Suppr超能文献

秀丽隐杆线虫中对病毒感染的一种进化保守的转录反应。

An evolutionarily conserved transcriptional response to viral infection in Caenorhabditis nematodes.

作者信息

Chen Kevin, Franz Carl J, Jiang Hongbing, Jiang Yanfang, Wang David

机构信息

Departments of Molecular Microbiology and Pathology and Immunology, Washington University in St. Louis, School of Medicine, 660 S. Euclid Avenue, St, Louis, MO, USA.

出版信息

BMC Genomics. 2017 Apr 17;18(1):303. doi: 10.1186/s12864-017-3689-3.

Abstract

BACKGROUND

Caenorhabditis elegans is a powerful model organism for probing many biological processes including host-pathogen interactions with bacteria and fungi. The recent identification of nematode viruses that naturally infect C. elegans and Caenorhabditis briggsae provides a unique opportunity to define host-virus interactions in these model hosts.

RESULTS

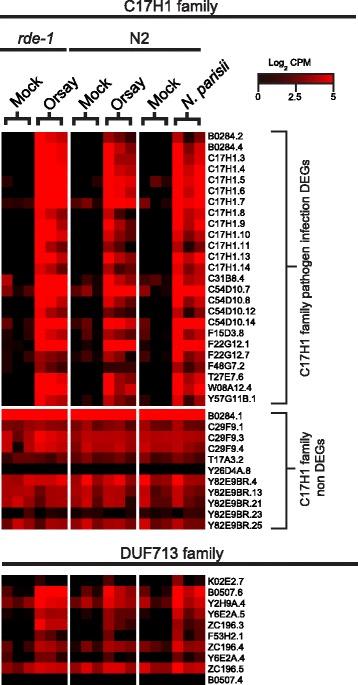
We analyzed the transcriptional response of pathogen infected C. elegans and C. briggsae by RNA-seq. We identified a total of 320 differentially expressed genes (DEGs) in C. elegans following Orsay virus infection. The DEGs of known function were enriched for ubiquitin ligase related genes; however, the majority of the genes were of unknown function. Interestingly, many DEGs that responded to Orsay virus infection were similar to those induced by Nematocida parisii infection, which is a natural microsporidia pathogen of C. elegans that like Orsay virus infects intestinal cells. Furthermore, comparison of the Orsay virus DEGs in C. elegans to Santeuil virus DEGs in C. briggsae identified 58 C. elegans genes whose orthologs were likewise differentially expressed in C. briggsae, thereby defining an evolutionarily conserved response to viral infection.

CONCLUSIONS

The two different species C. elegans and C. briggsae, which diverged ~18 million years ago, share a common set of transcriptionally responsive genes to viral infection. Furthermore, a subset of these genes were also differentially expressed following infection by a eukaryotic pathogen, N. parisii, suggesting that these genes may constitute a broader pan-microbial response to infection.

摘要

背景

秀丽隐杆线虫是一种强大的模式生物,可用于探究包括宿主与细菌和真菌的病原体相互作用在内的许多生物学过程。最近对线虫病毒的鉴定,这些病毒可自然感染秀丽隐杆线虫和briggsae线虫,为在这些模式宿主中定义宿主 - 病毒相互作用提供了独特的机会。

结果

我们通过RNA测序分析了病原体感染的秀丽隐杆线虫和briggsae线虫的转录反应。我们在Orsay病毒感染后的秀丽隐杆线虫中总共鉴定出320个差异表达基因(DEG)。已知功能的DEG富含泛素连接酶相关基因;然而,大多数基因功能未知。有趣的是,许多对Orsay病毒感染有反应的DEG与由Nematocida parisii感染诱导的DEG相似,Nematocida parisii是秀丽隐杆线虫的一种天然微孢子虫病原体,与Orsay病毒一样感染肠道细胞。此外,将秀丽隐杆线虫中的Orsay病毒DEG与briggsae线虫中的Santeuil病毒DEG进行比较,鉴定出58个秀丽隐杆线虫基因,其直系同源基因在briggsae线虫中同样差异表达,从而确定了对病毒感染的进化保守反应。

结论

在约1800万年前分化的秀丽隐杆线虫和briggsae线虫这两个不同物种,对病毒感染共享一组共同的转录反应基因。此外,这些基因中的一部分在真核病原体N. parisii感染后也差异表达,表明这些基因可能构成对感染的更广泛的泛微生物反应。

https://cdn.ncbi.nlm.nih.gov/pmc/blobs/5790/5392922/7a4536f6c70e/12864_2017_3689_Fig1_HTML.jpg

文献AI研究员

20分钟写一篇综述,助力文献阅读效率提升50倍。

立即体验

用中文搜PubMed

大模型驱动的PubMed中文搜索引擎

马上搜索

文档翻译

学术文献翻译模型,支持多种主流文档格式。

立即体验