Suppr超能文献

在过表达淀粉样前体蛋白的转基因大鼠中添加早老素1转基因会增加β淀粉样蛋白42的水平,并导致记忆保持能力丧失。

Presenilin 1 transgene addition to amyloid precursor protein overexpressing transgenic rats increases amyloid beta 42 levels and results in loss of memory retention.

作者信息

Agca Cansu, Klakotskaia Diana, Schachtman Todd R, Chan Anthony W, Lah James J, Agca Yuksel

机构信息

Department of Veterinary Pathobiology, College of Veterinary Medicine, University of Missouri, 1600 East Rollins Street, Room W191, Columbia, MO, 65211, USA.

Department of Psychological Sciences, University of Missouri, Columbia, MO, 65211, USA.

出版信息

BMC Neurosci. 2016 Jul 7;17(1):46. doi: 10.1186/s12868-016-0281-8.

Abstract

BACKGROUND

We previously reported the production of transgenic rats (APP21 line) that over-express human amyloid precursor protein (APP) containing Swedish and Indiana mutations. In order to generate a better model for Alzheimer's disease (AD), the APP21 rat line was used to generate double transgenic line that over-expressed Presenilin 1 (PS1) with L166P mutation in addition to APP transgene (APP + PS1 line).

RESULTS

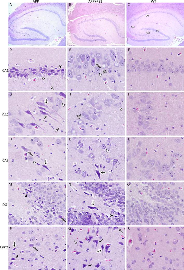
Thirty-two double transgenic founders were generated and the ultimate transgenic founder was selected based on PS1 transgene copy number and level of amyloid-beta (Aβ)42 peptide. The APP + PS1 double transgenic rats had 38 times more PS1 in brains compared to APP rats. Behavioral assessment using Barnes maze showed that APP + PS1 rats exhibited a larger learning and memory deficit than APP21 rats. Double transgenic rats also produced more Aβ42. Histological examination of the brains showed that the APP21 rat line displayed neurofibrillary tangles and in contrast, the APP + PS1 line showed chromatolysis in hippocampal neurons and neuronal loss in CA3 region of hippocampus.

CONCLUSIONS

Due to the separate segregation of APP and PS1 transgenes in APP + PS1 double transgenic rats, this transgenic line may be a valuable model for studying the effects of various levels of APP and PS1 transgenes on various aspects of brain pathologies associated with the AD phenotype.

摘要

背景

我们之前报道过转基因大鼠(APP21品系)的培育,该品系大鼠过度表达含有瑞典和印第安纳突变的人类淀粉样前体蛋白(APP)。为了构建更好的阿尔茨海默病(AD)模型,利用APP21大鼠品系培育了双转基因品系,该品系除了APP转基因外,还过度表达带有L166P突变的早老素1(PS1)(APP + PS1品系)。

结果

共培育出32只双转基因奠基大鼠,并根据PS1转基因拷贝数和β淀粉样蛋白(Aβ)42肽水平挑选出最终的转基因奠基大鼠。与APP大鼠相比,APP + PS1双转基因大鼠大脑中的PS1含量高出38倍。使用巴恩斯迷宫进行的行为评估表明,APP + PS1大鼠表现出比APP21大鼠更大的学习和记忆缺陷。双转基因大鼠还产生了更多的Aβ42。大脑组织学检查显示,APP21大鼠品系出现神经原纤维缠结,相比之下,APP + PS1品系在海马神经元中表现出染色质溶解以及海马CA3区神经元丢失。

结论

由于APP和PS1转基因在APP + PS1双转基因大鼠中单独分离,该转基因品系可能是研究不同水平的APP和PS1转基因对与AD表型相关的脑病理学各个方面影响的有价值模型。

https://cdn.ncbi.nlm.nih.gov/pmc/blobs/cbc9/4936262/1da6c28372f2/12868_2016_281_Fig1_HTML.jpg

文献AI研究员

20分钟写一篇综述,助力文献阅读效率提升50倍。

立即体验

用中文搜PubMed

大模型驱动的PubMed中文搜索引擎

马上搜索

文档翻译

学术文献翻译模型,支持多种主流文档格式。

立即体验