Suppr超能文献

转录因子Hlx通过Prdm16介导的共激活作用控制白色脂肪向棕色脂肪的系统性转变。

Transcription factor Hlx controls a systematic switch from white to brown fat through Prdm16-mediated co-activation.

作者信息

Huang Lei, Pan Dongning, Chen Qingbo, Zhu Lihua J, Ou Jianhong, Wabitsch Martin, Wang Yong-Xu

机构信息

Department of Molecular, Cell and Cancer Biology, Program in Molecular Medicine, University of Massachusetts Medical School, 364 Plantation Street, Worcester, MA, 01605, USA.

Department of Pediatrics and Adolescent Medicine, Division of Pediatric Endocrinology and Diabetes, University Medical Center Ulm, Ulm, 89075, Germany.

出版信息

Nat Commun. 2017 Jul 12;8(1):68. doi: 10.1038/s41467-017-00098-2.

Abstract

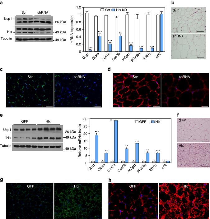
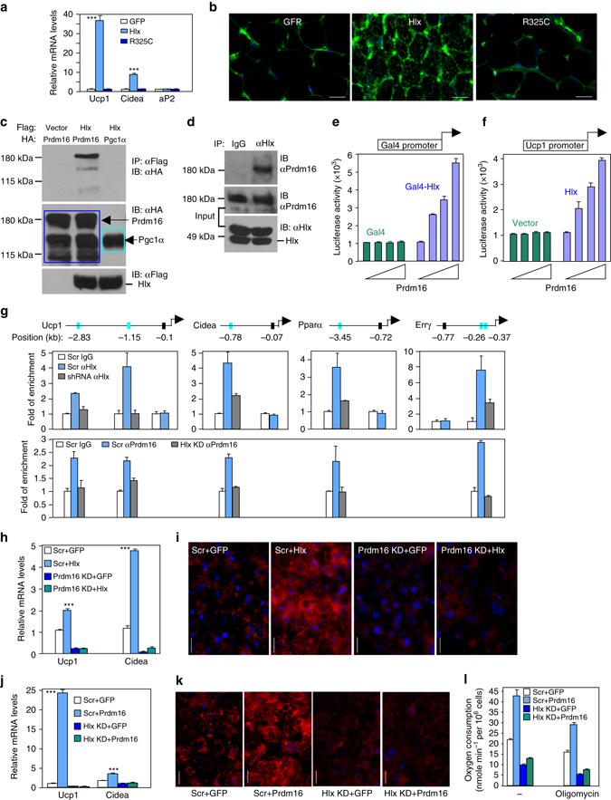
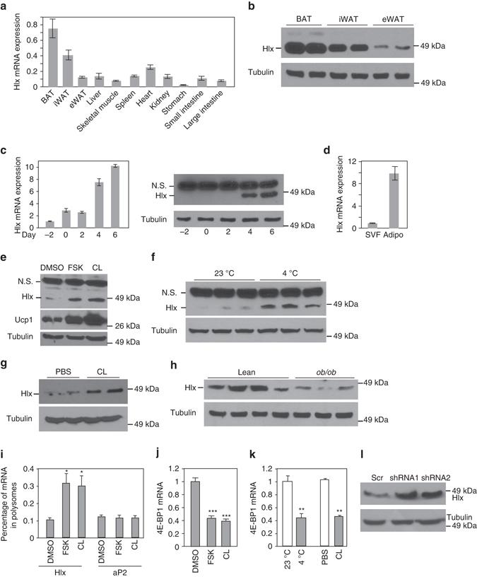
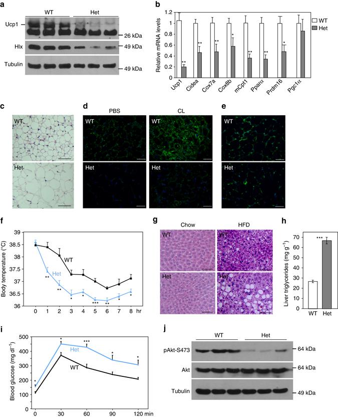
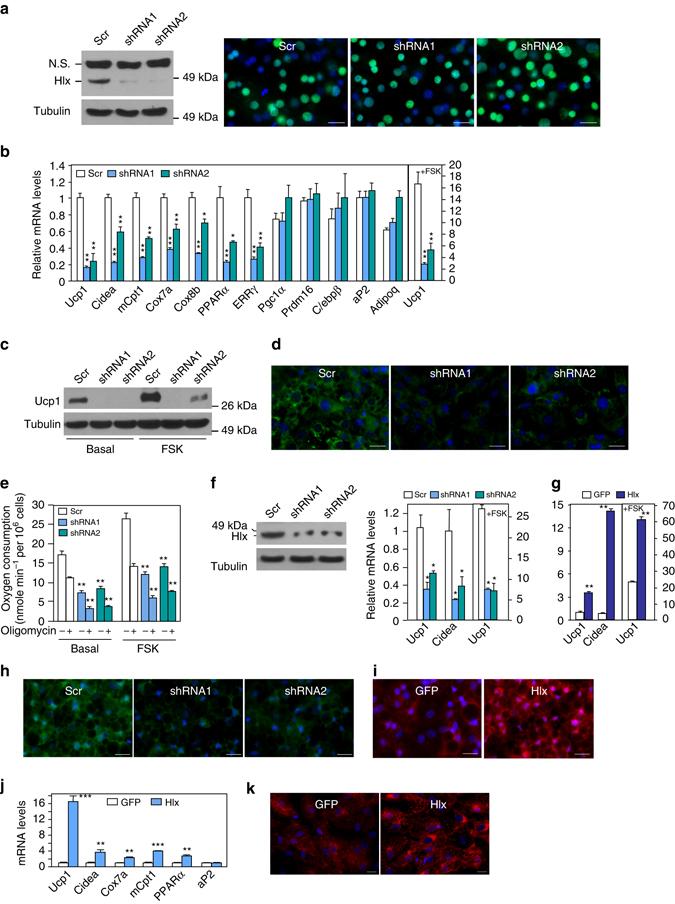
Browning of subcutaneous white fat (iWAT) involves several reprograming events, but the underlying mechanisms are incompletely understood. Here we show that the transcription factor Hlx is selectively expressed in brown adipose tissue (BAT) and iWAT, and is translationally upregulated by β3-adrenergic signaling-mediated suppression of the translational inhibitor 4E-BP1. Hlx interacts with and is co-activated by Prdm16 to control BAT-selective gene expression and mitochondrial biogenesis. Hlx heterozygous knockout mice have defects in brown-like adipocyte formation in iWAT, and develop glucose intolerance and high fat-induced hepatic steatosis. Conversely, transgenic expression of Hlx at a physiological level drives a full program of thermogenesis and converts iWAT to brown-like fat, which improves glucose homeostasis and prevents obesity and hepatic steatosis. The adipose remodeling phenotypes are recapitulated by fat-specific injection of Hlx knockdown and overexpression viruses, respectively. Our studies establish Hlx as a powerful regulator for systematic white adipose tissue browning and offer molecular insights into the underlying transcriptional mechanism.The transcriptional co-activator Prdm16 regulates browning of white adipose tissue (WAT). Here, the authors show that Prdm16 interacts with the transcription factor Hlx, which is stabilized in response to β3-adrenergic signaling, to increase thermogenic gene expression and mitochondrial biogenesis in subcutaneous WAT.

摘要

皮下白色脂肪(iWAT)的褐色化涉及多个重编程事件,但其潜在机制尚未完全明确。在此我们表明,转录因子Hlx在褐色脂肪组织(BAT)和iWAT中选择性表达,并通过β3 - 肾上腺素能信号介导的对翻译抑制剂4E - BP1的抑制作用而在翻译水平上上调。Hlx与Prdm16相互作用并被其共同激活,以控制BAT特异性基因表达和线粒体生物发生。Hlx杂合敲除小鼠的iWAT中褐色样脂肪细胞形成存在缺陷,并出现葡萄糖不耐受和高脂肪诱导的肝脂肪变性。相反,在生理水平上转基因表达Hlx可驱动完整的产热程序,并将iWAT转化为褐色样脂肪,从而改善葡萄糖稳态并预防肥胖和肝脂肪变性。脂肪特异性注射Hlx敲低和过表达病毒分别重现了脂肪重塑表型。我们的研究确立了Hlx作为系统性白色脂肪组织褐色化的强大调节因子,并为潜在的转录机制提供了分子见解。转录共激活因子Prdm16调节白色脂肪组织(WAT)的褐色化。在此,作者表明Prdm16与转录因子Hlx相互作用,Hlx在β3 - 肾上腺素能信号响应下稳定,从而增加皮下WAT中产热基因的表达和线粒体生物发生。

https://cdn.ncbi.nlm.nih.gov/pmc/blobs/ed27/5507986/07f22cf1011a/41467_2017_98_Fig1_HTML.jpg

文献AI研究员

20分钟写一篇综述,助力文献阅读效率提升50倍。

立即体验

用中文搜PubMed

大模型驱动的PubMed中文搜索引擎

马上搜索

文档翻译

学术文献翻译模型,支持多种主流文档格式。

立即体验