Suppr超能文献

自噬与神经母细胞瘤的化疗耐药相关。

Autophagy is associated with chemoresistance in neuroblastoma.

作者信息

Belounis Assila, Nyalendo Carine, Le Gall Roxane, Imbriglio Tina V, Mahma Mohamed, Teira Pierre, Beaunoyer Mona, Cournoyer Sonia, Haddad Elie, Vassal Gilles, Sartelet Hervé

机构信息

Research centre of the Sainte Justine university hospital, Montreal, QC, Canada.

Department of pathology and cellular biology, Université de Montréal, Montreal, QC, Canada.

出版信息

BMC Cancer. 2016 Nov 15;16(1):891. doi: 10.1186/s12885-016-2906-9.

Abstract

BACKGROUND

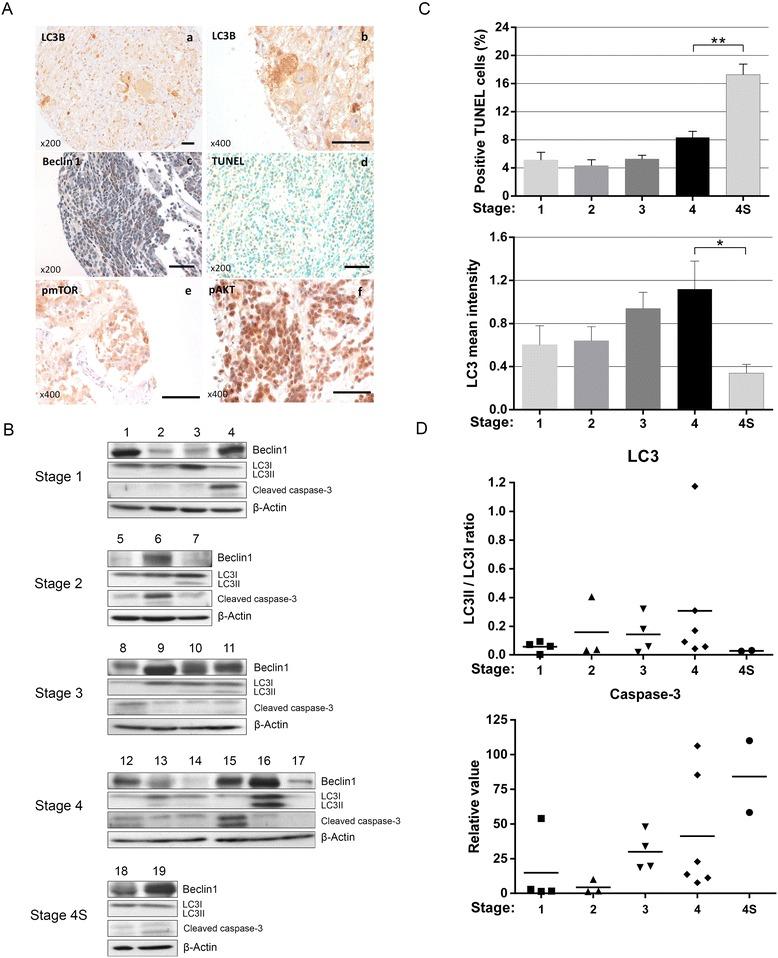
Neuroblastoma (NB) is a frequent pediatric tumor characterized by a poor prognosis where a majority of tumors progress despite intensive multimodality treatments. Autophagy, a self-degradative process in cells, could be induced by chemotherapy and be associated with chemoresistance. The aim of this study was to determine whether: 1) autophagy is present in NB, 2) chemotherapy modified its levels, and 3) its inhibition decreased chemoresistance.

METHODS

Immunohistochemical stainings were performed on samples from 184 NB patients in order to verify the expression of LC3B, a specific marker for autophagy, and Beclin 1, a positive regulator of autophagy. In addition, we performed an in vitro study with six NB cell lines and six drugs (vincristine, doxorubicin, cisplatin temozolomide, LY294002 and syrolimus). Inhibition of autophagy was performed using ATG5 knockdown cells or hydroxychloroquine (HCQ). Cell survival was measured using the MTT cell proliferation assay. Autophagy was detected by monodansylcadaverine, confocal microscopy and Western blot. In vivo study with tumor xenografts in NSG mice was performed.

RESULTS

Our results have indicated that autophagy was present at low levels in NB and was not a prognostic factor, while Beclin 1 was highly expressed in children with poor NB prognosis. However, autophagy levels increased after chemotherapy in vitro and in vivo. Tumor progression was significantly decreased in mice treated with a combination of HCQ and vincristine.

CONCLUSIONS

Taken together, autophagy is present in NB, induced by chemotherapy and associated with chemoresistance, which is significantly reduced by its inhibition. Therefore, targeting autophagy represents a very attractive approach to develop new therapeutic strategies in NB.

摘要

背景

神经母细胞瘤(NB)是一种常见的儿科肿瘤,预后较差,尽管进行了强化多模态治疗,大多数肿瘤仍会进展。自噬是细胞中的一种自我降解过程,可由化疗诱导并与化疗耐药相关。本研究的目的是确定:1)NB中是否存在自噬;2)化疗是否改变其水平;3)抑制自噬是否降低化疗耐药性。

方法

对184例NB患者的样本进行免疫组织化学染色,以验证自噬的特异性标志物LC3B和自噬的正调控因子Beclin 1的表达。此外,我们用六种NB细胞系和六种药物(长春新碱、阿霉素、顺铂、替莫唑胺、LY294002和西罗莫司)进行了体外研究。使用ATG5基因敲低细胞或羟氯喹(HCQ)抑制自噬。使用MTT细胞增殖试验测量细胞存活率。通过单丹磺酰尸胺、共聚焦显微镜和蛋白质免疫印迹法检测自噬。在NSG小鼠中进行了肿瘤异种移植的体内研究。

结果

我们的结果表明,NB中自噬水平较低,且不是一个预后因素,而Beclin 1在NB预后较差的儿童中高表达。然而,体外和体内化疗后自噬水平均升高。联合使用HCQ和长春新碱治疗的小鼠肿瘤进展明显降低。

结论

综上所述,自噬存在于NB中,由化疗诱导并与化疗耐药相关,抑制自噬可显著降低化疗耐药性。因此,靶向自噬是开发NB新治疗策略的一种非常有吸引力的方法。

https://cdn.ncbi.nlm.nih.gov/pmc/blobs/44d9/5109645/5ad9c4dadfc3/12885_2016_2906_Fig1_HTML.jpg

文献AI研究员

20分钟写一篇综述,助力文献阅读效率提升50倍。

立即体验

用中文搜PubMed

大模型驱动的PubMed中文搜索引擎

马上搜索

文档翻译

学术文献翻译模型,支持多种主流文档格式。

立即体验