Suppr超能文献

精神分裂症相关破坏蛋白1对正常下丘脑-垂体-肾上腺(HPI)轴功能至关重要。

Disrupted-in-Schizophrenia-1 is essential for normal hypothalamic-pituitary-interrenal (HPI) axis function.

作者信息

Eachus Helen, Bright Charlotte, Cunliffe Vincent T, Placzek Marysia, Wood Jonathan D, Watt Penelope J

机构信息

Department of Animal and Plant Sciences, University of Sheffield, Western Bank, Sheffield S10 2TN, UK.

The Bateson Centre, Department of Biomedical Science, Firth Court, Western Bank, Sheffield S10 2TN, UK.

出版信息

Hum Mol Genet. 2017 Jun 1;26(11):1992-2005. doi: 10.1093/hmg/ddx076.

Abstract

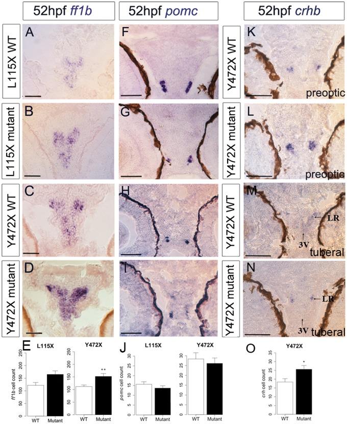
Psychiatric disorders arise due to an interplay of genetic and environmental factors, including stress. Studies in rodents have shown that mutants for Disrupted-In-Schizophrenia-1 (DISC1), a well-accepted genetic risk factor for mental illness, display abnormal behaviours in response to stress, but the mechanisms through which DISC1 affects stress responses remain poorly understood. Using two lines of zebrafish homozygous mutant for disc1, we investigated behaviour and functioning of the hypothalamic-pituitary-interrenal (HPI) axis, the fish equivalent of the hypothalamic-pituitary-adrenal (HPA) axis. Here, we show that the role of DISC1 in stress responses is evolutionarily conserved and that DISC1 is essential for normal functioning of the HPI axis. Adult zebrafish homozygous mutant for disc1 show aberrant behavioural responses to stress. Our studies reveal that in the embryo, disc1 is expressed in neural progenitor cells of the hypothalamus, a conserved region of the vertebrate brain that centrally controls responses to environmental stressors. In disc1 mutant embryos, proliferating rx3+ hypothalamic progenitors are not maintained normally and neuronal differentiation is compromised: rx3-derived ff1b+ neurons, implicated in anxiety-related behaviours, and corticotrophin releasing hormone (crh) neurons, key regulators of the stress axis, develop abnormally, and rx3-derived pomc+ neurons are disorganised. Abnormal hypothalamic development is associated with dysfunctional behavioural and neuroendocrine stress responses. In contrast to wild type siblings, disc1 mutant larvae show altered crh levels, fail to upregulate cortisol levels when under stress and do not modulate shoal cohesion, indicative of abnormal social behaviour. These data indicate that disc1 is essential for normal development of the hypothalamus and for the correct functioning of the HPA/HPI axis.

摘要

精神疾病是由遗传和环境因素(包括压力)相互作用引起的。对啮齿动物的研究表明,精神分裂症相关破坏基因1(DISC1)的突变体是一种公认的精神疾病遗传风险因素,其对应激会表现出异常行为,但DISC1影响应激反应的机制仍知之甚少。我们使用两条disc1基因纯合突变的斑马鱼品系,研究了下丘脑-垂体-肾间(HPI)轴(鱼类中相当于下丘脑-垂体-肾上腺(HPA)轴)的行为和功能。在此,我们表明DISC1在应激反应中的作用在进化上是保守的,并且DISC1对HPI轴的正常功能至关重要。成年disc1基因纯合突变的斑马鱼对应激表现出异常的行为反应。我们的研究表明,在胚胎中,disc1在下丘脑的神经祖细胞中表达,下丘脑是脊椎动物大脑中一个保守区域,可集中控制对环境应激源的反应。在disc1突变胚胎中,增殖的rx3 +下丘脑祖细胞不能正常维持,神经元分化受损:与焦虑相关行为有关的rx3衍生的ff1b +神经元以及应激轴的关键调节因子促肾上腺皮质激素释放激素(crh)神经元发育异常,rx3衍生的pomc +神经元排列紊乱。下丘脑发育异常与行为和神经内分泌应激反应功能失调有关。与野生型同胞相比,disc1突变幼虫的crh水平改变,在应激时未能上调皮质醇水平,并且不能调节鱼群凝聚力,这表明存在异常的社会行为。这些数据表明,disc1对于下丘脑的正常发育以及HPA / HPI轴的正确功能至关重要。

https://cdn.ncbi.nlm.nih.gov/pmc/blobs/74f8/5437527/ec92a292ab8f/ddx076f1.jpg

文献AI研究员

20分钟写一篇综述,助力文献阅读效率提升50倍。

立即体验

用中文搜PubMed

大模型驱动的PubMed中文搜索引擎

马上搜索

文档翻译

学术文献翻译模型,支持多种主流文档格式。

立即体验