Suppr超能文献

p16(Ink4a)和衰老相关β半乳糖苷酶可在巨噬细胞中被诱导产生,作为对生理刺激的可逆反应的一部分。

p16(Ink4a) and senescence-associated β-galactosidase can be induced in macrophages as part of a reversible response to physiological stimuli.

作者信息

Hall Brandon M, Balan Vitaly, Gleiberman Anatoli S, Strom Evguenia, Krasnov Peter, Virtuoso Lauren P, Rydkina Elena, Vujcic Slavoljub, Balan Karina, Gitlin Ilya I, Leonova Katerina I, Consiglio Camila R, Gollnick Sandra O, Chernova Olga B, Gudkov Andrei V

机构信息

Everon Biosciences, Inc., Buffalo, NY 14203, USA.

Department of Cell Stress Biology, Roswell Park Cancer Institute, Buffalo, NY 14263, USA.

出版信息

Aging (Albany NY). 2017 Aug 2;9(8):1867-1884. doi: 10.18632/aging.101268.

Abstract

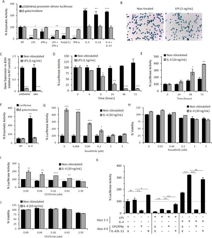
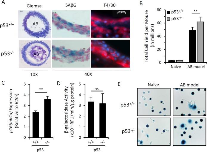
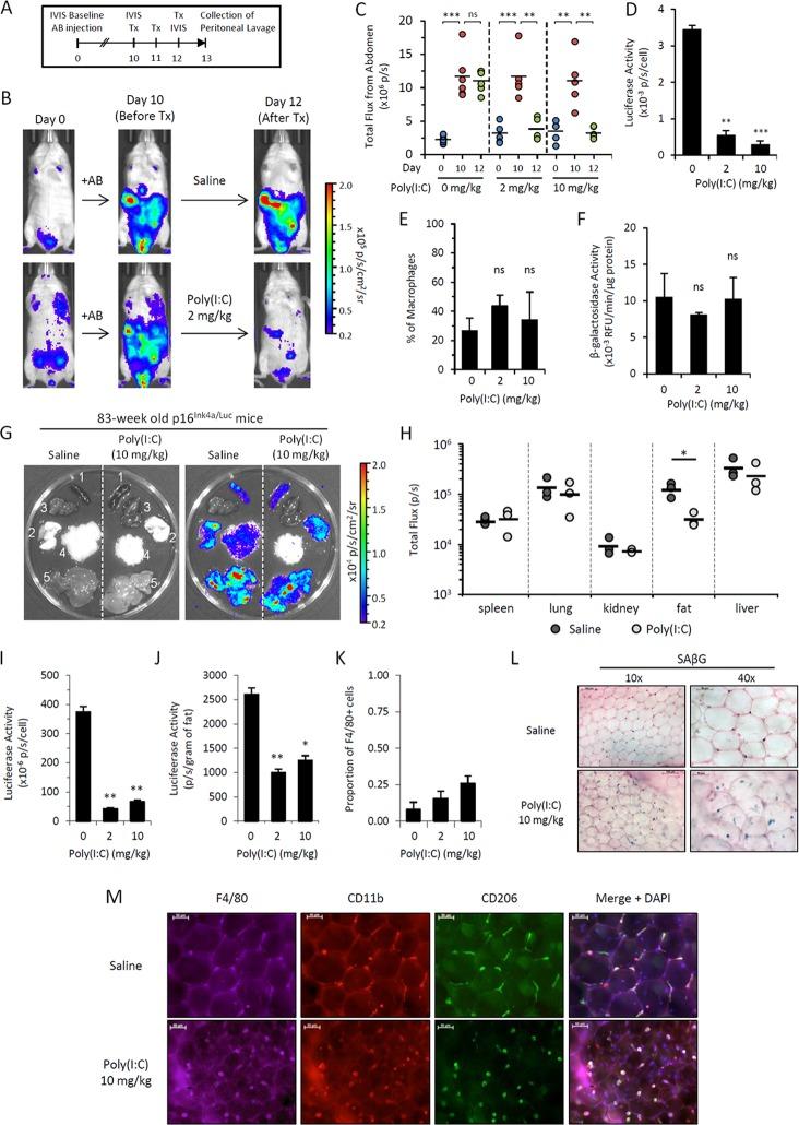
Constitutive expression, along with senescence-associated β-galactosidase (SAβG), are commonly accepted biomarkers of senescent cells (SCs). Recent reports attributed improvement of the healthspan of aged mice following -positive cell killing to the eradication of accumulated SCs. However, detection of /SAβG-positive macrophages in the adipose tissue of old mice and in the peritoneal cavity of young animals following injection of alginate-encapsulated SCs has raised concerns about the exclusivity of these markers for SCs. Here we report that expression of and SAβG in macrophages is acquired as part of a physiological response to immune stimuli rather than through senescence, consistent with reports that p16 plays a role in macrophage polarization and response. Unlike SCs, /SAβG-positive macrophages can be induced in p53-null mice. Macrophages, but not mesenchymal SCs, lose both markers in response to M1- [LPS, IFN-α, Poly(I:C)] and increase their expression in response to M2-inducing stimuli (IL-4, IL-13). Moreover, interferon-inducing agent Poly(I:C) dramatically reduced expression in our alginate bead model and in the adipose tissue of aged mice. These observations suggest that the antiaging effects following eradication of -positive cells may not be solely attributed to SCs but also to non-senescent /SAβG-positive macrophages.

摘要

与衰老相关的β-半乳糖苷酶(SAβG)一起,组成型表达是衰老细胞(SCs)普遍公认的生物标志物。最近的报告将清除积累的SCs后老年小鼠健康寿命的改善归因于对阳性细胞的清除。然而,在注射藻酸盐包封的SCs后,在老年小鼠的脂肪组织和幼龄动物的腹腔中检测到SAβG阳性巨噬细胞,这引发了人们对这些标志物对SCs的排他性的担忧。我们在此报告,巨噬细胞中p16和SAβG的表达是作为对免疫刺激的生理反应的一部分获得的,而不是通过衰老获得的,这与p16在巨噬细胞极化和反应中起作用的报道一致。与SCs不同,p16/SAβG阳性巨噬细胞可在p53基因敲除小鼠中诱导产生。巨噬细胞而非间充质SCs,在对M1诱导刺激(脂多糖、干扰素-α、聚肌苷酸-聚胞苷酸)的反应中失去这两种标志物,并在对M2诱导刺激(白细胞介素-4、白细胞介素-13)的反应中增加其表达。此外,干扰素诱导剂聚肌苷酸-聚胞苷酸在我们的藻酸盐珠模型和老年小鼠的脂肪组织中显著降低了p16的表达。这些观察结果表明,清除p16阳性细胞后的抗衰老作用可能不仅归因于SCs,还归因于非衰老的p16/SAβG阳性巨噬细胞。

https://cdn.ncbi.nlm.nih.gov/pmc/blobs/5e5d/5611982/cfbf86d2f17c/aging-09-1867-g001.jpg

文献AI研究员

20分钟写一篇综述,助力文献阅读效率提升50倍。

立即体验

用中文搜PubMed

大模型驱动的PubMed中文搜索引擎

马上搜索

文档翻译

学术文献翻译模型,支持多种主流文档格式。

立即体验