Suppr超能文献

鼻内给予卡波姆-卵磷脂佐剂的非复制型疫苗诱导的针对流感病毒的有效呼吸道CD8 T细胞免疫

Effective Respiratory CD8 T-Cell Immunity to Influenza Virus Induced by Intranasal Carbomer-Lecithin-Adjuvanted Non-replicating Vaccines.

作者信息

Gasper David J, Neldner Brandon, Plisch Erin H, Rustom Hani, Carrow Emily, Imai Hirotaka, Kawaoka Yoshihiro, Suresh M

机构信息

Department of Pathobiological Sciences, School of Veterinary Medicine, University of Wisconsin-Madison, Madison, Wisconsin, United States of America.

Comparative Biomedical Sciences Graduate Program, School of Veterinary Medicine, University of Wisconsin-Madison, Madison, Wisconsin, United States of America.

出版信息

PLoS Pathog. 2016 Dec 20;12(12):e1006064. doi: 10.1371/journal.ppat.1006064. eCollection 2016 Dec.

Abstract

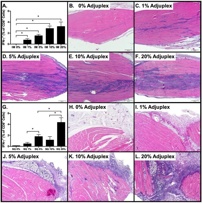
CD8+ cytotoxic T lymphocytes (CTLs) are critical for clearing many viral infections, and protective CTL memory can be induced by vaccination with attenuated viruses and vectors. Non-replicating vaccines are typically potentiated by the addition of adjuvants that enhance humoral responses, however few are capable of generating CTL responses. Adjuplex is a carbomer-lecithin-based adjuvant demonstrated to elicit robust humoral immunity to non-replicating antigens. We report that mice immunized with non-replicating Adjuplex-adjuvanted vaccines generated robust antigen-specific CTL responses. Vaccination by the subcutaneous or the intranasal route stimulated systemic and mucosal CTL memory respectively. However, only CTL memory induced by intranasal vaccination was protective against influenza viral challenge, and correlated with an enhancement of memory CTLs in the airways and CD103+ CD69+ CXCR3+ resident memory-like CTLs in the lungs. Mechanistically, Myd88-deficient mice mounted primary CTL responses to Adjuplex vaccines that were similar in magnitude to wild-type mice, but exhibited altered differentiation of effector cell subsets. Immune potentiating effects of Adjuplex entailed alterations in the frequency of antigen-presenting-cell subsets in vaccine draining lymph nodes, and in the lungs and airways following intranasal vaccination. Further, Adjuplex enhanced the ability of dendritic cells to promote antigen-induced proliferation of naïve CD8 T cells by modulating antigen uptake, its intracellular localization, and rate of processing. Taken together, we have identified an adjuvant that elicits both systemic and mucosal CTL memory to non-replicating antigens, and engenders protective CTL-based heterosubtypic immunity to influenza A virus in the respiratory tract. Further, findings presented in this manuscript have provided key insights into the mechanisms and factors that govern the induction and programming of systemic and protective memory CTLs in the respiratory tract.

摘要

CD8 + 细胞毒性T淋巴细胞(CTL)对于清除多种病毒感染至关重要,减毒病毒和载体疫苗接种可诱导产生保护性CTL记忆。非复制型疫苗通常通过添加增强体液反应的佐剂来增强效力,然而很少有能够产生CTL反应的。Adjuplex是一种基于卡波姆 - 卵磷脂的佐剂,已证明可引发对非复制型抗原的强大体液免疫。我们报告称,用非复制型Adjuplex佐剂疫苗免疫的小鼠产生了强大的抗原特异性CTL反应。皮下或鼻内途径接种疫苗分别刺激了全身和粘膜CTL记忆。然而,只有鼻内接种诱导的CTL记忆对流感病毒攻击具有保护作用,并且与气道中记忆CTL的增加以及肺中CD103 + CD69 + CXCR3 + 驻留记忆样CTL的增加相关。从机制上讲,MyD88缺陷小鼠对Adjuplex疫苗产生的初始CTL反应在幅度上与野生型小鼠相似,但效应细胞亚群的分化发生了改变。Adjuplex的免疫增强作用导致疫苗引流淋巴结以及鼻内接种后肺和气道中抗原呈递细胞亚群频率的改变。此外,Adjuplex通过调节抗原摄取、其细胞内定位和加工速率,增强了树突状细胞促进幼稚CD8 T细胞抗原诱导增殖的能力。综上所述,我们鉴定出一种佐剂,它可引发对非复制型抗原的全身和粘膜CTL记忆,并在呼吸道中产生基于CTL的针对甲型流感病毒的保护性异亚型免疫。此外,本手稿中的研究结果为呼吸道中全身和保护性记忆CTL的诱导和编程的机制及因素提供了关键见解。

https://cdn.ncbi.nlm.nih.gov/pmc/blobs/2889/5173246/a663ac35d677/ppat.1006064.g001.jpg

文献AI研究员

20分钟写一篇综述,助力文献阅读效率提升50倍。

立即体验

用中文搜PubMed

大模型驱动的PubMed中文搜索引擎

马上搜索

文档翻译

学术文献翻译模型,支持多种主流文档格式。

立即体验