Suppr超能文献

将大肠杆菌信号序列用作通用的包涵体标签。

Application of an E. coli signal sequence as a versatile inclusion body tag.

作者信息

Jong Wouter S P, Vikström David, Houben Diane, van den Berg van Saparoea H Bart, de Gier Jan-Willem, Luirink Joen

机构信息

Abera Bioscience AB, 11145, Stockholm, Sweden.

Department of Molecular Cell Biology, Section Molecular Microbiology, Faculty of Earth and Life Sciences, VU University, De Boelelaan 1085, 1081 HV, Amsterdam, The Netherlands.

出版信息

Microb Cell Fact. 2017 Mar 21;16(1):50. doi: 10.1186/s12934-017-0662-4.

Abstract

BACKGROUND

Heterologous protein production in Escherichia coli often suffers from bottlenecks such as proteolytic degradation, complex purification procedures and toxicity towards the expression host. Production of proteins in an insoluble form in inclusion bodies (IBs) can alleviate these problems. Unfortunately, the propensity of heterologous proteins to form IBs is variable and difficult to predict. Hence, fusing the target protein to an aggregation prone polypeptide or IB-tag is a useful strategy to produce difficult-to-express proteins in an insoluble form.

RESULTS

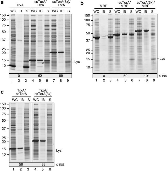
When screening for signal sequences that mediate optimal targeting of heterologous proteins to the periplasmic space of E. coli, we observed that fusion to the 39 amino acid signal sequence of E. coli TorA (ssTorA) did not promote targeting but rather directed high-level expression of the human proteins hEGF, Pla2 and IL-3 in IBs. Further analysis revealed that ssTorA even mediated IB formation of the highly soluble endogenous E. coli proteins TrxA and MBP. The ssTorA also induced aggregation when fused to the C-terminus of target proteins and appeared functional as IB-tag in E. coli K-12 as well as B strains. An additive effect on IB-formation was observed upon fusion of multiple ssTorA sequences in tandem, provoking almost complete aggregation of TrxA and MBP. The ssTorA-moiety was successfully used to produce the intrinsically unstable hEGF and the toxic fusion partner SymE, demonstrating its applicability as an IB-tag for difficult-to-express and toxic proteins.

CONCLUSIONS

We present proof-of-concept for the use of ssTorA as a small, versatile tag for robust E. coli-based expression of heterologous proteins in IBs.

摘要

背景

在大肠杆菌中生产异源蛋白常常面临诸如蛋白水解降解、复杂的纯化程序以及对表达宿主有毒性等瓶颈问题。以不溶性形式在包涵体(IBs)中生产蛋白可以缓解这些问题。不幸的是,异源蛋白形成包涵体的倾向是可变的且难以预测。因此,将目标蛋白与易于聚集的多肽或包涵体标签融合是一种以不溶性形式生产难以表达的蛋白的有用策略。

结果

在筛选介导异源蛋白最佳靶向至大肠杆菌周质空间的信号序列时,我们观察到与大肠杆菌TorA的39个氨基酸信号序列(ssTorA)融合并未促进靶向,而是导致人蛋白hEGF、Pla2和IL-3在包涵体中高水平表达。进一步分析表明,ssTorA甚至介导了高度可溶的大肠杆菌内源蛋白TrxA和MBP形成包涵体。当与目标蛋白的C末端融合时,ssTorA也诱导聚集,并且在大肠杆菌K-12以及B菌株中作为包涵体标签发挥作用。串联融合多个ssTorA序列时观察到对包涵体形成有累加效应,促使TrxA和MBP几乎完全聚集。成功利用ssTorA部分生产了本质上不稳定的hEGF和有毒的融合伴侣SymE,证明了其作为难以表达和有毒蛋白的包涵体标签的适用性。

结论

我们提供了概念验证,即使用ssTorA作为一种小型通用标签,用于在大肠杆菌中以包涵体形式强劲表达异源蛋白。

https://cdn.ncbi.nlm.nih.gov/pmc/blobs/fa8b/5359840/b57647756517/12934_2017_662_Fig1_HTML.jpg

文献AI研究员

20分钟写一篇综述,助力文献阅读效率提升50倍。

立即体验

用中文搜PubMed

大模型驱动的PubMed中文搜索引擎

马上搜索

文档翻译

学术文献翻译模型,支持多种主流文档格式。

立即体验