 inflammasome and the IL-1β/IL-1R1/MyD88/ NF-κB pathway.

摘要

白细胞介素(IL)-1β在特发性肺纤维化的发病机制中起重要作用。IL-1β的产生依赖于称为炎性小体的含半胱天冬酶-1的多蛋白复合物以及IL-1R1/MyD88/NF-κB途径。在本研究中,我们探讨了一种潜在的抗纤维化药物氟非尼酮(FD)是否通过在体内和体外抑制含NACHT、LRR和PYD结构域的蛋白3(NALP3)炎性小体以及IL-1β/IL-1R1/MyD88/NF-κB途径的激活来发挥其抗炎和抗纤维化作用。雄性C57BL/6J小鼠经气管内注射博来霉素(BLM)或生理盐水。在整个实验过程中给予氟非尼酮。肺组织切片用苏木精和伊红以及Masson三色染色法染色。通过酶联免疫吸附测定法测量细胞因子,通过蛋白质免疫印迹法和/或逆转录-聚合酶链反应测量α-平滑肌肌动蛋白(α-SMA)、纤连蛋白、胶原蛋白I、半胱天冬酶-1、IL-1R1、MyD88。人急性单核细胞白血病细胞系(THP-1)与尿酸钠(MSU)一起孵育,有或没有FD预处理。通过蛋白质免疫印迹法测量半胱天冬酶-1、IL-1β、NALP3、含凋亡相关斑点样蛋白(ASC)和前半胱天冬酶-1的表达,使用流式细胞术检测活性氧(ROS)的产生,通过免疫共沉淀法测量NALP3炎性小体相关分子的相互作用。RLE-6TN(大鼠肺上皮-T抗原阴性)细胞与IL-1β一起孵育,有或没有FD预处理。通过蛋白质免疫印迹法测量核蛋白p65的表达。结果显示,FD显著降低了小鼠肺组织中IL-1β、IL-6、单核细胞趋化蛋白-1(MCP-1)、髓过氧化物酶(MPO)、α-SMA、纤连蛋白、胶原蛋白I、半胱天冬酶-1、IL-1R1和MyD88的表达。并且FD抑制了MSU诱导的ROS积累,阻断了NALP3炎性小体相关分子的相互作用,降低了THP-1细胞中半胱天冬酶-1和IL-1β的水平。此外,FD抑制了IL-1β诱导的核蛋白p65的表达。本研究表明,FD通过抑制NALP3炎性小体以及IL-1β/IL-1R1/MyD88/NF-κB途径的激活减轻了BLM诱导的小鼠肺部炎症和纤维化。

https://cdn.ncbi.nlm.nih.gov/pmc/blobs/1b93/5082399/84abc6736cba/JCMM-20-2064-g001.jpg

文献AI研究员

20分钟写一篇综述,助力文献阅读效率提升50倍。

立即体验

用中文搜PubMed

大模型驱动的PubMed中文搜索引擎

马上搜索

文档翻译

学术文献翻译模型,支持多种主流文档格式。

立即体验