Suppr超能文献

两例非囊性纤维化(CF)支气管扩张合并变应性支气管肺曲霉病。

Two cases of non-cystic fibrosis (CF) bronchiectasis with allergic bronchopulmonary aspergillosis.

作者信息

De Hriday, Azad Syed Md, Giri Prabhas P, Pal Priyankar, Ghosh Apurba, Maitra Anirban

机构信息

Institute of Child Health, Kolkata, India.

Royal Manchester Children's Hospital, United Kingdom.

出版信息

Respir Med Case Rep. 2016 Dec 19;20:68-71. doi: 10.1016/j.rmcr.2016.12.005. eCollection 2017.

Abstract

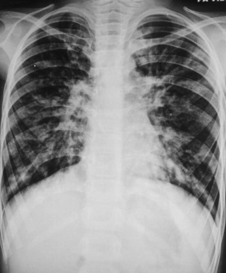
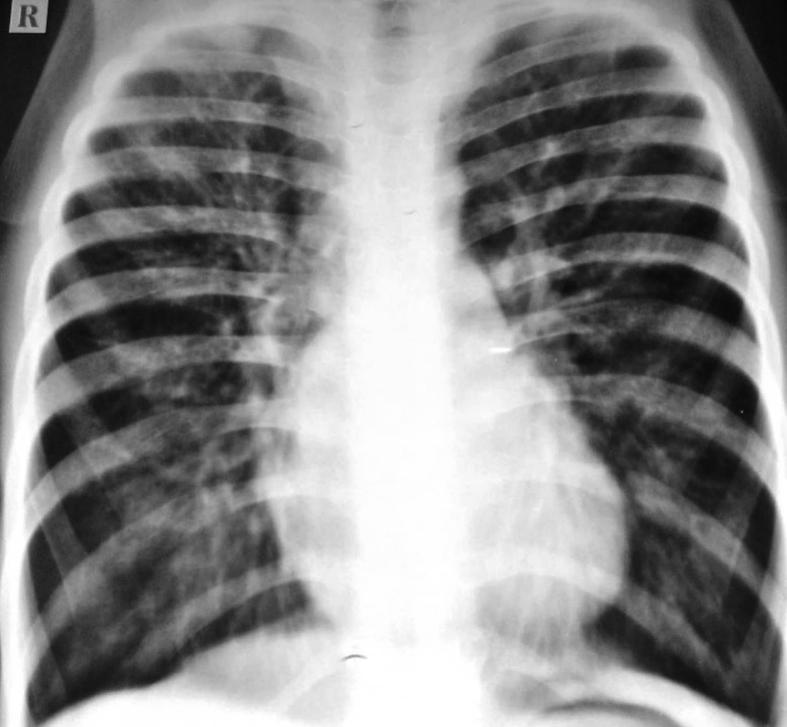
Allergic bronchopulmonary aspergillosis (ABPA) is a complex hypersensitivity reaction in patients with asthma or cystic fibrosis (CF), which is associated with bronchi colonized by the fungus Aspergillus species, most often Aspergillus fumigatus. ABPA is an important consideration for asthmatics that do not respond to asthma management or with recurrent chest infections and deteriorating lung function in children with cystic fibrosis. We present two cases of non CF bronchiectasis associated with ABPA who presented to our hospital with recurrent hospitalisations of undiagnosed aetiology.

摘要

变应性支气管肺曲霉病(ABPA)是哮喘或囊性纤维化(CF)患者发生的一种复杂的超敏反应,与曲霉菌属真菌(最常见的是烟曲霉)定植于支气管有关。ABPA是那些哮喘治疗无反应或反复出现肺部感染且肺功能恶化的囊性纤维化儿童哮喘患者需要重点考虑的疾病。我们报告两例与ABPA相关的非CF支气管扩张症患者,他们因病因不明反复住院而前来我院就诊。

https://cdn.ncbi.nlm.nih.gov/pmc/blobs/5c78/5196242/ed39ab379163/gr1.jpg

文献AI研究员

20分钟写一篇综述,助力文献阅读效率提升50倍。

立即体验

用中文搜PubMed

大模型驱动的PubMed中文搜索引擎

马上搜索

文档翻译

学术文献翻译模型,支持多种主流文档格式。

立即体验