Suppr超能文献

用乳铁蛋白修饰的聚乙二醇-聚乳酸-羟基乙酸共聚物纳米颗粒经鼻给药将罗替戈汀输送至大脑用于帕金森病治疗

Intranasal delivery of rotigotine to the brain with lactoferrin-modified PEG-PLGA nanoparticles for Parkinson's disease treatment.

作者信息

Bi Chenchen, Wang Aiping, Chu Yongchao, Liu Sha, Mu Hongjie, Liu Wanhui, Wu Zimei, Sun Kaoxiang, Li Youxin

机构信息

School of Pharmacy, Collaborative Innovation Center of Advanced Drug Delivery System and Biotech Drugs in Universities of Shandong, Key Laboratory of Molecular Pharmacology and Drug Evaluation (Yantai University), Ministry of Education.

School of Pharmacy, Collaborative Innovation Center of Advanced Drug Delivery System and Biotech Drugs in Universities of Shandong, Key Laboratory of Molecular Pharmacology and Drug Evaluation (Yantai University), Ministry of Education; State Key Laboratory of Long-Acting and Targeting Drug Delivery System, Shandong Luye Pharmaceutical Co, Ltd., Yantai, People's Republic of China.

出版信息

Int J Nanomedicine. 2016 Dec 7;11:6547-6559. doi: 10.2147/IJN.S120939. eCollection 2016.

Abstract

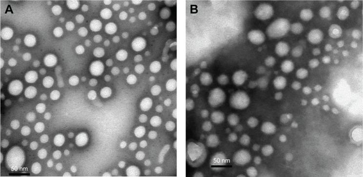
Sustainable and safe delivery of brain-targeted drugs is highly important for successful therapy in Parkinson's disease (PD). This study was designed to formulate biodegradable poly(ethylene glycol)-poly(lactic-co-glycolic acid) (PEG-PLGA) nanoparticles (NPs), which were surface-modified with lactoferrin (Lf), for efficient intranasal delivery of rotigotine to the brain for the treatment of PD. Rotigotine NPs were prepared by nanoprecipitation, and the effect of various independent process variables on the resulting properties of NPs was investigated by a Box-Behnken experimental design. The physicochemical and pharmaceutical properties of the NPs and Lf-NPs were characterized, and the release kinetics suggested that both NPs and Lf-NPs provided continuous, slow release of rotigotine for 48 h. Neither rotigotine NPs nor Lf-NPs reduced the viability of 16HBE and SH-SY5Y cells; in contrast, free rotigotine was cytotoxic. Qualitative and quantitative cellular uptake studies demonstrated that accumulation of Lf-NPs was greater than that of NPs in 16HBE and SH-SY5Y cells. Following intranasal administration, brain delivery of rotigotine was much more effective with Lf-NPs than with NPs. The brain distribution of rotigotine was heterogeneous, with a higher concentration in the striatum, the primary region affected in PD. This strongly suggested that Lf-NPs enable the targeted delivery of rotigotine for the treatment of PD. Taken together, these results demonstrated that Lf-NPs have potential as a carrier for nose-to-brain delivery of rotigotine for the treatment of PD.

摘要

可持续且安全地递送脑靶向药物对于帕金森病(PD)的成功治疗至关重要。本研究旨在制备可生物降解的聚(乙二醇)-聚(乳酸-乙醇酸)(PEG-PLGA)纳米颗粒(NPs),并用乳铁蛋白(Lf)对其进行表面修饰,以实现罗替戈汀的高效鼻内递送至脑用于治疗PD。通过纳米沉淀法制备罗替戈汀纳米颗粒,并采用Box-Behnken实验设计研究各种独立工艺变量对所得纳米颗粒性质的影响。对纳米颗粒和Lf-纳米颗粒的物理化学和药学性质进行了表征,释放动力学表明纳米颗粒和Lf-纳米颗粒均可使罗替戈汀持续缓慢释放48小时。罗替戈汀纳米颗粒和Lf-纳米颗粒均未降低16HBE和SH-SY5Y细胞的活力;相比之下,游离罗替戈汀具有细胞毒性。定性和定量细胞摄取研究表明,在16HBE和SH-SY5Y细胞中,Lf-纳米颗粒的积累量大于纳米颗粒。鼻内给药后,Lf-纳米颗粒对罗替戈汀的脑递送比纳米颗粒更有效。罗替戈汀的脑分布不均匀,在纹状体(PD中受影响的主要区域)中的浓度较高。这有力地表明Lf-纳米颗粒能够实现罗替戈汀的靶向递送用于治疗PD。综上所述,这些结果表明Lf-纳米颗粒有潜力作为罗替戈汀鼻脑递送治疗PD的载体。

https://cdn.ncbi.nlm.nih.gov/pmc/blobs/da55/5153272/96b1058d076a/ijn-11-6547Fig1.jpg

文献AI研究员

20分钟写一篇综述,助力文献阅读效率提升50倍。

立即体验

用中文搜PubMed

大模型驱动的PubMed中文搜索引擎

马上搜索

文档翻译

学术文献翻译模型,支持多种主流文档格式。

立即体验