Suppr超能文献

伊朗基因型禽传染性支气管炎病毒(IR-1)的致病性研究

Pathogenicity study of Iranian genotype of avian infectious bronchitis virus (IR-1).

作者信息

Najafi Hamideh, Ghalyanchi Langeroudi Arash, Hashemzadeh Masoud, Karimi Vahid, Madadgar Omid, Khaltabadi Farahani Reza, Ghafouri Seyed Ali, Maghsoudloo Hossein, Seifouri Parvaneh, Madhi Ali

机构信息

Department of Microbiology and Immunology; Faculty of Veterinary Medicine, University of Tehran, Tehran, Iran.

Department of Research and Production of Poultry Viral Vaccine, Razi Vaccine and Serum Research Institute, Karaj,Iran.

出版信息

Vet Res Forum. 2017 Winter;8(1):35-41. Epub 2017 Mar 15.

Abstract

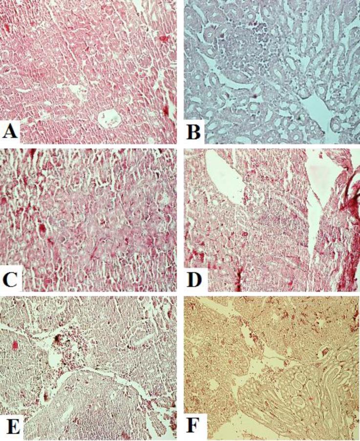
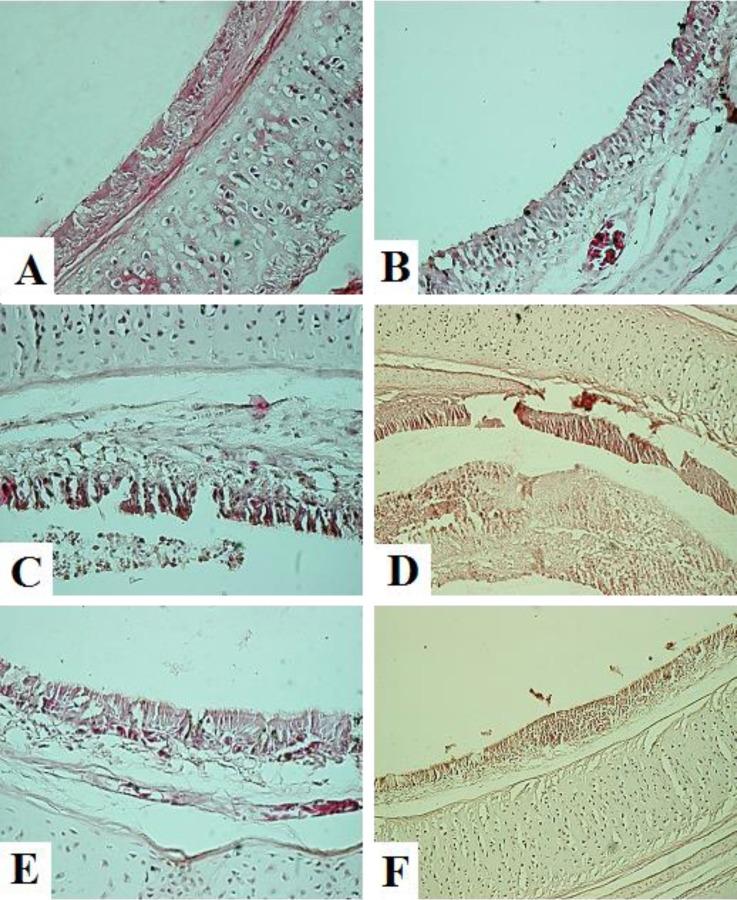
Avian infectious bronchitis (IB) is a major cause of economic losses in poultry industry. The IB virus primarily affects respiratory tract, but various strains differ in their tropism for other target organs such as kidney and alimentary tract. The objective of this study was to estimate the pathogenicity of Iranian IBV variant (IR-1), which is limited exclusively to Iran. Specific pathogen free chicks were inoculated intranasally. Sera, fecal swabs and different tissue samples were collected on different days post infection (DPI). Clinical signs, gross pathology and histological changes were recorded. The viral load was quantified in the RNA extractions from different tissue samples using real-time PCR. Anti-IBV antibodies were detected in serum samples. The IgG antibody were found on 21 and 28 DPI. Severe histological lesions were observed in the trachea and lung while the lesions in kidney were appeared to be milder. Viral RNA was detected in all tested tissues from 1 DPI to the last day of the experiment. The highest viral load was measured in the trachea and feces on 1 and 5 DPI, respectively. It can be concluded the IR-1 had broad tropism for respiratory tract, digestive system, and renal tissue, reflecting its epitheliotropic nature, but it caused the most severe lesions in the respiratory tract. This was the first pathogenicity study of Iranian IR-1 IBV. Further knowledge of IBV pathogenesis provides the groundwork to inform more effective prevention practices.

摘要

禽传染性支气管炎(IB)是家禽业经济损失的主要原因。IB病毒主要影响呼吸道,但不同毒株对肾脏和消化道等其他靶器官的嗜性有所不同。本研究的目的是评估仅在伊朗存在的伊朗IBV变种(IR-1)的致病性。将无特定病原体的雏鸡经鼻接种。在感染后不同天数(DPI)采集血清、粪便拭子和不同组织样本。记录临床症状、大体病理和组织学变化。使用实时PCR对不同组织样本的RNA提取物中的病毒载量进行定量。在血清样本中检测抗IBV抗体。在21和28 DPI时发现IgG抗体。在气管和肺中观察到严重的组织学病变,而肾脏中的病变似乎较轻。从1 DPI到实验最后一天,在所有测试组织中均检测到病毒RNA。在1和5 DPI时,分别在气管和粪便中测得最高病毒载量。可以得出结论,IR-1对呼吸道、消化系统和肾脏组织具有广泛嗜性,反映了其嗜上皮细胞的特性,但它在呼吸道中引起的病变最为严重。这是对伊朗IR-1 IBV的首次致病性研究。对IBV发病机制的进一步了解为更有效的预防措施提供了基础。

https://cdn.ncbi.nlm.nih.gov/pmc/blobs/8013/5413309/08745fac91d6/vrf-8-035-g001.jpg

文献AI研究员

20分钟写一篇综述,助力文献阅读效率提升50倍。

立即体验

用中文搜PubMed

大模型驱动的PubMed中文搜索引擎

马上搜索

文档翻译

学术文献翻译模型,支持多种主流文档格式。

立即体验