Suppr超能文献

艾塞那肽-4与脂肪来源干细胞联合使用可促进血管生成并改善糖尿病伤口愈合。

Exendin-4 in combination with adipose-derived stem cells promotes angiogenesis and improves diabetic wound healing.

作者信息

Seo Eunhui, Lim Jae Soo, Jun Jin-Bum, Choi Woohyuk, Hong In-Sun, Jun Hee-Sook

机构信息

College of Pharmacy and Gachon Institute of Pharmaceutical Science, Gachon University, Incheon, 21936, Republic of Korea.

Lee Gil Ya Cancer and Diabetes Institute, Gachon University, Incheon, 21999, Republic of Korea.

出版信息

J Transl Med. 2017 Feb 15;15(1):35. doi: 10.1186/s12967-017-1145-4.

Abstract

BACKGROUND

Diminished wound healing is a major complication of diabetes mellitus and can lead to foot ulcers. However, there are limited therapeutic methods to treat this condition. Exendin-4 (Ex-4), a glucagon-like peptide-1 receptor agonist, is known to have many beneficial effects on diabetes. In addition, mesenchymal stem cells are known to have wound healing effects. We investigated the effects of Ex-4 in combination with human adipose tissue-derived stem cells (ADSCs) on diabetic wound healing in a diabetic animal model.

METHODS

Diabetic db/db (blood glucose levels, >500 mg/dl) or C57BL/6 mice were subjected to wounding on the skin of the back. One day after wounding, each wound received ADSCs (2.5 × 10 cells) injected intradermally around the wound and/or Ex-4 (50 μl of 100 nM Ex-4) topically applied on the wound with a fine brush daily. Wound size was monitored and wound histology was examined. Human endothelial cells and keratinocyte cells were used to assess angiogenesis and vascular endothelial growth factor expression in vitro.

RESULTS

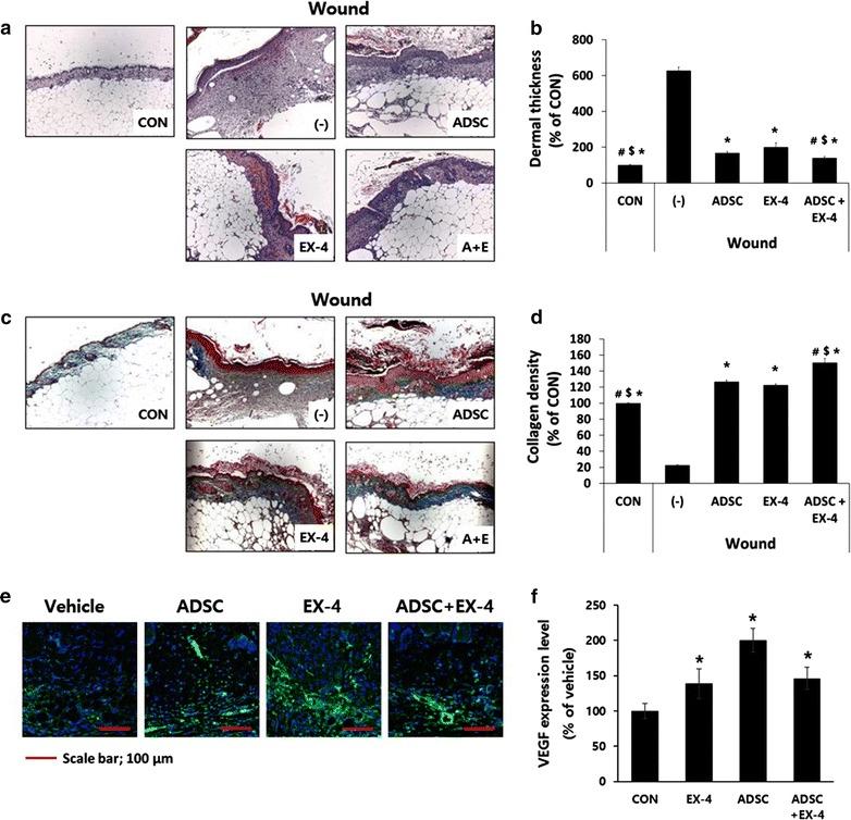
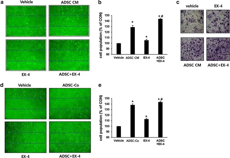
Topical administration of Ex-4 or injection of ADSCs resulted in a rapid reduction of wound size in both diabetic and normoglycemic animals compared with vehicle treatment. Histological analysis also showed rapid skin reconstruction in Ex-4-treated or ADSC-injected wounds. A combination of Ex-4 and ADSCs showed a significantly better therapeutic effect over either treatment alone. In vitro angiogenesis assays showed that both Ex-4 and ADSC-conditioned media (CM) treatment improved migration, invasion and proliferation of human endothelial cells. ADSC-CM also increased migration and proliferation of human keratinocytes. In addition, both Ex-4 and ADSC-CM increased the expression of vascular endothelial growth factor. Co-culture with ADSCs increased migration and proliferation of these cells similar to that found after ADSC-CM treatment.

CONCLUSIONS

We suggest that Ex-4 itself is effective for the treatment of diabetic skin wounds, and a combination of topical treatment of Ex-4 and injection of ADSCs has a better therapeutic effect. Thus, a combination of Ex-4 and ADSCs might be an effective therapeutic option for the treatment of diabetic wounds, such as foot ulcers.

摘要

背景

伤口愈合能力下降是糖尿病的主要并发症之一,可导致足部溃疡。然而,治疗这种情况的方法有限。艾塞那肽-4(Ex-4)是一种胰高血糖素样肽-1受体激动剂,已知对糖尿病有许多有益作用。此外,间充质干细胞已知具有促进伤口愈合的作用。我们在糖尿病动物模型中研究了Ex-4与人脂肪组织来源的干细胞(ADSCs)联合应用对糖尿病伤口愈合的影响。

方法

将糖尿病db/db小鼠(血糖水平>500mg/dl)或C57BL/6小鼠背部皮肤进行创伤。创伤后一天,每个伤口在伤口周围皮内注射ADSCs(2.5×10个细胞)和/或每天用细刷在伤口上局部涂抹Ex-4(50μl 100nM的Ex-4)。监测伤口大小并检查伤口组织学。使用人内皮细胞和角质形成细胞在体外评估血管生成和血管内皮生长因子表达。

结果

与赋形剂治疗相比,局部应用Ex-4或注射ADSCs可使糖尿病和血糖正常的动物伤口大小迅速减小。组织学分析还显示,Ex-4治疗组或ADSCs注射组伤口皮肤重建迅速。Ex-4和ADSCs联合应用的治疗效果明显优于单独使用任何一种治疗方法。体外血管生成试验表明,Ex-4和ADSCs条件培养基(CM)处理均能改善人内皮细胞的迁移、侵袭和增殖。ADSCs-CM还增加了人角质形成细胞的迁移和增殖。此外,Ex-4和ADSCs-CM均增加了血管内皮生长因子的表达。与ADSCs共培养可增加这些细胞的迁移和增殖,类似于ADSCs-CM处理后的情况。

结论

我们认为Ex-4本身对糖尿病皮肤伤口的治疗有效,Ex-4局部治疗与ADSCs注射联合应用具有更好的治疗效果。因此,Ex-4和ADSCs联合应用可能是治疗糖尿病伤口(如足部溃疡)的有效治疗选择。

https://cdn.ncbi.nlm.nih.gov/pmc/blobs/abfd/5311833/04ce316d226e/12967_2017_1145_Fig1_HTML.jpg

文献AI研究员

20分钟写一篇综述,助力文献阅读效率提升50倍。

立即体验

用中文搜PubMed

大模型驱动的PubMed中文搜索引擎

马上搜索

文档翻译

学术文献翻译模型,支持多种主流文档格式。

立即体验