Suppr超能文献

胰岛素抵抗在D-半乳糖诱导的大鼠年龄相关性痴呆中的作用:二甲双胍和沙格列汀的保护作用

Involvement of insulin resistance in D-galactose-induced age-related dementia in rats: Protective role of metformin and saxagliptin.

作者信息

Kenawy Sara, Hegazy Rehab, Hassan Azza, El-Shenawy Siham, Gomaa Nawal, Zaki Hala, Attia Amina

机构信息

Pharmacology Department, Medical division, National Research Centre, Giza, Egypt.

Pathology Department, Faculty of Veterinary Medicine, Cairo University, Giza, Egypt.

出版信息

PLoS One. 2017 Aug 23;12(8):e0183565. doi: 10.1371/journal.pone.0183565. eCollection 2017.

Abstract

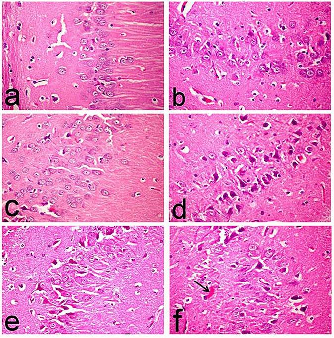
Age-related dementia is one of the most devastating disorders affecting the elderly. Recently, emerging data suggest that impaired insulin signaling is the major contributor in the development of Alzheimer's dementia (AD), which is the most common type of senile dementia. In the present study, we investigated the potential therapeutic effects of metformin (Met) and saxagliptin (Saxa), as insulin sensitizing agents, in a rat model of brain aging and AD using D-galactose (D-gal, 150 mg/kg/day, s.c. for 90 successive days). Six groups of adult male Wistar rats were used: normal, D-gal, Met (500 mg/kg/day, p.o), and Saxa (1 mg/kg/day, p.o) control groups, as well as D-gal/Met and D-gal/Sax treated groups. Impaired learning and memory function was observed in rats treated with D-gal using Morris water maze test. Biochemical and histopathological findings also revealed some characteristic changes of AD in the brain that include the increased content of acetylcholine, glutamate, and phosphorelated tau, as well as deposition of amyloid plaques and neurofibrillary tangles. Induction of insulin resistance in experimentally aged rats was evidenced by increased blood glycated hemoglobin, brain contents of insulin and receptors for advanced glycated end-products, as well as decreased brain insulin receptor level. Elevation of oxidative stress markers and TNF-α brain content was also demonstrated. Met and Saxa, with a preference to Met, restored the normal memory and learning functions in rats, improved D-gal-induced state of insulin resistance, oxidative stress and inflammation, and ameliorated the AD biochemical and histopathological alterations in brain tissues. Our findings suggest that D-gal model of aging results in a diminishing of learning and memory function by producing a state of impaired insulin signaling that causes a cascade of deleterious events like oxidative stress, inflammation, and tau hyper-phosphorylation. Reversing of these harmful effects by the use of insulin-sensitizing drugs like Met and Saxa suggests their involvement in alleviation insulin resistance as the underlying pathology of AD and hence their potential use as anti-dementia drugs.

摘要

年龄相关性痴呆是影响老年人的最具破坏性的疾病之一。最近,新出现的数据表明,胰岛素信号受损是阿尔茨海默病性痴呆(AD)发生发展的主要因素,AD是最常见的老年痴呆类型。在本研究中,我们使用D-半乳糖(D-gal,150mg/kg/天,皮下注射,连续90天),研究了作为胰岛素增敏剂的二甲双胍(Met)和沙格列汀(Saxa)在脑衰老和AD大鼠模型中的潜在治疗作用。使用了六组成年雄性Wistar大鼠:正常组、D-半乳糖组、Met(500mg/kg/天,口服)和Saxa(1mg/kg/天,口服)对照组,以及D-半乳糖/Met组和D-半乳糖/Sax治疗组。使用Morris水迷宫试验观察到用D-半乳糖处理的大鼠学习和记忆功能受损。生化和组织病理学结果还揭示了大脑中AD的一些特征性变化,包括乙酰胆碱、谷氨酸和磷酸化tau蛋白含量增加,以及淀粉样斑块和神经原纤维缠结的沉积。实验性衰老大鼠胰岛素抵抗的诱导表现为血液糖化血红蛋白、大脑胰岛素含量和晚期糖基化终产物受体增加,以及大脑胰岛素受体水平降低。还证实了氧化应激标志物和TNF-α脑含量升高。Met和Saxa,尤其是Met,恢复了大鼠的正常记忆和学习功能,改善了D-半乳糖诱导的胰岛素抵抗、氧化应激和炎症状态,并改善了脑组织中AD的生化和组织病理学改变。我们的研究结果表明,D-半乳糖衰老模型通过产生胰岛素信号受损状态导致学习和记忆功能减退,该状态会引发一系列有害事件,如氧化应激、炎症和tau蛋白过度磷酸化。使用Met和Saxa等胰岛素增敏药物逆转这些有害影响,表明它们参与减轻胰岛素抵抗,而胰岛素抵抗是AD的潜在病理,因此它们有可能用作抗痴呆药物。

https://cdn.ncbi.nlm.nih.gov/pmc/blobs/b31b/5568415/ff437c2fc805/pone.0183565.g001.jpg

文献AI研究员

20分钟写一篇综述,助力文献阅读效率提升50倍。

立即体验

用中文搜PubMed

大模型驱动的PubMed中文搜索引擎

马上搜索

文档翻译

学术文献翻译模型,支持多种主流文档格式。

立即体验