Suppr超能文献

人类急性心肌梗死后心脏αβ整合素的表达

Cardiac αβ integrin expression following acute myocardial infarction in humans.

作者信息

Jenkins William S A, Vesey Alex T, Stirrat Colin, Connell Martin, Lucatelli Christophe, Neale Anoushka, Moles Catriona, Vickers Anna, Fletcher Alison, Pawade Tania, Wilson Ian, Rudd James H F, van Beek Edwin J R, Mirsadraee Saeed, Dweck Marc R, Newby David E

机构信息

British Heart Foundation Centre for Cardiovascular Science, University of Edinburgh, Edinburgh, UK.

Clinical Research Imaging Center, University of Edinburgh, Edinburgh, UK.

出版信息

Heart. 2017 Apr;103(8):607-615. doi: 10.1136/heartjnl-2016-310115. Epub 2016 Dec 7.

Abstract

OBJECTIVE

Maladaptive repair contributes towards the development of heart failure following myocardial infarction (MI). The αβ integrin receptor is a key mediator and determinant of cardiac repair. We aimed to establish whether αβ integrin expression determines myocardial recovery following MI.

METHODS

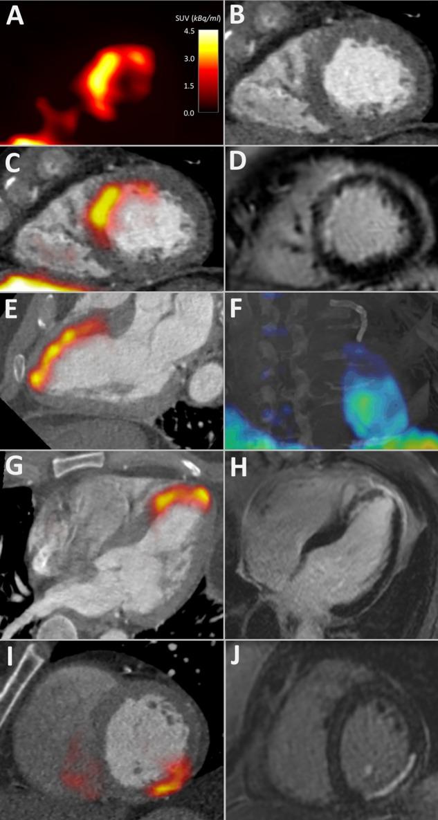
F-Fluciclatide (a novel αβ-selective radiotracer) positron emission tomography (PET) and CT imaging and gadolinium-enhanced MRI (CMR) were performed in 21 patients 2 weeks after ST-segment elevation MI (anterior, n=16; lateral, n=4; inferior, n=1). CMR was repeated 9 months after MI. 7 stable patients with chronic total occlusion (CTO) of a major coronary vessel and nine healthy volunteers underwent a single PET/CT and CMR.

RESULTS

F-Fluciclatide uptake was increased at sites of acute infarction compared with remote myocardium (tissue-to-background ratio (TBR) 1.34±0.22 vs 0.85±0.17; p<0.001) and myocardium of healthy volunteers (TBR 1.34±0.22 vs 0.70±0.03; p<0.001). There was no F-fluciclatide uptake at sites of established prior infarction in patients with CTO, with activity similar to the myocardium of healthy volunteers (TBR 0.71±0.06 vs 0.70±0.03, p=0.83). F-Fluciclatide uptake occurred at sites of regional wall hypokinesia (wall motion index≥1 vs 0; TBR 0.93±0.31 vs 0.80±0.26 respectively, p<0.001) and subendocardial infarction. Importantly, although there was no correlation with infarct size (r=0.03, p=0.90) or inflammation (C reactive protein, r=-0.20, p=0.38), F-fluciclatide uptake was increased in segments displaying functional recovery (TBR 0.95±0.33 vs 0.81±0.27, p=0.002) and associated with increase in probability of regional recovery.

CONCLUSION

F-Fluciclatide uptake is increased at sites of recent MI acting as a biomarker of cardiac repair and predicting regions of recovery.

TRIAL REGISTRATION NUMBER

NCT01813045; Post-results.

摘要

目的

适应性修复有助于心肌梗死(MI)后心力衰竭的发展。αβ整合素受体是心脏修复的关键介质和决定因素。我们旨在确定αβ整合素表达是否决定MI后的心肌恢复。

方法

对21例ST段抬高型MI患者(前壁梗死16例、侧壁梗死4例、下壁梗死1例)在发病2周后进行¹⁸F-氟西拉肽(一种新型αβ选择性放射性示踪剂)正电子发射断层扫描(PET)及CT成像和钆增强磁共振成像(CMR)。MI后9个月重复进行CMR检查。7例主要冠状动脉慢性完全闭塞(CTO)的稳定患者和9名健康志愿者接受了单次PET/CT及CMR检查。

结果

与远隔心肌(组织与本底比值(TBR)1.34±0.22 vs 0.85±0.17;p<0.001)及健康志愿者心肌(TBR 1.34±0.22 vs 0.70±0.03;p<0.001)相比,急性梗死部位的¹⁸F-氟西拉肽摄取增加。CTO患者既往梗死灶部位无¹⁸F-氟西拉肽摄取,其活性与健康志愿者心肌相似(TBR 0.71±0.06 vs 0.70±0.03,p=0.83)。¹⁸F-氟西拉肽摄取发生在局部室壁运动减弱部位(室壁运动指数≥1 vs 0;TBR分别为0.93±0.31 vs 0.80±0.26,p<0.001)及心内膜下梗死部位。重要的是,尽管¹⁸F-氟西拉肽摄取与梗死面积(r=0.03,p=0.90)或炎症(C反应蛋白,r=-0.20,p=0.38)无相关性,但在显示功能恢复的节段中¹⁸F-氟西拉肽摄取增加(TBR 0.95±0.33 vs 0.81±0.27,p=0.002),且与局部恢复概率增加相关。

结论

近期MI部位的¹⁸F-氟西拉肽摄取增加,可作为心脏修复的生物标志物并预测恢复区域。

试验注册号

NCT01813045;结果公布后。

https://cdn.ncbi.nlm.nih.gov/pmc/blobs/1fac/5566089/547f024d7581/heartjnl-2016-310115f01.jpg

文献AI研究员

20分钟写一篇综述,助力文献阅读效率提升50倍。

立即体验

用中文搜PubMed

大模型驱动的PubMed中文搜索引擎

马上搜索

文档翻译

学术文献翻译模型,支持多种主流文档格式。

立即体验