Suppr超能文献

白血病干细胞CD34+/CD38-/CD123+的免疫分析描绘出FLT3/ITD阳性克隆。

Immunoprofiling of leukemic stem cells CD34+/CD38-/CD123+ delineate FLT3/ITD-positive clones.

作者信息

Al-Mawali Adhra, Gillis David, Lewis Ian

机构信息

Division of Human Immunology and Haematology, SA Pathology, Hanson Institute, Frome Road, Adelaide, SA, 5000, Australia.

Centre of Studies and Research, Ministry of Health, Muscat, Sultanate of Oman.

出版信息

J Hematol Oncol. 2016 Jul 27;9(1):61. doi: 10.1186/s13045-016-0292-z.

Abstract

BACKGROUND

Acute myeloid leukemia (AML) is a heterogeneous clonal disorder presenting with accumulation of proliferating undifferentiated blasts. Xenograft transplantation studies have demonstrated a rare population of leukemia-initiating cells called leukemic stem cells (LSCs) capable of propagating leukemia that are enriched in the CD34+/CD38- fraction. LSCs are quiescent, resistant to chemotherapy and likely responsible for relapse and therefore represent an ideal target for effective therapy. LSCs are reported to overexpress the alpha subunit of the IL-3 receptor (CD123) compared to normal CD34+/CD38- hematopoietic stem cells. It has not been demonstrated whether CD123-positive (CD34+/CD38-) subpopulation is enriched for any clonal markers of AML or any LSC properties. The aims of this study were to investigate whether FMS-like tyrosine kinase (FLT3)/internal tandem duplication (ITD) mutations are present at LSC level and whether FLT3/ITD mutation is confined to LSC as defined by CD34+/CD38-/CD123+ and not CD34+/CD38-/CD123-.

METHODS

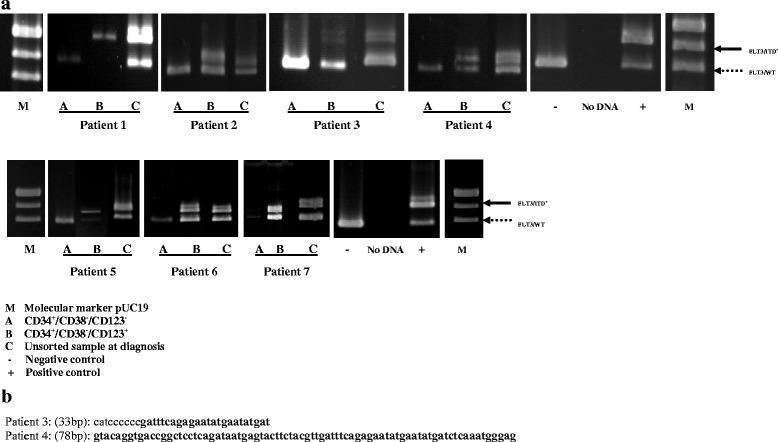
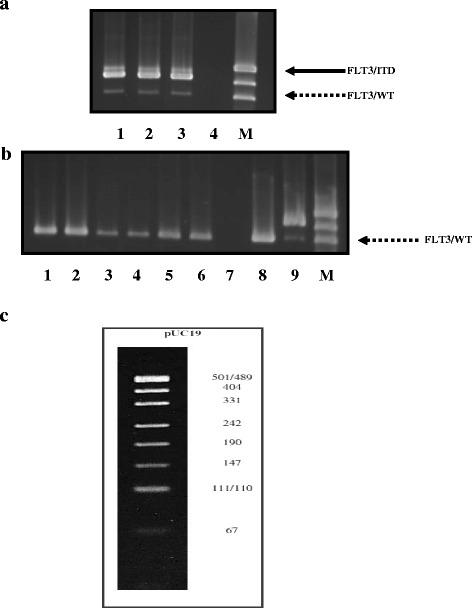
Thirty-four AML cases were analyzed by five-color flow cytometry and sequential gating strategy to characterize of CD34+/CD38-/CD123+ cells. These cells were sorted, analyzed by PCR, and sequenced for FLT3/ITD.

RESULTS

In this study, we confirm significant expression of CD123 in 32/34 cases in the total blast population (median expression = 86 %). CD123 was also expressed in the CD34+/CD38- cells (96 ± 2 % positive) from 28/32 for CD123+ AML. CD123 was not expressed/low in normal bone marrow CD34+/CD38- cells (median expression = 0 %, range (0-.004 %). AML samples were tested for FLT3/ITD (10 positive/25). FLT3/ITD+ AML cases were sorted into two putative LSC populations according to the expression of CD123 and analyzed for FLT3/ITD again in the stem cell fractions CD34+/CD38-/CD123+ and CD34+/CD38-/CD123-. Interestingly, FLT3/ITD was only detected in CD34+/CD38-/CD123+ (7/7) and not in CD34+/CD38-/CD123- subpopulation (6/7).

CONCLUSIONS

This finding shows that FLT3/ITD are present at LSC level and may be a primary and not secondary event in leukemogenesis, and the oncogenic events of FLT3/ITD happen at a cell stage possessing CD123. It shows that CD123 immunoprofiling provides further delineation of FLT3+ LSC clone. This novel finding provides a rationale for treatment involving CD123-targeting antibodies with intracellular FLT3 inhibitors directed against CD34+/CD38-/CD123+. This may result in more effective anti-LSC eradication.

摘要

背景

急性髓系白血病(AML)是一种异质性克隆性疾病,表现为增殖的未分化母细胞积聚。异种移植研究已证实存在一种罕见的白血病起始细胞群,称为白血病干细胞(LSC),其能够增殖白血病,且在CD34⁺/CD38⁻细胞亚群中富集。LSC处于静止状态,对化疗耐药,可能是复发的原因,因此是有效治疗的理想靶点。据报道,与正常CD34⁺/CD38⁻造血干细胞相比,LSC中白细胞介素3受体(CD123)的α亚基过表达。尚未证实CD123阳性(CD34⁺/CD38⁻)亚群是否富集AML的任何克隆标志物或任何LSC特性。本研究的目的是调查FMS样酪氨酸激酶(FLT3)/内部串联重复(ITD)突变是否存在于LSC水平,以及FLT3/ITD突变是否局限于由CD34⁺/CD38⁻/CD123⁺而非CD34⁺/CD38⁻/CD123⁻定义的LSC。

方法

采用五色流式细胞术和序贯门控策略分析34例AML病例,以鉴定CD34⁺/CD38⁻/CD123⁺细胞。对这些细胞进行分选,通过聚合酶链反应(PCR)分析,并对FLT3/ITD进行测序。

结果

在本研究中,我们证实34例中的32例在总母细胞群体中CD123有显著表达(中位表达率 = 86%)。对于CD123⁺ AML,28/32例的CD34⁺/CD38⁻细胞中也表达CD123(阳性率为96 ± 2%)。正常骨髓CD34⁺/CD38⁻细胞中CD123不表达/低表达(中位表达率 = 0%,范围为(0 - 0.004%)。对AML样本检测FLT3/ITD(10例阳性/共25例)。根据CD123的表达将FLT3/ITD⁺ AML病例分为两个假定的LSC群体,并在干细胞亚群CD34⁺/CD38⁻/CD123⁺和CD34⁺/CD38⁻/CD123⁻中再次分析FLT3/ITD。有趣的是,仅在CD34⁺/CD38⁻/CD123⁺亚群(7/7)中检测到FLT3/ITD,而在CD34⁺/CD38⁻/CD123⁻亚群(6/7)中未检测到。

结论

这一发现表明FLT3/ITD存在于LSC水平,可能是白血病发生过程中的原发性而非继发性事件,且FLT3/ITD的致癌事件发生在具有CD123的细胞阶段。这表明CD123免疫分析可进一步描绘FLT3⁺ LSC克隆。这一新颖发现为使用针对CD34⁺/CD38⁻/CD123⁺的细胞内FLT3抑制剂与靶向CD123的抗体联合治疗提供了理论依据。这可能导致更有效地根除抗LSC。

https://cdn.ncbi.nlm.nih.gov/pmc/blobs/5e53/4964068/84dcb8de9b1c/13045_2016_292_Fig1_HTML.jpg

文献AI研究员

20分钟写一篇综述,助力文献阅读效率提升50倍。

立即体验

用中文搜PubMed

大模型驱动的PubMed中文搜索引擎

马上搜索

文档翻译

学术文献翻译模型,支持多种主流文档格式。

立即体验