Suppr超能文献

霍纳林蛋白与乳腺癌进展有关。

Hornerin Is Involved in Breast Cancer Progression.

作者信息

Choi Jinhyuk, Kim Dong-Il, Kim Jinkyoung, Kim Baek-Hui, Kim Aeree

机构信息

Department of Pathology, Korea University Guro Hospital, Seoul, Korea.

Green Cross Reference Laboratory, Yongin, Korea.

出版信息

J Breast Cancer. 2016 Jun;19(2):142-7. doi: 10.4048/jbc.2016.19.2.142. Epub 2016 Jun 24.

Abstract

PURPOSE

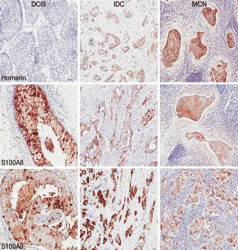
The S100 gene family, which comprises over 20 members, including S100A1, S100A2, S100A8, S100A9, profilaggrin, and hornerin encodes low molecular weight calcium-binding proteins with physiological and pathological roles in keratinization. Recent studies have suggested a link between S100 proteins and human cancer progression. The purpose of the present study was to determine the expression levels of hornerin, S100A8, and S100A9 and evaluate their roles in the progression of invasive ductal carcinoma (IDC).

METHODS

Seventy cases of ductal carcinoma in situ (DCIS), IDC, and metastatic carcinoma in lymph nodes (MCN) were included. Tissue microarrays were constructed from lesions of DCIS, IDC, and MCN from the same patients. Expression of hornerin, S100A8, and S100A9 was analyzed using immunohistochemistry.

RESULTS

The expression of hornerin was associated with the estrogen receptor-negative (p=0.003) and the human epidermal growth factor receptor 2-positive (p=0.002) groups. The expression of S100A8 was associated with a higher pT stage (p=0.017). A significant (p<0.001) correlation between the expression of S100A9 and S100A8 was also found. The mean percentages of hornerin-positive tumor cells in DCIS, IDC, and MCN were 1.0%±3.3% (mean±standard deviation), 12.0%±24.0%, and 75.3%± 27.6%, respectively. The expression of hornerin significantly (p<0.001) increased with the progression of carcinoma. The mean levels of S100A8 and S100A9 in DCIS, IDC, and MCN were not significantly (p>0.050) different. The expression of hornerin increased in a stepwise manner (DCIS<IDC<MCN).

CONCLUSION

Our data suggest that hornerin is involved in breast cancer progression and malignant transformation from preinvasive lesions.

摘要

目的

S100基因家族由20多个成员组成,包括S100A1、S100A2、S100A8、S100A9、丝聚合蛋白原和角蛋白,其编码在角质化过程中具有生理和病理作用的低分子量钙结合蛋白。最近的研究表明S100蛋白与人类癌症进展之间存在联系。本研究的目的是确定角蛋白、S100A8和S100A9的表达水平,并评估它们在浸润性导管癌(IDC)进展中的作用。

方法

纳入70例原位导管癌(DCIS)、IDC和淋巴结转移癌(MCN)病例。从同一患者的DCIS、IDC和MCN病变构建组织微阵列。采用免疫组织化学分析角蛋白、S100A8和S100A9的表达。

结果

角蛋白的表达与雌激素受体阴性组(p = 0.003)和人表皮生长因子受体2阳性组(p = 0.002)相关。S100A8的表达与较高的pT分期相关(p = 0.017)。还发现S100A9和S100A8的表达之间存在显著相关性(p < 0.001)。DCIS、IDC和MCN中角蛋白阳性肿瘤细胞的平均百分比分别为1.0%±3.3%(平均值±标准差)、12.0%±24.0%和75.3%±27.6%。角蛋白的表达随着癌症进展显著增加(p < 0.001)。DCIS、IDC和MCN中S100A8和S100A9的平均水平无显著差异(p > 0.050)。角蛋白的表达呈逐步增加(DCIS < IDC < MCN)。

结论

我们的数据表明角蛋白参与乳腺癌进展以及从癌前病变的恶性转化。

https://cdn.ncbi.nlm.nih.gov/pmc/blobs/07d8/4929254/15f550c6d7b4/jbc-19-142-g001.jpg

文献AI研究员

20分钟写一篇综述,助力文献阅读效率提升50倍。

立即体验

用中文搜PubMed

大模型驱动的PubMed中文搜索引擎

马上搜索

文档翻译

学术文献翻译模型,支持多种主流文档格式。

立即体验