Suppr超能文献

阿奇霉素与甲氧苄啶/磺胺甲恶唑治疗弓形虫性视网膜脉络膜炎的前瞻性随机试验。

A prospective randomized trial of azithromycin versus trimethoprim/sulfamethoxazole in treatment of toxoplasmic retinochoroiditis.

作者信息

Lashay Alireza, Mirshahi Ahmad, Parandin Najaf, Riazi Esfahani Hamid, Mazloumi Mehdi, Reza Lashay Mohammad, Johari Mohammad Karim, Ashrafi Elham

机构信息

Eye Research Center, Farabi Eye Hospital, Tehran University of Medical Sciences, Tehran, Iran.

出版信息

J Curr Ophthalmol. 2016 Dec 28;29(2):120-125. doi: 10.1016/j.joco.2016.10.002. eCollection 2017 Jun.

Abstract

PURPOSE

To assess the efficacy of oral azithromycin in the treatment of toxoplasmic retinochoroiditis.

METHODS

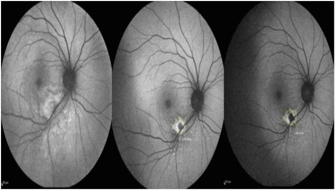
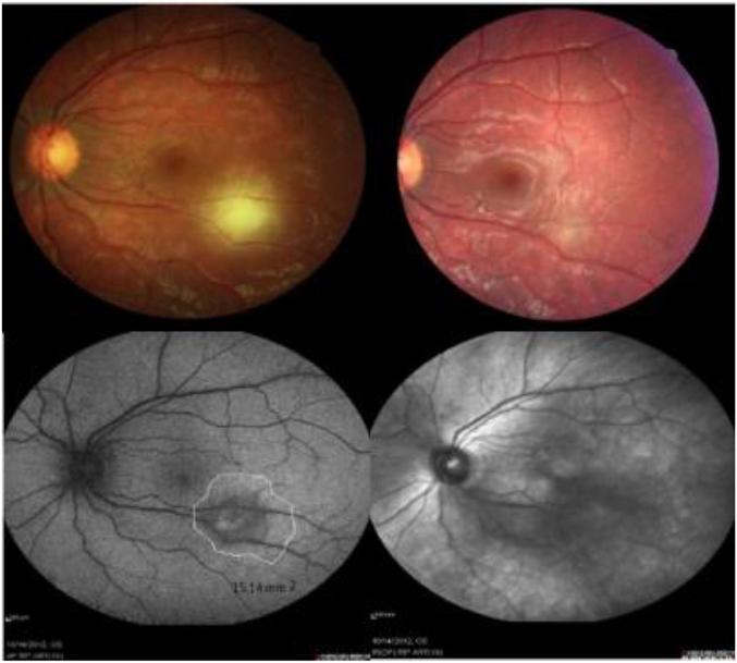
A randomized interventional comparative study was conducted on 14 patients with ocular toxoplasmosis who were treated with oral azithromycin and 13 patients who were treated with oral trimethoprim/sulfamethoxazole for 6-12 weeks. The achievement of treatment criteria in the two groups and lesion size reduction were considered as primary outcome measures.

RESULTS

The resolution of inflammatory activity, decrease in the size of retinochoroidal lesions, and final best corrected visual acuity (BCVA) did not differ between the two treatment groups. The lesion size declined significantly in all patients ( = 0.001). There was no significant difference in the reduction of the size of retinal lesions between the two treatment groups ( = 0.17). Within each group, there was a significant improvement in BCVA after treatment; BCVA increased by 0.24 logMAR in the azithromycin group ( = 0.001) and by 0.3 logMAR in the trimethoprim/sulfamethoxazole group ( = 0.001).

CONCLUSIONS

Drug efficacy in terms of reducing the size of retinal lesions and visual improvement was similar in a regimen of trimethoprim/sulfamethoxazole or azithromycin treatment. Therefore, if confirmed with further studies, therapy with azithromycin seems to be an acceptable alternative for the treatment of ocular toxoplasmosis.

摘要

目的

评估口服阿奇霉素治疗弓形虫性视网膜脉络膜炎的疗效。

方法

对14例接受口服阿奇霉素治疗的眼部弓形虫病患者和13例接受口服甲氧苄啶/磺胺甲恶唑治疗6 - 12周的患者进行了一项随机干预性对照研究。将两组达到治疗标准的情况和病变大小的缩小作为主要观察指标。

结果

两个治疗组在炎症活动消退、视网膜脉络膜病变大小减小以及最终最佳矫正视力(BCVA)方面没有差异。所有患者的病变大小均显著下降(P = 0.001)。两个治疗组在视网膜病变大小缩小方面没有显著差异(P = 0.17)。在每组内,治疗后BCVA均有显著改善;阿奇霉素组的BCVA提高了0.24 logMAR(P = 0.001),甲氧苄啶/磺胺甲恶唑组提高了0.3 logMAR(P = 0.001)。

结论

在视网膜病变大小缩小和视力改善方面,甲氧苄啶/磺胺甲恶唑或阿奇霉素治疗方案的药物疗效相似。因此,如果进一步研究得到证实,阿奇霉素治疗似乎是治疗眼部弓形虫病的一种可接受的替代方法。

https://cdn.ncbi.nlm.nih.gov/pmc/blobs/8459/5463001/0350462020c7/gr1.jpg

文献AI研究员

20分钟写一篇综述,助力文献阅读效率提升50倍。

立即体验

用中文搜PubMed

大模型驱动的PubMed中文搜索引擎

马上搜索

文档翻译

学术文献翻译模型,支持多种主流文档格式。

立即体验