Suppr超能文献

在小鼠模型中,抗血管内皮生长因子(VEGF)和抗表皮生长因子受体(EGFR)的联合应用主要通过抑制AKT和ERK信号通路来减弱结直肠癌的生长和血管生成。

Combined application of anti-VEGF and anti-EGFR attenuates the growth and angiogenesis of colorectal cancer mainly through suppressing AKT and ERK signaling in mice model.

作者信息

Ding Chenbo, Li Longmei, Yang Taoyu, Fan Xiaobo, Wu Guoqiu

机构信息

Medical School of Southeast University, Nanjing, 210009, China.

Department of Immunology, Zunyi Medical University, Zunyi, 563003, China.

出版信息

BMC Cancer. 2016 Oct 12;16(1):791. doi: 10.1186/s12885-016-2834-8.

Abstract

BACKGROUND

Angiogenesis is generally involved during the cancer development and hematogenous metastasis. Vascular endothelial growth factor (VEGF) and epidermal growth factor receptor (EGFR) are considered to have an important role in tumor-associated angiogenesis. However, the effects of simultaneously targeting on VEGF and EGFR on the growth and angiogenesis of colorectal cancer (CRC), and its underlying mechanisms remain unknown.

METHODS

Immunohistochemical staining was used to detect the VEGF and EGFR expression in different CRC tissue specimens, and the correlation between VEGF/EGFR expression with the clinicopathologic features was analyzed. Cell counting kit‑8 (CCK-8) and transwell assays were used to assess the cellular proliferation and invasion of CRC cells after treated with anti-VEGF antibody and/or anti-EGFR antibody in vitro, respectively. Moreover, in vivo tumor formation was performed on nude mice model, and the tumor microvessel density (MVD) was determined by anti-CD34 staining in different groups. Finally, we evaluated the impact of anti-VEGF antibody and/or anti-EGFR antibody on the activation of downstream signaling effectors using western blot.

RESULTS

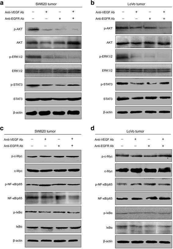
VEGF and EGFR were upregulated in CRC tissues, and their expression levels were correlated with hepatic metastasis. Blockage on VEGF or EGFR alone could inhibit the cellular proliferation and metastasis while their combination could reach a good synergism in vitro. In addition, in vivo xenograft mice model demonstrated that the tumor formation and angiogenesis were strongly suppressed by combination treatment of anti-VEGF and anti-EGFR antibodies. Besides, the combination treatment significantly reduced the activation of AKT and ERK1/2, but barely affected the activation of c-Myc, NF-κB/p65 and IκBα in CRC cells tumors. Interestingly, anti-VEGF antibody or anti-EGFR antibody alone could attenuate the phosphorylation of STAT3 as compared with negative control group, whereas the combined application not further suppressed but at least partially restored the activation of STAT3 in vivo.

CONCLUSIONS

Simultaneous targeting on VEGF and EGFR does show significant inhibition on CRC tumor growth and angiogenesis in mice model, and these effects are mainly attributed to suppression of the AKT and ERK signaling pathways.

摘要

背景

血管生成通常参与癌症发展和血行转移过程。血管内皮生长因子(VEGF)和表皮生长因子受体(EGFR)被认为在肿瘤相关血管生成中起重要作用。然而,同时靶向VEGF和EGFR对结直肠癌(CRC)生长和血管生成的影响及其潜在机制仍不清楚。

方法

采用免疫组织化学染色检测不同CRC组织标本中VEGF和EGFR的表达,并分析VEGF/EGFR表达与临床病理特征之间的相关性。分别使用细胞计数试剂盒-8(CCK-8)和Transwell实验评估体外经抗VEGF抗体和/或抗EGFR抗体处理后CRC细胞的增殖和侵袭能力。此外,在裸鼠模型上进行体内肿瘤形成实验,并通过抗CD34染色测定不同组的肿瘤微血管密度(MVD)。最后,我们使用蛋白质免疫印迹法评估抗VEGF抗体和/或抗EGFR抗体对下游信号效应器激活的影响。

结果

VEGF和EGFR在CRC组织中上调,其表达水平与肝转移相关。单独阻断VEGF或EGFR可抑制细胞增殖和转移,而它们的联合应用在体外可达到良好的协同作用。此外,体内异种移植小鼠模型表明,抗VEGF和抗EGFR抗体联合治疗可强烈抑制肿瘤形成和血管生成。此外,联合治疗显著降低了AKT和ERK1/2的激活,但对CRC细胞肿瘤中c-Myc、NF-κB/p​​65和IκBα的激活几乎没有影响。有趣的是,与阴性对照组相比,单独使用抗VEGF抗体或抗EGFR抗体可减弱STAT3的磷酸化,而联合应用在体内并未进一步抑制而是至少部分恢复了STAT3的激活。

结论

在小鼠模型中,同时靶向VEGF和EGFR确实对CRC肿瘤生长和血管生成有显著抑制作用,这些作用主要归因于对AKT和ERK信号通路的抑制。

https://cdn.ncbi.nlm.nih.gov/pmc/blobs/6a77/5059930/793a60d1d506/12885_2016_2834_Fig1_HTML.jpg

文献AI研究员

20分钟写一篇综述,助力文献阅读效率提升50倍。

立即体验

用中文搜PubMed

大模型驱动的PubMed中文搜索引擎

马上搜索

文档翻译

学术文献翻译模型,支持多种主流文档格式。

立即体验